Suppr超能文献

Angioleiomyoma of the gingiva: a report of two cases.

作者信息

Arpağ Osman Fatih, Damlar Ibrahim, Kılıç Soydan, Altan Ahmet, Taş Zeynel Abidin, Özgür Tümay

机构信息

Department of Periodontology, Faculty of Dentistry, Mustafa Kemal University, Hatay, Turkey.

Department of Oral and Maxillofacial Surgery, Faculty of Dentistry, Mustafa Kemal University, Hatay, Turkey.

出版信息

J Korean Assoc Oral Maxillofac Surg. 2016 Apr;42(2):115-9. doi: 10.5125/jkaoms.2016.42.2.115. Epub 2016 Apr 27.

Abstract

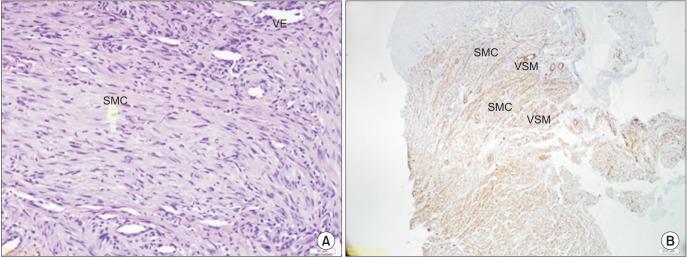
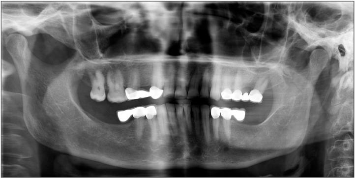
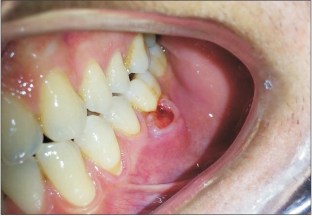
Leiomyoma is a type of benign smooth muscle neoplasm that is a common neoplasm of the uterus and gastrointestinal tract but rarely affects the head and neck region and is especially unlikely to affect the oral cavity. The diagnosis of leiomyoma is mainly determined by histopathological studies due to variation in its clinical appearance and symptoms. In the present paper we report two rare cases of gingival angioleiomyoma in the posterior maxilla and mandible. After total excision, hematoxylin-eosin and smooth muscle actin staining confirmed the diagnosis of angioleimyoma.

摘要
https://cdn.ncbi.nlm.nih.gov/pmc/blobs/ff8a/4860377/98af447e91cc/jkaoms-42-115-g001.jpg

相似文献

1
Angioleiomyoma of the gingiva: a report of two cases.
J Korean Assoc Oral Maxillofac Surg. 2016 Apr;42(2):115-9. doi: 10.5125/jkaoms.2016.42.2.115. Epub 2016 Apr 27.
2
Angioleiomyoma of the Lower Lip.
Ann Maxillofac Surg. 2020 Jan-Jun;10(1):251-253. doi: 10.4103/ams.ams_275_19. Epub 2020 Jun 8.
3
Leiomyoma: A rare tumor in the head and neck and oral cavity: Report of 3 cases with review.
J Oral Maxillofac Pathol. 2013 May;17(2):281-7. doi: 10.4103/0973-029X.119770.
4
Central angioleiomyoma of the mandible: A rare entity.
J Cancer Res Ther. 2020 Apr-Jun;16(3):647-652. doi: 10.4103/jcrt.JCRT_960_17.
5
Oral leiomyoma extending in retromolar region.
J Indian Soc Pedod Prev Dent. 2011 Dec;29(6 Suppl 2):S61-5. doi: 10.4103/0970-4388.90744.
6
Angioleiomyoma (Vascular Leiomyoma) of the Oral Cavity.
Head Neck Pathol. 2018 Mar;12(1):123-126. doi: 10.1007/s12105-017-0827-9. Epub 2017 Jun 6.
7
Angioleiomyoma of cheek: report of two cases.
J Maxillofac Oral Surg. 2009 Sep;8(3):298-300. doi: 10.1007/s12663-009-0073-0. Epub 2009 Nov 21.
9
Angioleiomyoma of the cheek: a case report.
J Oral Sci. 2015 Mar;57(1):63-6. doi: 10.2334/josnusd.57.63.
10
Leiomyoma of oral cavity: case report and literature review.
Ann Stomatol (Roma). 2011 Jan;2(1-2):9-12. Epub 2011 Jul 18.

引用本文的文献

2
Angioleiomyoma of the oral cavity: a case report and brief review of the literature.
J Korean Assoc Oral Maxillofac Surg. 2018 Jun;44(3):136-139. doi: 10.5125/jkaoms.2018.44.3.136. Epub 2018 Jun 26.
3
[Not Available].
J Vasc Bras. 2017 Jan-Mar;16(1):68-72. doi: 10.1590/1677-5449.000417.
4
Angioleiomyoma of the upper lip.
BMJ Case Rep. 2017 May 12;2017:bcr-2016-219172. doi: 10.1136/bcr-2016-219172.

本文引用的文献

1
Angioleiomyoma of the nasal cavity.
Int Arch Otorhinolaryngol. 2014 Oct;18(4):409-11. doi: 10.1055/s-0033-1364173. Epub 2014 Jan 21.
2
Leiomyoma: A rare tumor in the head and neck and oral cavity: Report of 3 cases with review.
J Oral Maxillofac Pathol. 2013 May;17(2):281-7. doi: 10.4103/0973-029X.119770.
3
Oral angioleiomyoma: a rare pathological entity.
In Vivo. 2012 Jan-Feb;26(1):161-3.
4
Recurrent oral angioleiomyoma.
Contemp Clin Dent. 2011 Apr;2(2):102-5. doi: 10.4103/0976-237X.83071.
5
Granular cell leiomyoma of the oral cavity.
Oral Surg Oral Med Oral Pathol Oral Radiol Endod. 2006 Sep;102(3):353-9. doi: 10.1016/j.tripleo.2005.08.005. Epub 2006 Feb 17.
6
Intraosseous oral leiomyoma: systematic review and report of one case.
Dentomaxillofac Radiol. 2003 Sep;32(5):285-90. doi: 10.1259/dmfr/22632903.
7
Clinicopathologic characterization of oral angioleiomyomas.
Oral Surg Oral Med Oral Pathol Oral Radiol Endod. 2002 Aug;94(2):221-7. doi: 10.1067/moe.2002.125276.
8
Angioleiomyoma of the auricle: a rare tumor.
Otolaryngol Head Neck Surg. 2001 Jul;125(1):109-10. doi: 10.1067/mhn.2001.115663.
9
Tumors of the oral cavity and pharynx.
World J Surg. 2000 Apr;24(4):395-400. doi: 10.1007/s002689910064.
10
Oral leiomyomas. Review of the literature and report of a case of palatal angioleiomyoma.
J Periodontol. 1986 Jul;57(7):433-5. doi: 10.1902/jop.1986.57.7.433.

文献AI研究员

20分钟写一篇综述,助力文献阅读效率提升50倍。

立即体验

用中文搜PubMed

大模型驱动的PubMed中文搜索引擎

马上搜索

文档翻译

学术文献翻译模型,支持多种主流文档格式。

立即体验