• 文献检索
  • 文档翻译
  • 深度研究
  • 学术资讯
  • Suppr Zotero 插件Zotero 插件
  • 邀请有礼
  • 套餐&价格
  • 历史记录
应用&插件
Suppr Zotero 插件Zotero 插件浏览器插件Mac 客户端Windows 客户端微信小程序
定价
高级版会员购买积分包购买API积分包
服务
文献检索文档翻译深度研究API 文档MCP 服务
关于我们
关于 Suppr公司介绍联系我们用户协议隐私条款
关注我们

Suppr 超能文献

核心技术专利:CN118964589B侵权必究
粤ICP备2023148730 号-1Suppr @ 2026

文献检索

告别复杂PubMed语法,用中文像聊天一样搜索,搜遍4000万医学文献。AI智能推荐,让科研检索更轻松。

立即免费搜索

文件翻译

保留排版,准确专业,支持PDF/Word/PPT等文件格式,支持 12+语言互译。

免费翻译文档

深度研究

AI帮你快速写综述,25分钟生成高质量综述,智能提取关键信息,辅助科研写作。

立即免费体验

口腔血管平滑肌瘤:一例报告并文献简要综述

Angioleiomyoma of the oral cavity: a case report and brief review of the literature.

作者信息

Matiakis Apostolos, Karakostas Panagiotis, Pavlou Achilleia-Maria, Anagnostou Eleftherios, Poulopoulos Athanasios

机构信息

Department of Oral Medicine and Pathology, Periodontology and Implant Biology, School of Dentistry, Aristotle University of Thessaloniki, Thessaloniki, Greece.

Department of Preventive Dentistry, Periodontology and Implant Biology, School of Dentistry, Aristotle University of Thessaloniki, Thessaloniki, Greece.

出版信息

J Korean Assoc Oral Maxillofac Surg. 2018 Jun;44(3):136-139. doi: 10.5125/jkaoms.2018.44.3.136. Epub 2018 Jun 26.

DOI:10.5125/jkaoms.2018.44.3.136
PMID:29963495
原文链接:https://pmc.ncbi.nlm.nih.gov/articles/PMC6024062/
Abstract

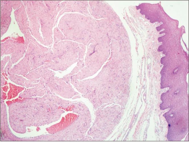
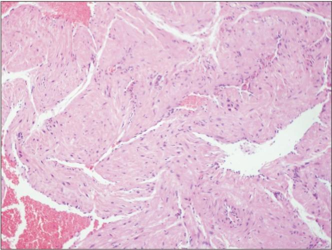
This study presents a case of an oral angioleiomyoma along with its clinical diagnostic approach and laboratory confirmation. The differential diagnosis, especially from angioleiomyosarcoma, is also included. A 51-year-old patient presented with a tumor-like lesion on his upper labial mucosa. The clinical examination revealed a benign lesion that was surgically removed. Histopathological and immunohistochemical examinations confirmed the diagnosis of an oral angioleiomyoma. The post-surgical period was uneventful. No recurrence had occurred after a year of follow-up surveillance. Oral angioleiomyoma is a very rarely occurring oral lesion. Clinically, it may mimic some benign lesions, including fibroma, pyogenic granuloma or minor salivary gland tumor. Surgical excision is the treatment of choice. Histological and immunohistochemical examination can confirm the diagnosis. The differential diagnosis is crucial to rule out angioleiomyosarcoma.

摘要

本研究报告了一例口腔血管平滑肌瘤病例及其临床诊断方法和实验室确诊情况。文中还包括了鉴别诊断,特别是与血管平滑肌肉瘤的鉴别。一名51岁患者上唇黏膜出现肿瘤样病变。临床检查显示为良性病变,遂进行手术切除。组织病理学和免疫组织化学检查确诊为口腔血管平滑肌瘤。术后恢复顺利。随访一年未出现复发。口腔血管平滑肌瘤是一种非常罕见的口腔病变。临床上,它可能类似一些良性病变,包括纤维瘤、化脓性肉芽肿或小涎腺肿瘤。手术切除是首选治疗方法。组织学和免疫组织化学检查可确诊。鉴别诊断对于排除血管平滑肌肉瘤至关重要。

https://cdn.ncbi.nlm.nih.gov/pmc/blobs/8b5e/6024062/8a559fbffc39/jkaoms-44-136-g004.jpg
https://cdn.ncbi.nlm.nih.gov/pmc/blobs/8b5e/6024062/5038311c4e7b/jkaoms-44-136-g001.jpg
https://cdn.ncbi.nlm.nih.gov/pmc/blobs/8b5e/6024062/7eb43ccd8bb6/jkaoms-44-136-g002.jpg
https://cdn.ncbi.nlm.nih.gov/pmc/blobs/8b5e/6024062/df2f24a27eb7/jkaoms-44-136-g003.jpg
https://cdn.ncbi.nlm.nih.gov/pmc/blobs/8b5e/6024062/8a559fbffc39/jkaoms-44-136-g004.jpg
https://cdn.ncbi.nlm.nih.gov/pmc/blobs/8b5e/6024062/5038311c4e7b/jkaoms-44-136-g001.jpg
https://cdn.ncbi.nlm.nih.gov/pmc/blobs/8b5e/6024062/7eb43ccd8bb6/jkaoms-44-136-g002.jpg
https://cdn.ncbi.nlm.nih.gov/pmc/blobs/8b5e/6024062/df2f24a27eb7/jkaoms-44-136-g003.jpg
https://cdn.ncbi.nlm.nih.gov/pmc/blobs/8b5e/6024062/8a559fbffc39/jkaoms-44-136-g004.jpg

相似文献

1
Angioleiomyoma of the oral cavity: a case report and brief review of the literature.口腔血管平滑肌瘤:一例报告并文献简要综述
J Korean Assoc Oral Maxillofac Surg. 2018 Jun;44(3):136-139. doi: 10.5125/jkaoms.2018.44.3.136. Epub 2018 Jun 26.
2
Angioleiomyoma of the Lower Lip.下唇血管平滑肌瘤
Ann Maxillofac Surg. 2020 Jan-Jun;10(1):251-253. doi: 10.4103/ams.ams_275_19. Epub 2020 Jun 8.
3
Angioleiomyoma (Vascular Leiomyoma) of the Oral Cavity.口腔血管平滑肌瘤(血管性平滑肌瘤)
Head Neck Pathol. 2018 Mar;12(1):123-126. doi: 10.1007/s12105-017-0827-9. Epub 2017 Jun 6.
4
Clinical and Immunohistochemical Features of Oral Angioleiomyoma: A Comprehensive Review of the Literature and Report of a Case in a Young Patient.口腔血管平滑肌瘤的临床及免疫组化特征:文献综述及 1 例年轻患者病例报告
Case Rep Dent. 2019 Feb 27;2019:2498353. doi: 10.1155/2019/2498353. eCollection 2019.
5
Angioleiomyoma in a 54-year-old Female: A Case Report of Distal Leg Tumor and Review of the Literature.一名54岁女性的血管平滑肌瘤:一例小腿远端肿瘤病例报告及文献复习
J Orthop Case Rep. 2023 Dec;13(12):130-132. doi: 10.13107/jocr.2023.v13.i12.4106.
6
Oral Angioleiomyoma in Early Childhood Patient: A Case Report of an Uncommon Lesion and Literature Review.幼儿口腔血管平滑肌瘤病例报告:罕见病变及文献综述
Int J Clin Pediatr Dent. 2021 Nov-Dec;14(6):828-832. doi: 10.5005/jp-journals-10005-2082.
7
Recurrent oral angioleiomyoma.复发性口腔血管平滑肌瘤。
Contemp Clin Dent. 2011 Apr;2(2):102-5. doi: 10.4103/0976-237X.83071.
8
Angioleiomyoma of Gingiva Masquerading as Pyogenic Granuloma.伪装成化脓性肉芽肿的牙龈血管平滑肌瘤
J Coll Physicians Surg Pak. 2016 Jul;26(7):631-2.
9
Angioleiomyoma of the cheek: a case report.颊部血管平滑肌瘤:一例报告
J Oral Sci. 2015 Mar;57(1):63-6. doi: 10.2334/josnusd.57.63.
10
Clinical, Imaging and Histopathology of Angioleiomyoma of the Buccal Cheek.颊部血管平滑肌瘤的临床、影像学及组织病理学表现
Case Rep Dent. 2021 Apr 30;2021:9940304. doi: 10.1155/2021/9940304. eCollection 2021.

引用本文的文献

1
Vascular malformation of tongue with phlebothrombosis/phlebolith in a young patient: an unusual presentation.舌部动静脉畸形伴血栓/静脉石:年轻患者的一种不常见表现。
BMJ Case Rep. 2022 Mar 7;15(3):e245850. doi: 10.1136/bcr-2021-245850.
2
Pediatric leiomyoma of the oral cavity: A rare entity.小儿口腔平滑肌瘤:一种罕见的疾病。
J Oral Maxillofac Pathol. 2021 Mar;25(Suppl 1):S109-S112. doi: 10.4103/jomfp.jomfp_412_20. Epub 2021 Mar 19.
3
Clinical and Immunohistochemical Features of Oral Angioleiomyoma: A Comprehensive Review of the Literature and Report of a Case in a Young Patient.

本文引用的文献

1
Angioleiomyoma (Vascular Leiomyoma) of the Oral Cavity.口腔血管平滑肌瘤(血管性平滑肌瘤)
Head Neck Pathol. 2018 Mar;12(1):123-126. doi: 10.1007/s12105-017-0827-9. Epub 2017 Jun 6.
2
Angioleiomyoma of the upper lip.上唇血管平滑肌瘤
BMJ Case Rep. 2017 May 12;2017:bcr-2016-219172. doi: 10.1136/bcr-2016-219172.
3
Angioleiomyoma of Gingiva Masquerading as Pyogenic Granuloma.伪装成化脓性肉芽肿的牙龈血管平滑肌瘤
口腔血管平滑肌瘤的临床及免疫组化特征:文献综述及 1 例年轻患者病例报告
Case Rep Dent. 2019 Feb 27;2019:2498353. doi: 10.1155/2019/2498353. eCollection 2019.
J Coll Physicians Surg Pak. 2016 Jul;26(7):631-2.
4
Angioleiomyoma of the gingiva: a report of two cases.牙龈血管平滑肌瘤:两例报告。
J Korean Assoc Oral Maxillofac Surg. 2016 Apr;42(2):115-9. doi: 10.5125/jkaoms.2016.42.2.115. Epub 2016 Apr 27.
5
Angioleiomyoma of the cheek: a case report.颊部血管平滑肌瘤:一例报告
J Oral Sci. 2015 Mar;57(1):63-6. doi: 10.2334/josnusd.57.63.
6
Angioleiomyoma of the tongue: a case report and review of the literature.舌部血管平滑肌瘤:一例病例报告及文献复习
Odontology. 2016 Jan;104(1):119-22. doi: 10.1007/s10266-014-0175-0. Epub 2014 Sep 11.
7
Angioleiomyomas in the head and neck: A retrospective clinical and immunohistochemical analysis.头颈部血管平滑肌瘤:一项回顾性临床及免疫组化分析
Oncol Lett. 2014 Jul;8(1):241-247. doi: 10.3892/ol.2014.2124. Epub 2014 May 8.
8
Gingival angioleiomyoma-infrequent lesion of oral cavity at a rare site.牙龈血管平滑肌瘤——口腔罕见部位的少见病变。
J Oral Maxillofac Pathol. 2014 Jan;18(1):107-10. doi: 10.4103/0973-029X.131928.
9
Clinical characteristics of angioleiomyoma of the hard palate: report of a case and an analysis of the reported cases.硬腭血管平滑肌瘤的临床特征:1例报告及文献病例分析
J Oral Maxillofac Surg. 2014 May;72(5):920-6. doi: 10.1016/j.joms.2013.11.008. Epub 2013 Nov 21.
10
Extensively ossifying oral leiomyoma: a rare histologic finding.广泛骨化性口腔平滑肌瘤:一种罕见的组织学表现。
Head Neck Pathol. 2014;8(3):311-6. doi: 10.1007/s12105-013-0497-1. Epub 2013 Oct 20.