• 文献检索
  • 文档翻译
  • 深度研究
  • 学术资讯
  • Suppr Zotero 插件Zotero 插件
  • 邀请有礼
  • 套餐&价格
  • 历史记录
应用&插件
Suppr Zotero 插件Zotero 插件浏览器插件Mac 客户端Windows 客户端微信小程序
定价
高级版会员购买积分包购买API积分包
服务
文献检索文档翻译深度研究API 文档MCP 服务
关于我们
关于 Suppr公司介绍联系我们用户协议隐私条款
关注我们

Suppr 超能文献

核心技术专利:CN118964589B侵权必究
粤ICP备2023148730 号-1Suppr @ 2026

文献检索

告别复杂PubMed语法,用中文像聊天一样搜索,搜遍4000万医学文献。AI智能推荐,让科研检索更轻松。

立即免费搜索

文件翻译

保留排版,准确专业,支持PDF/Word/PPT等文件格式,支持 12+语言互译。

免费翻译文档

深度研究

AI帮你快速写综述,25分钟生成高质量综述,智能提取关键信息,辅助科研写作。

立即免费体验

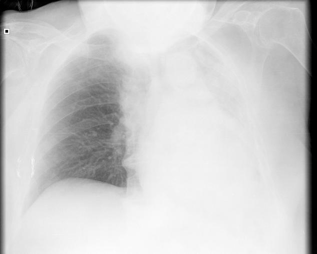
[Atelectasis due to a mucus plug resolved conservatively].

作者信息

Valdés Bécares Juan, Martínez García Paula, Maderuelo Riesco Irene

机构信息

Servicio de Medicina Interna, Hospital Universitario San Agustín, Avilés, Asturias, España.

Servicio de Medicina Interna, Hospital Universitario San Agustín, Avilés, Asturias, España.

出版信息

Aten Primaria. 2018 Nov;50(9):562-563. doi: 10.1016/j.aprim.2018.03.006. Epub 2018 Jun 12.

DOI:10.1016/j.aprim.2018.03.006
PMID:29907451
原文链接:https://pmc.ncbi.nlm.nih.gov/articles/PMC6836906/
Abstract
摘要
https://cdn.ncbi.nlm.nih.gov/pmc/blobs/3a25/6836906/9e7084e78339/gr2.jpg
https://cdn.ncbi.nlm.nih.gov/pmc/blobs/3a25/6836906/a3b7aea846d6/gr1.jpg
https://cdn.ncbi.nlm.nih.gov/pmc/blobs/3a25/6836906/9e7084e78339/gr2.jpg
https://cdn.ncbi.nlm.nih.gov/pmc/blobs/3a25/6836906/a3b7aea846d6/gr1.jpg
https://cdn.ncbi.nlm.nih.gov/pmc/blobs/3a25/6836906/9e7084e78339/gr2.jpg

相似文献

1
[Atelectasis due to a mucus plug resolved conservatively].因黏液栓导致的肺不张经保守治疗后缓解
Aten Primaria. 2018 Nov;50(9):562-563. doi: 10.1016/j.aprim.2018.03.006. Epub 2018 Jun 12.
2
Treatment of chronic obstructive pulmonary disease.慢性阻塞性肺疾病的治疗。
J Am Med Dir Assoc. 2003 Sep-Oct;4(5 Suppl):S121-6. doi: 10.1097/01.JAM.0000083379.30204.73.
3
Chronic obstructive pulmonary disease.慢性阻塞性肺疾病
Clin Evid. 2006 Jun(15):2077-100.
4
[Treatment of decompensated cor pulmonale].[失代偿期肺心病的治疗]
Sov Med. 1981(12):49-54.
5
[Status asthmaticus: notes on the ethiopathogenesis and therapy].
Policlinico Prat. 1972 Apr 1;79(7):267-79.
6
Evidence base for management of acute exacerbations of chronic obstructive pulmonary disease.慢性阻塞性肺疾病急性加重期管理的循证依据
Ann Intern Med. 2001 Apr 3;134(7):595-9. doi: 10.7326/0003-4819-134-7-200104030-00015.
7
Acute exacerbations of chronic obstructive pulmonary disease.慢性阻塞性肺疾病急性加重
Emerg Med Clin North Am. 2003 May;21(2):331-52, viii. doi: 10.1016/s0733-8627(03)00014-2.
8
Persistent Atelectasis in a Patient With Cystic Fibrosis: Are Antibiotics Always Needed?一名囊性纤维化患者的持续性肺不张:抗生素是必需的吗?
Arch Bronconeumol (Engl Ed). 2019 Jan;55(1):54-55. doi: 10.1016/j.arbres.2018.03.019. Epub 2018 May 24.
9
[Treatment of chronic bronchitis].[慢性支气管炎的治疗]
Med Welt. 1977 Apr 15;28(15):716-20.
10
Management of acute exacerbations of chronic obstructive pulmonary disease.慢性阻塞性肺疾病急性加重的管理
Evid Rep Technol Assess (Summ). 2000 Sep(19):1-4.

本文引用的文献

1
Using chest vibration nursing intervention to improve expectoration of airway secretions and prevent lung collapse in ventilated ICU patients: a randomized controlled trial.采用胸部振动护理干预改善重症监护病房(ICU)机械通气患者气道分泌物的咳出并预防肺不张:一项随机对照试验。
J Chin Med Assoc. 2009 Jun;72(6):316-22. doi: 10.1016/S1726-4901(09)70378-8.
2
Treatment of refractory atelectasis.难治性肺不张的治疗
Ann Thorac Surg. 1974 Dec;18(6):584-9. doi: 10.1016/s0003-4975(10)64405-0.
3
Bronchoscopy in the critical-care unit.重症监护病房中的支气管镜检查。
Mayo Clin Proc. 1989 Oct;64(10):1255-63. doi: 10.1016/s0025-6196(12)61288-9.
4
Fiberoptic bronchoscopic balloon occlusion and reexpansion of refractory unilateral atelectasis.
Crit Care Med. 1978 Jan-Feb;6(1):50-5. doi: 10.1097/00003246-197801000-00013.