Suppr超能文献

利用多模态成像技术验证脉络膜增厚疾病谱。

Validating the pachychoroid disease spectrum using multimodal imaging.

机构信息

Department of Vitreoretina, M M Joshi Eye Institute, Hubballi, Karnataka, India.

出版信息

Indian J Ophthalmol. 2018 Jul;66(7):1022-1024. doi: 10.4103/ijo.IJO_180_18.

Abstract

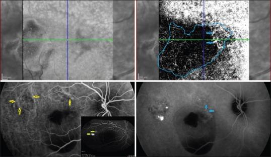
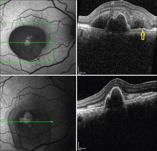
Pachychoroid disease spectrum has garnered considerable interest and has been discussed in detail in recent literature. It refers to a group of retinal and choroidal disorders, namely pigment epitheliopathy, central serous chorioretinopathy, neovasculopathy, and polypoid choroidal vasculopathy, all arising from a thickened choroid and hyperpermeable large choroidal vessels. We describe a case which had simultaneous presentation of multiple disorders on the pachychoroid spectrum. Multimodal findings in this patient have been described in this report. The presence of pachychoroid should prompt thorough imaging since coexistence of multiple disorders can potentially change the management and follow-up schedule of these patients.

摘要

脉络膜增厚疾病谱引起了广泛关注,并在最近的文献中进行了详细讨论。它是指一组累及视网膜和脉络膜的疾病,包括色素上皮病变、中心性浆液性脉络膜视网膜病变、新生血管病变和息肉样脉络膜血管病变,这些疾病均源于脉络膜增厚和脉络膜大血管高通透性。我们描述了一例同时存在多种脉络膜增厚疾病谱疾病的病例。本报告描述了该患者的多模态发现。脉络膜增厚的存在应促使进行全面的影像学检查,因为多种疾病的共存可能会改变这些患者的治疗和随访计划。

https://cdn.ncbi.nlm.nih.gov/pmc/blobs/eab8/6032715/47e0195c8929/IJO-66-1022-g001.jpg

文献AI研究员

20分钟写一篇综述,助力文献阅读效率提升50倍。

立即体验

用中文搜PubMed

大模型驱动的PubMed中文搜索引擎

马上搜索

文档翻译

学术文献翻译模型,支持多种主流文档格式。

立即体验