Suppr超能文献

单侧髁突及髁突颈部骨折:随机临床研究。

Unilateral Subcondylar and Condylar Neck Fractures: Randomized Clinical Study.

作者信息

Hakim Tajamul Ahmad, Shah Ajaz Ahmed, Farooq Shahid, Kosar Shamina, Gul Sumaira, Mehmood Nida

机构信息

Department of Oral and Maxillofacial Surgery, Government Dental College and Hospital, Srinagar, Jammu and Kashmir, India.

出版信息

Ann Maxillofac Surg. 2018 Jan-Jun;8(1):3-9. doi: 10.4103/ams.ams_166_17.

Abstract

AIMS AND OBJECTIVES

The aim of the present study was to compare closed treatment with open reduction internal fixation (ORIF) for subcondylar and condylar neck fractures.

MATERIALS AND METHODS

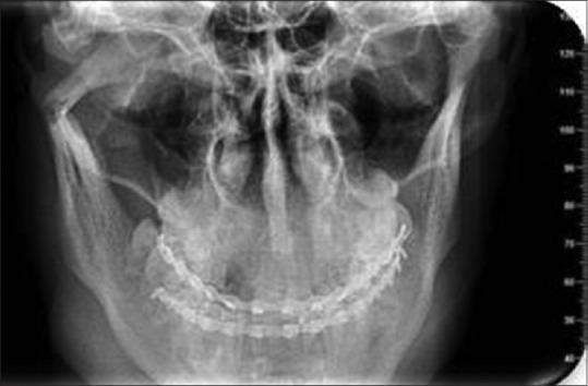
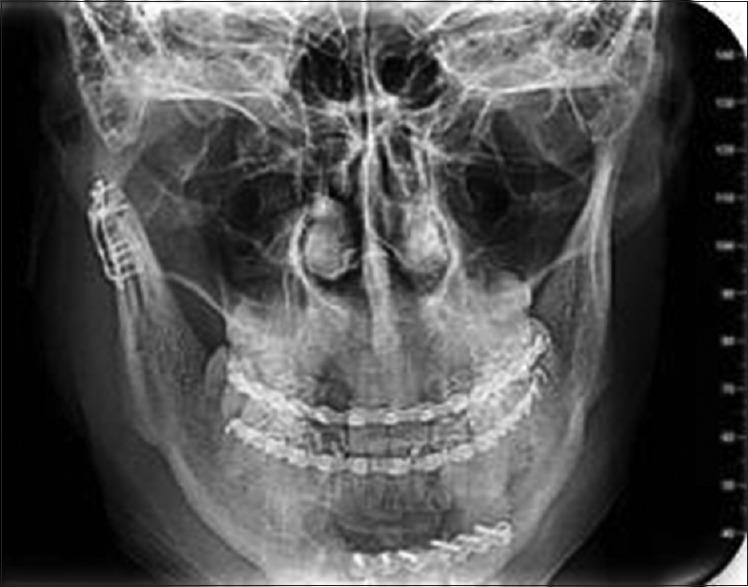
This randomized prospective study was conducted on thirty patients who visited the Department of Oral and Maxillofacial Surgery, Government Dental College, Srinagar, with condylar fractures. All fractures were displaced; either angulated between 10° and 45° and the ascending ramus was shortened by >2 mm to <15 mm. Patients were divided into two groups after satisfying the inclusion and exclusion criteria - Group I (closed treatment) and Group II (open reduction) (15 implants in each group). In Group I, patients were treated by mandibulo-maxillary fixation using arch bar and elastics for 4 weeks, and in Group II, patients were treated by ORIF using two 1.5-mm miniplates. Follow-up was done at 1 month, 3 months, and 6 months. Our postoperative evaluation included five parameters - maximal interincisal opening, protrusion, lateral excursion on fractured and nonfractured sides, anatomical reduction, and pain and malocclusion. Nonparametric data were compared for statistical significance with Chi square test and parametric data with an independent sample's -test ( < 0.05).

RESULTS

Correct anatomical position of the fragments was achieved significantly more accurately in the operative group in contrast to the closed treatment group. Regarding mouth opening/lateral excursion on fractured and nonfractured sides/protrusion, significant ( < 0.05) differences were observed between both groups (open 39.73/7.50/8.17/7.87 mm vs. closed 36.87/6.07/7.23/7.13 mm). Pain also revealed significant ( = 0.025) difference with less pain in the operative treatment group.

CONCLUSION

Both treatment options for condylar fractures of the mandible yielded acceptable results. However, operative treatment was superior in all objective and subjective functional parameters except occlusion.

摘要

目的和目标

本研究的目的是比较髁突及髁突颈部骨折的闭合治疗与切开复位内固定术(ORIF)。

材料和方法

本随机前瞻性研究针对30例因髁突骨折就诊于斯利那加政府牙科学院口腔颌面外科的患者开展。所有骨折均有移位;成角10°至45°,升支缩短>2mm至<15mm。满足纳入和排除标准后,患者被分为两组——第一组(闭合治疗)和第二组(切开复位)(每组15例)。第一组患者采用牙弓夹板和弹力牵引进行下颌-上颌固定治疗4周,第二组患者采用两个1.5mm微型钢板进行切开复位内固定术治疗。在1个月、3个月和6个月进行随访。我们的术后评估包括五个参数——最大切牙间开口度、前伸、骨折侧和非骨折侧的侧向运动、解剖复位以及疼痛和咬合紊乱。非参数数据采用卡方检验比较统计学显著性,参数数据采用独立样本t检验(P<0.05)。

结果

与闭合治疗组相比,手术组更显著地实现了骨折块的正确解剖位置。关于骨折侧和非骨折侧的开口度/侧向运动/前伸,两组之间观察到显著(P<0.05)差异(手术组为39.73/7.50/8.17/7.87mm,闭合治疗组为36.87/6.07/7.23/7.13mm)。疼痛方面也显示出显著(P = 0.025)差异,手术治疗组疼痛较轻。

结论

下颌髁突骨折的两种治疗方法均取得了可接受的结果。然而,除咬合外,手术治疗在所有客观和主观功能参数方面均更具优势。

https://cdn.ncbi.nlm.nih.gov/pmc/blobs/7b2c/6018298/c89f268a1db1/AMS-8-3-g001.jpg

文献检索

告别复杂PubMed语法,用中文像聊天一样搜索,搜遍4000万医学文献。AI智能推荐,让科研检索更轻松。

立即免费搜索

文件翻译

保留排版,准确专业,支持PDF/Word/PPT等文件格式,支持 12+语言互译。

免费翻译文档

深度研究

AI帮你快速写综述,25分钟生成高质量综述,智能提取关键信息,辅助科研写作。

立即免费体验