Suppr超能文献

胎儿心律失常:当前证据

Fetal cardiac arrhythmias: Current evidence.

作者信息

Bravo-Valenzuela Nathalie Jeanne, Rocha Luciane Alves, Machado Nardozza Luciano Marcondes, Araujo Júnior Edward

机构信息

Department of Obstetrics, Paulista School of Medicine, Federal University of São Paulo (EPM-UNIFESP), São Paulo, Brazil.

出版信息

Ann Pediatr Cardiol. 2018 May-Aug;11(2):148-163. doi: 10.4103/apc.APC_134_17.

Abstract

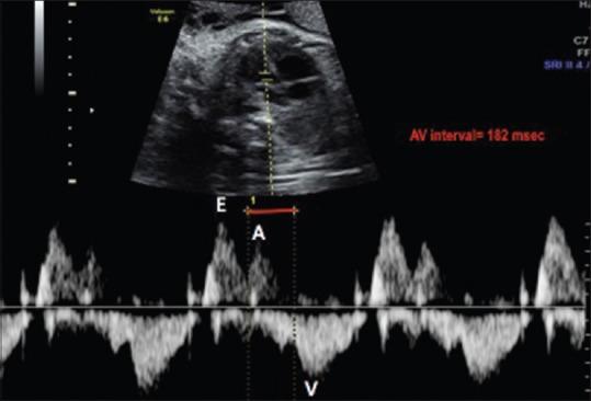
This article reviews important features for improving the diagnosis of fetal arrhythmias by ultrasound in prenatal cardiac screening and echocardiography. Transient fetal arrhythmias are more common than persistent fetal arrhythmias. However, persistent severe bradycardia and sustained tachycardia may cause fetal hydrops, preterm delivery, and higher perinatal morbidity and mortality. Hence, the diagnosis of these arrhythmias during the routine obstetric ultrasound, before the progression to hydrops, is crucial and represents a challenge that involves a team of specialists and subspecialists on fetal ultrasonography. The images in this review highlight normal cardiac rhythms as well as pathologic cases consistent with premature atrial and ventricular contractions, heart block, supraventricular tachycardia (VT), atrial flutter, and VT. In this review, the details of a variety of arrhythmias in fetuses were provided by M-mode and Doppler ultrasound/echocardiography with high-quality imaging, enhancing diagnostic accuracy. Moreover, an update on the intrauterine management and treatment of many arrhythmias is provided, focusing on improving outcomes to enable planned delivery and perinatal management.

摘要

本文综述了在产前心脏筛查和超声心动图检查中,通过超声改善胎儿心律失常诊断的重要特征。短暂性胎儿心律失常比持续性胎儿心律失常更为常见。然而,持续性严重心动过缓和持续性心动过速可能导致胎儿水肿、早产以及更高的围产期发病率和死亡率。因此,在常规产科超声检查期间,在进展为水肿之前诊断这些心律失常至关重要,并且是一项挑战,需要胎儿超声检查方面的一组专家和亚专科医生参与。本综述中的图像突出了正常心律以及与房性和室性早搏、心脏传导阻滞、室上性心动过速(VT)、心房扑动和VT一致的病理病例。在本综述中,通过M型和多普勒超声/超声心动图高质量成像提供了胎儿各种心律失常的详细信息,提高了诊断准确性。此外,还提供了许多心律失常的宫内管理和治疗的最新情况,重点是改善结局,以实现计划分娩和围产期管理。

https://cdn.ncbi.nlm.nih.gov/pmc/blobs/3b4e/5963229/08710d39e910/APC-11-148-g001.jpg

文献检索

告别复杂PubMed语法,用中文像聊天一样搜索,搜遍4000万医学文献。AI智能推荐,让科研检索更轻松。

立即免费搜索

文件翻译

保留排版,准确专业,支持PDF/Word/PPT等文件格式,支持 12+语言互译。

免费翻译文档

深度研究

AI帮你快速写综述,25分钟生成高质量综述,智能提取关键信息,辅助科研写作。

立即免费体验