• 文献检索
  • 文档翻译
  • 深度研究
  • 学术资讯
  • Suppr Zotero 插件Zotero 插件
  • 邀请有礼
  • 套餐&价格
  • 历史记录
应用&插件
Suppr Zotero 插件Zotero 插件浏览器插件Mac 客户端Windows 客户端微信小程序
定价
高级版会员购买积分包购买API积分包
服务
文献检索文档翻译深度研究API 文档MCP 服务
关于我们
关于 Suppr公司介绍联系我们用户协议隐私条款
关注我们

Suppr 超能文献

核心技术专利:CN118964589B侵权必究
粤ICP备2023148730 号-1Suppr @ 2026

文献检索

告别复杂PubMed语法,用中文像聊天一样搜索,搜遍4000万医学文献。AI智能推荐,让科研检索更轻松。

立即免费搜索

文件翻译

保留排版,准确专业,支持PDF/Word/PPT等文件格式,支持 12+语言互译。

免费翻译文档

深度研究

AI帮你快速写综述,25分钟生成高质量综述,智能提取关键信息,辅助科研写作。

立即免费体验

胎儿生长受限对心脏发育的终身影响。

The lifelong impact of fetal growth restriction on cardiac development.

机构信息

Division of Neonatology, Augusta University, Augusta, GA, Georgia.

Department of Pathology, Augusta University, Augusta, GA, Georgia.

出版信息

Pediatr Res. 2018 Oct;84(4):537-544. doi: 10.1038/s41390-018-0069-x. Epub 2018 Jun 2.

DOI:10.1038/s41390-018-0069-x
PMID:29967522
原文链接:https://pmc.ncbi.nlm.nih.gov/articles/PMC6265071/
Abstract

BACKGROUND

Maternal nutrient restriction (MNR) is a widespread cause of fetal growth restriction (FGR), an independent predictor of heart disease and cardiovascular mortality. Our objective was to examine the developmental and long-term impact of MNR-induced FGR on cardiac structure in a model that closely mimics human development.

METHODS

A reduction in total caloric intake spanning pregestation through to lactation in guinea pig sows was used to induce FGR. Proliferation, differentiation, and apoptosis of cardiomyocytes were assessed in late-gestation fetal, neonatal, and adult guinea pig hearts. Proteomic analysis and pathway enrichment were performed on fetal hearts.

RESULTS

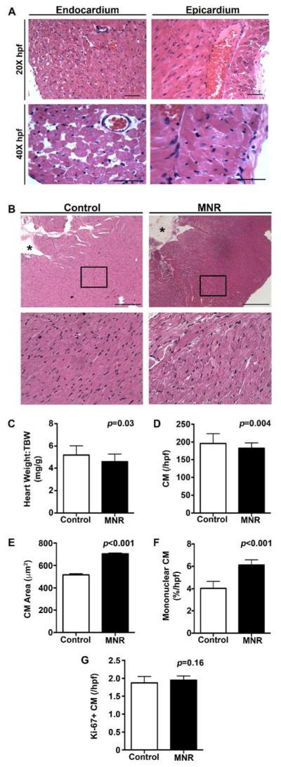
Cardiomyocyte proliferation and the number of mononucleated cells were enhanced in the MNR-FGR fetal and neonatal heart, suggesting a delay in cardiomyocyte differentiation. In fetal hearts of MNR-FGR animals, apoptosis was markedly elevated and the total number of cardiomyocytes reduced, the latter remaining so throughout neonatal and into adult life. A reduction in total cardiomyocyte number in adult MNR-FGR hearts was accompanied by exaggerated hypertrophy and a disorganized architecture. Pathway analysis identified genes related to cell proliferation, differentiation, and survival.

CONCLUSIONS

FGR influences cardiomyocyte development during critical windows of development, leading to a permanent deficiency in cardiomyocyte number and compensatory hypertrophy in a rodent model that recapitulates human development.

摘要

背景

母体营养限制(MNR)是胎儿生长受限(FGR)的一个广泛原因,FGR 是心脏病和心血管死亡率的独立预测因子。我们的目的是在一个紧密模拟人类发育的模型中,研究 MNR 诱导的 FGR 对心脏结构的发育和长期影响。

方法

通过减少受孕前至哺乳期的总热量摄入,来诱导豚鼠母猪的 FGR。评估晚期胎儿、新生儿和成年豚鼠心脏中的心肌细胞增殖、分化和凋亡。对胎儿心脏进行蛋白质组学分析和通路富集。

结果

MNR-FGR 胎儿和新生儿心脏中的心肌细胞增殖和单核细胞数量增加,表明心肌细胞分化延迟。在 MNR-FGR 动物的胎儿心脏中,凋亡明显增加,总心肌细胞数量减少,这种情况一直持续到新生儿期和成年期。成年 MNR-FGR 心脏中心肌细胞总数减少伴随着心肌肥厚和组织结构紊乱。通路分析确定了与细胞增殖、分化和存活相关的基因。

结论

FGR 在发育的关键窗口期影响心肌细胞的发育,导致啮齿动物模型中心肌细胞数量永久性不足和代偿性肥厚,该模型模拟了人类的发育。

https://cdn.ncbi.nlm.nih.gov/pmc/blobs/0675/6265071/89721f1e17cb/nihms970021f6.jpg
https://cdn.ncbi.nlm.nih.gov/pmc/blobs/0675/6265071/4fbbf921c452/nihms970021f1.jpg
https://cdn.ncbi.nlm.nih.gov/pmc/blobs/0675/6265071/5124bd604db3/nihms970021f2.jpg
https://cdn.ncbi.nlm.nih.gov/pmc/blobs/0675/6265071/f1a6fc51e294/nihms970021f3.jpg
https://cdn.ncbi.nlm.nih.gov/pmc/blobs/0675/6265071/a6a1ec0dae3b/nihms970021f4.jpg
https://cdn.ncbi.nlm.nih.gov/pmc/blobs/0675/6265071/80b98de6ced5/nihms970021f5.jpg
https://cdn.ncbi.nlm.nih.gov/pmc/blobs/0675/6265071/89721f1e17cb/nihms970021f6.jpg
https://cdn.ncbi.nlm.nih.gov/pmc/blobs/0675/6265071/4fbbf921c452/nihms970021f1.jpg
https://cdn.ncbi.nlm.nih.gov/pmc/blobs/0675/6265071/5124bd604db3/nihms970021f2.jpg
https://cdn.ncbi.nlm.nih.gov/pmc/blobs/0675/6265071/f1a6fc51e294/nihms970021f3.jpg
https://cdn.ncbi.nlm.nih.gov/pmc/blobs/0675/6265071/a6a1ec0dae3b/nihms970021f4.jpg
https://cdn.ncbi.nlm.nih.gov/pmc/blobs/0675/6265071/80b98de6ced5/nihms970021f5.jpg
https://cdn.ncbi.nlm.nih.gov/pmc/blobs/0675/6265071/89721f1e17cb/nihms970021f6.jpg

相似文献

1
The lifelong impact of fetal growth restriction on cardiac development.胎儿生长受限对心脏发育的终身影响。
Pediatr Res. 2018 Oct;84(4):537-544. doi: 10.1038/s41390-018-0069-x. Epub 2018 Jun 2.
2
Maternal nutrient restriction in guinea pigs as an animal model for studying growth-restricted offspring with postnatal catch-up growth.豚鼠母体营养限制作为研究出生后追赶生长的生长受限后代的动物模型。
Am J Physiol Regul Integr Comp Physiol. 2018 May 1;314(5):R647-R654. doi: 10.1152/ajpregu.00317.2017. Epub 2018 Jan 10.
3
Maternal Nutrient Restriction in Guinea Pigs as an Animal Model for Inducing Fetal Growth Restriction.豚鼠母体营养限制作为诱导胎儿生长受限的动物模型
Reprod Sci. 2016 Feb;23(2):219-27. doi: 10.1177/1933719115602773. Epub 2015 Sep 3.
4
Maternal nutrient restriction in guinea pigs leads to fetal growth restriction with increased brain apoptosis.孕期母鼠营养不良可导致胎儿生长受限和大脑细胞凋亡增加。
Pediatr Res. 2019 Jan;85(1):105-112. doi: 10.1038/s41390-018-0230-6. Epub 2018 Nov 12.
5
Cardiac programming in the placentally restricted sheep fetus in early gestation.早期妊娠胎盘限制绵羊胎儿的心脏编程。
J Physiol. 2024 Aug;602(15):3815-3832. doi: 10.1113/JP286702. Epub 2024 Jul 8.
6
IUGR decreases cardiomyocyte endowment and alters cardiac metabolism in a sex- and cause-of-IUGR-specific manner.宫内生长受限(IUGR)会减少心肌细胞数量,并以性别和IUGR病因特异性的方式改变心脏代谢。
Am J Physiol Regul Integr Comp Physiol. 2018 Jul 1;315(1):R48-R67. doi: 10.1152/ajpregu.00180.2017. Epub 2018 Mar 21.
7
Perinatal and long-term effects of maternal uterine artery adenoviral VEGF-A165 gene therapy in the growth-restricted guinea pig fetus.母体子宫动脉腺病毒VEGF - A165基因治疗对生长受限豚鼠胎儿的围产期及长期影响。
Am J Physiol Regul Integr Comp Physiol. 2018 Aug 1;315(2):R344-R353. doi: 10.1152/ajpregu.00210.2017. Epub 2018 May 30.
8
Maternal nutrient restriction in guinea pigs leads to fetal growth restriction with evidence for chronic hypoxia.豚鼠的母体营养限制导致胎儿生长受限,并伴有慢性缺氧的证据。
Pediatr Res. 2017 Jul;82(1):141-147. doi: 10.1038/pr.2017.92. Epub 2017 May 24.
9
Fetal Growth Restriction Is Associated With Decreased Number of Ovarian Follicles and Impaired Follicle Growth in Young Adult Guinea Pig Offspring.胎儿生长受限与幼年豚鼠后代卵巢卵泡数量减少和卵泡生长受损有关。
Reprod Sci. 2019 Dec;26(12):1557-1567. doi: 10.1177/1933719119828041. Epub 2019 Feb 11.
10
Offspring from maternal nutrient restriction in mice show variations in adult glucose metabolism similar to human fetal growth restriction.小鼠母体营养限制的后代在成年期葡萄糖代谢方面表现出与人类胎儿生长受限相似的变化。
J Dev Orig Health Dis. 2019 Aug;10(4):469-478. doi: 10.1017/S2040174418000983. Epub 2018 Dec 3.

引用本文的文献

1
Longitudinal inflammatory biomarker profiling in intrauterine growth restricted preterm infants.宫内生长受限早产儿的纵向炎症生物标志物分析
Cytokine. 2025 Jun;190:156916. doi: 10.1016/j.cyto.2025.156916. Epub 2025 Mar 25.
2
Relationship between Abnormal Placenta and Obstetric Outcomes: A Meta-Analysis.异常胎盘与产科结局的关系:一项荟萃分析
Biomedicines. 2023 May 25;11(6):1522. doi: 10.3390/biomedicines11061522.
3
Oral pyrroloquinoline quinone (PQQ) during pregnancy increases cardiomyocyte endowment in spontaneous IUGR guinea pigs.

本文引用的文献

1
Maternal nutrient restriction in guinea pigs as an animal model for studying growth-restricted offspring with postnatal catch-up growth.豚鼠母体营养限制作为研究出生后追赶生长的生长受限后代的动物模型。
Am J Physiol Regul Integr Comp Physiol. 2018 May 1;314(5):R647-R654. doi: 10.1152/ajpregu.00317.2017. Epub 2018 Jan 10.
2
Dating the Heart: Exploring Cardiomyocyte Renewal in Humans.心脏的年代测定:探索人类心肌细胞更新
Physiology (Bethesda). 2017 Jan;32(1):33-41. doi: 10.1152/physiol.00015.2016.
3
Cardiac repair in guinea pigs with human engineered heart tissue from induced pluripotent stem cells.
孕期口服吡咯喹啉醌(PQQ)可增加自发性 IUGR 豚鼠的心肌细胞数量。
J Dev Orig Health Dis. 2023 Jun;14(3):321-324. doi: 10.1017/S2040174423000053. Epub 2023 Mar 2.
4
Slower Growth during Lactation Rescues Early Cardiovascular and Adipose Tissue Hypertrophy Induced by Fetal Undernutrition in Rats.哺乳期生长缓慢可挽救大鼠胎儿期营养不足所致的早期心血管和脂肪组织肥大。
Biomedicines. 2022 Oct 7;10(10):2504. doi: 10.3390/biomedicines10102504.
5
Fetal growth restriction and stillbirth: Biomarkers for identifying at risk fetuses.胎儿生长受限与死产:用于识别高危胎儿的生物标志物
Front Physiol. 2022 Aug 19;13:959750. doi: 10.3389/fphys.2022.959750. eCollection 2022.
6
The association of low body mass index with neonatal morbidities in preterm infants.低体重指数与早产儿新生儿并发症的关系。
Sci Rep. 2021 Sep 22;11(1):18841. doi: 10.1038/s41598-021-98338-5.
7
Sex-dependent vulnerability of fetal nonhuman primate cardiac mitochondria to moderate maternal nutrient reduction.母体营养适度减少对胎儿非人灵长类动物心脏线粒体的性别依赖性脆弱性。
Clin Sci (Lond). 2021 May 14;135(9):1103-1126. doi: 10.1042/CS20201339.
8
Impact of Maternal Food Restriction on Heart Proteome in Appropriately Grown and Growth-Restricted Wistar-Rat Offspring.母体食物限制对适当生长和生长受限 Wistar 大鼠后代心脏蛋白质组的影响。
Nutrients. 2021 Jan 30;13(2):466. doi: 10.3390/nu13020466.
9
Cardiovascular Programming During and After Diabetic Pregnancy: Role of Placental Dysfunction and IUGR.糖尿病妊娠期间及产后的心血管编程:胎盘功能障碍和宫内生长受限的作用
Front Endocrinol (Lausanne). 2019 Apr 9;10:215. doi: 10.3389/fendo.2019.00215. eCollection 2019.
10
Proportionality at birth and left ventricular hypertrophy in healthy adolescents.出生时的比例与健康青少年的左心室肥厚。
Early Hum Dev. 2019 May;132:24-29. doi: 10.1016/j.earlhumdev.2019.03.018. Epub 2019 Apr 3.
用诱导多能干细胞构建的人心肌组织修复豚鼠的心脏。
Sci Transl Med. 2016 Nov 2;8(363):363ra148. doi: 10.1126/scitranslmed.aaf8781.
4
Placental Origins of Chronic Disease.慢性病的胎盘起源
Physiol Rev. 2016 Oct;96(4):1509-65. doi: 10.1152/physrev.00029.2015.
5
Nonlinear Relationship between Birth Weight and Visceral Fat in Adolescents.青少年出生体重与内脏脂肪之间的非线性关系。
J Pediatr. 2016 Jul;174:185-92. doi: 10.1016/j.jpeds.2016.04.012. Epub 2016 May 9.
6
Profilin modulates sarcomeric organization and mediates cardiomyocyte hypertrophy.丝切蛋白调节肌节组织并介导心肌细胞肥大。
Cardiovasc Res. 2016 May 15;110(2):238-48. doi: 10.1093/cvr/cvw050. Epub 2016 Mar 7.
7
High-efficiency reprogramming of fibroblasts into cardiomyocytes requires suppression of pro-fibrotic signalling.将成纤维细胞高效重编程为心肌细胞需要抑制促纤维化信号传导。
Nat Commun. 2015 Sep 10;6:8243. doi: 10.1038/ncomms9243.
8
Maternal Nutrient Restriction in Guinea Pigs as an Animal Model for Inducing Fetal Growth Restriction.豚鼠母体营养限制作为诱导胎儿生长受限的动物模型
Reprod Sci. 2016 Feb;23(2):219-27. doi: 10.1177/1933719115602773. Epub 2015 Sep 3.
9
Trajectories of body mass index amongst children who develop type 2 diabetes as adults.成年后患 2 型糖尿病儿童的体重指数变化轨迹。
J Intern Med. 2015 Aug;278(2):219-26. doi: 10.1111/joim.12354. Epub 2015 Mar 16.
10
Chronic hypoxemia in late gestation decreases cardiomyocyte number but does not change expression of hypoxia-responsive genes.妊娠晚期的慢性低氧血症会减少心肌细胞数量,但不会改变缺氧反应基因的表达。
J Am Heart Assoc. 2014 Jul 28;3(4):e000531. doi: 10.1161/JAHA.113.000531.