• 文献检索
  • 文档翻译
  • 深度研究
  • 学术资讯
  • Suppr Zotero 插件Zotero 插件
  • 邀请有礼
  • 套餐&价格
  • 历史记录
应用&插件
Suppr Zotero 插件Zotero 插件浏览器插件Mac 客户端Windows 客户端微信小程序
定价
高级版会员购买积分包购买API积分包
服务
文献检索文档翻译深度研究API 文档MCP 服务
关于我们
关于 Suppr公司介绍联系我们用户协议隐私条款
关注我们

Suppr 超能文献

核心技术专利:CN118964589B侵权必究
粤ICP备2023148730 号-1Suppr @ 2026

文献检索

告别复杂PubMed语法,用中文像聊天一样搜索,搜遍4000万医学文献。AI智能推荐,让科研检索更轻松。

立即免费搜索

文件翻译

保留排版,准确专业,支持PDF/Word/PPT等文件格式,支持 12+语言互译。

免费翻译文档

深度研究

AI帮你快速写综述,25分钟生成高质量综述,智能提取关键信息,辅助科研写作。

立即免费体验

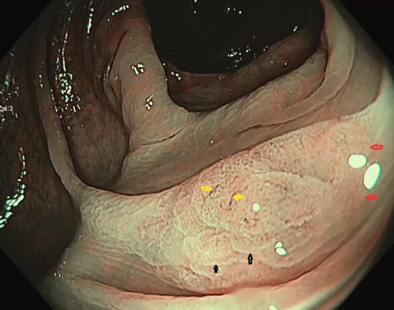
Endoscopic recognition of the sessile serrated polyp to cancer sequence.

作者信息

Parsa Nasim, Rex Douglas K

机构信息

Indiana University School of Medicine, Indianapolis, Indiana, USA.

出版信息

VideoGIE. 2017 May 10;2(7):185-187. doi: 10.1016/j.vgie.2017.04.004. eCollection 2017 Jul.

DOI:10.1016/j.vgie.2017.04.004
PMID:29905309
原文链接:https://pmc.ncbi.nlm.nih.gov/articles/PMC5991804/
Abstract
摘要
https://cdn.ncbi.nlm.nih.gov/pmc/blobs/e114/5991804/ba4d86e9192a/gr7.jpg
https://cdn.ncbi.nlm.nih.gov/pmc/blobs/e114/5991804/e020a8709f28/gr1.jpg
https://cdn.ncbi.nlm.nih.gov/pmc/blobs/e114/5991804/054875192356/gr2.jpg
https://cdn.ncbi.nlm.nih.gov/pmc/blobs/e114/5991804/a0135a6f99c6/gr3.jpg
https://cdn.ncbi.nlm.nih.gov/pmc/blobs/e114/5991804/4b95974a3dfe/gr4.jpg
https://cdn.ncbi.nlm.nih.gov/pmc/blobs/e114/5991804/dc33685bf14b/gr5.jpg
https://cdn.ncbi.nlm.nih.gov/pmc/blobs/e114/5991804/d2ef4a0929bd/gr6.jpg
https://cdn.ncbi.nlm.nih.gov/pmc/blobs/e114/5991804/ba4d86e9192a/gr7.jpg
https://cdn.ncbi.nlm.nih.gov/pmc/blobs/e114/5991804/e020a8709f28/gr1.jpg
https://cdn.ncbi.nlm.nih.gov/pmc/blobs/e114/5991804/054875192356/gr2.jpg
https://cdn.ncbi.nlm.nih.gov/pmc/blobs/e114/5991804/a0135a6f99c6/gr3.jpg
https://cdn.ncbi.nlm.nih.gov/pmc/blobs/e114/5991804/4b95974a3dfe/gr4.jpg
https://cdn.ncbi.nlm.nih.gov/pmc/blobs/e114/5991804/dc33685bf14b/gr5.jpg
https://cdn.ncbi.nlm.nih.gov/pmc/blobs/e114/5991804/d2ef4a0929bd/gr6.jpg
https://cdn.ncbi.nlm.nih.gov/pmc/blobs/e114/5991804/ba4d86e9192a/gr7.jpg

相似文献

1
Endoscopic recognition of the sessile serrated polyp to cancer sequence.内镜下对无蒂锯齿状息肉至癌序列的识别。
VideoGIE. 2017 May 10;2(7):185-187. doi: 10.1016/j.vgie.2017.04.004. eCollection 2017 Jul.
2
Development and validation of the WASP classification system for optical diagnosis of adenomas, hyperplastic polyps and sessile serrated adenomas/polyps.开发并验证 WASP 分类系统,用于腺瘤、增生性息肉和无蒂锯齿状腺瘤/息肉的光学诊断。
Gut. 2016 Jun;65(6):963-70. doi: 10.1136/gutjnl-2014-308411. Epub 2015 Mar 9.
3
Adjunctive use of chromoendoscopy may improve the diagnostic performance of narrow-band imaging for small sessile serrated adenoma/polyp.辅助使用 chromoendoscopy 可能会提高窄带成像对小的无蒂锯齿状腺瘤/息肉的诊断性能。
J Gastroenterol Hepatol. 2018 Feb;33(2):466-474. doi: 10.1111/jgh.13863.
4
Diagnostic features of sessile serrated adenoma/polyps on magnifying narrow band imaging: a prospective study of diagnostic accuracy.放大窄带成像下无蒂锯齿状腺瘤/息肉的诊断特征:诊断准确性的前瞻性研究
J Gastroenterol Hepatol. 2015 Jan;30(1):117-23. doi: 10.1111/jgh.12688.
5
Optical diagnosis by near-focus versus normal-focus narrow band imaging colonoscopy in colorectal polyps based on combined NICE and WASP classification: a randomized controlled trial.基于NICE和WASP联合分类法的近焦与正常聚焦窄带成像结肠镜检查对大肠息肉的光学诊断:一项随机对照试验
Clin Endosc. 2022 Sep;55(5):645-654. doi: 10.5946/ce.2022.048. Epub 2022 Sep 8.
6
Endoscopic diagnosis of sessile serrated adenoma/polyp with and without dysplasia/carcinoma.内镜诊断无蒂锯齿状腺瘤/息肉伴和不伴异型增生/癌。
World J Gastroenterol. 2018 Aug 7;24(29):3250-3259. doi: 10.3748/wjg.v24.i29.3250.
7
Advantages of magnifying narrow-band imaging for diagnosing colorectal cancer coexisting with sessile serrated adenoma/polyp.放大窄带成像在诊断与无蒂锯齿状腺瘤/息肉共存的结直肠癌中的优势。
Dig Endosc. 2016 Apr;28 Suppl 1:53-9. doi: 10.1111/den.12631.
8
[Comparison of endoscopic features between colorectal sessile serrated adenoma/polyp with or without cytologic dysplasia and hyperplastic polyp].[伴或不伴细胞学异型增生的结直肠无蒂锯齿状腺瘤/息肉与增生性息肉的内镜特征比较]
Zhonghua Yi Xue Za Zhi. 2019 Jul 23;99(28):2214-2220. doi: 10.3760/cma.j.issn.0376-2491.2019.28.012.
9
A retrospective study on pathological and clinical characteristics of 52 cases with the colorectal serrated polyp.52例大肠锯齿状息肉的病理及临床特征回顾性研究
Pak J Med Sci. 2019 Jan-Feb;35(1):257-261. doi: 10.12669/pjms.35.1.238.
10
Serrated polyps of the colon and rectum: Endoscopic features including image enhanced endoscopy.结肠和直肠锯齿状息肉:包括图像增强内镜检查在内的内镜特征
World J Gastrointest Endosc. 2015 Jul 25;7(9):860-71. doi: 10.4253/wjge.v7.i9.860.

本文引用的文献

1
Prevalence, distribution and risk of sessile serrated adenomas/polyps at a center with a high adenoma detection rate and experienced pathologists.高腺瘤检出率和经验丰富病理学家中心的息肉样锯齿状腺瘤/息肉的流行率、分布和风险。
Endoscopy. 2016 Aug;48(8):740-6. doi: 10.1055/s-0042-105436. Epub 2016 Apr 25.
2
Development and validation of the WASP classification system for optical diagnosis of adenomas, hyperplastic polyps and sessile serrated adenomas/polyps.开发并验证 WASP 分类系统,用于腺瘤、增生性息肉和无蒂锯齿状腺瘤/息肉的光学诊断。
Gut. 2016 Jun;65(6):963-70. doi: 10.1136/gutjnl-2014-308411. Epub 2015 Mar 9.
3
Sessile serrated polyp prevalence determined by a colonoscopist with a high lesion detection rate and an experienced pathologist.
由一位具有高病变检出率的结肠镜医师和一位经验丰富的病理学家确定的无蒂锯齿状息肉患病率。
Gastrointest Endosc. 2015 Mar;81(3):517-24. doi: 10.1016/j.gie.2014.04.064. Epub 2014 Jul 3.
4
Validation of a simple classification system for endoscopic diagnosis of small colorectal polyps using narrow-band imaging.利用窄带成像技术验证一种用于结直肠小息肉内镜诊断的简单分类系统。
Gastroenterology. 2012 Sep;143(3):599-607.e1. doi: 10.1053/j.gastro.2012.05.006. Epub 2012 May 15.