Suppr超能文献

下颌骨的1型神经纤维瘤病

Neurofibromatosis Type 1 in the Mandible.

作者信息

Uchiyama Yuka, Sumi Tetsuro, Marutani Keisuke, Takaoka Hiroo, Murakami Shumei, Kameyama Hiroyasu, Yura Yoshiaki

机构信息

Department of Oral and Maxillofacial Radiology, Osaka University Graduate School of Dentistry, Suita, Osaka, Japan.

Department of Oral and Maxillofacial Surgery II, Osaka University Graduate School of Dentistry, Suita, Osaka, Japan.

出版信息

Ann Maxillofac Surg. 2018 Jan-Jun;8(1):121-123. doi: 10.4103/ams.ams_135_17.

Abstract

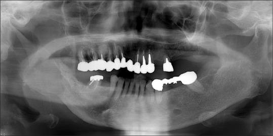
Neurofibromatosis type 1 (NF1) was first described in 1882 as a hamartomatous disorder of neural crest derivation. We present the imaging of a 65-year-old woman with NF1. Computed tomography revealed that there were three major findings presented: skeletal deformity, an area of fat (probably related to mesodermal dysplasia), and benign neoplasm within the masticator space. Moreover, masticatory muscles were hypoplastic.

摘要

1型神经纤维瘤病(NF1)于1882年首次被描述为一种源于神经嵴的错构瘤性疾病。我们展示了一名65岁NF1女性患者的影像学表现。计算机断层扫描显示有三个主要表现:骨骼畸形、一个脂肪区域(可能与中胚层发育异常有关)以及咀嚼肌间隙内的良性肿瘤。此外,咀嚼肌发育不全。

https://cdn.ncbi.nlm.nih.gov/pmc/blobs/c1f3/6018268/bc1c02af46e3/AMS-8-121-g001.jpg

文献AI研究员

20分钟写一篇综述,助力文献阅读效率提升50倍。

立即体验

用中文搜PubMed

大模型驱动的PubMed中文搜索引擎

马上搜索

文档翻译

学术文献翻译模型,支持多种主流文档格式。

立即体验