Suppr超能文献

伴有子宫保留及成功辅助生殖治疗的 florid 囊性输卵管内膜异位症

Florid cystic endosalpingiosis with uterine preservation and successful assisted reproductive therapy.

作者信息

Nixon Kayla E, Kenneth Schoolmeester J, Bakkum-Gamez Jamie N

机构信息

Mayo Clinic Department of Obstetrics and Gynecology, United States.

Mayo Clinic Division of Anatomic Pathology, United States.

出版信息

Gynecol Oncol Rep. 2018 May 9;25:8-10. doi: 10.1016/j.gore.2018.05.003. eCollection 2018 Aug.

Abstract

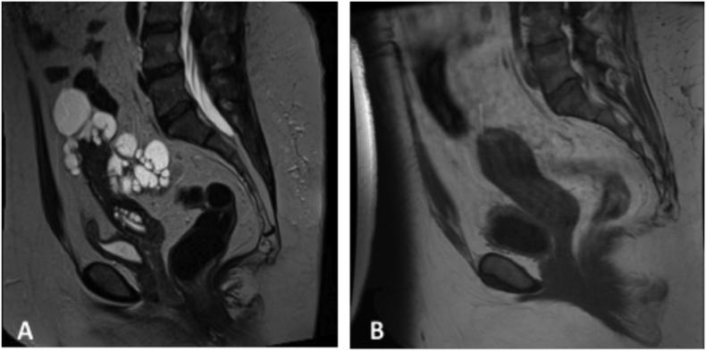
•While endosalpingiosis is often asymptomatic & incidental, florid cystic endosalpingiosis can have a variable presentation•Cystic endosalpingiosis can be difficult to differentiate from other non-neoplastic peritoneal inclusion cysts•Although associated with serous pelvic neoplasms, there is no evidence for oophorectomy at the completion of fertility•There is no strong evidence that hysterectomy along with cyst resection leads to improved outcomes if pathology is benign•This is the first reported case of successful assisted-reproductive therapy after resected florid cystic endosalpingiosis.

摘要

•虽然输卵管内膜异位症通常无症状且为偶然发现,但典型的囊性输卵管内膜异位症可有多种表现形式•囊性输卵管内膜异位症可能难以与其他非肿瘤性腹膜包涵囊肿相鉴别•虽然与浆液性盆腔肿瘤有关,但没有证据表明在完成生育后需要切除卵巢•如果病理结果为良性,没有强有力的证据表明子宫切除加囊肿切除能改善预后•这是首例报道的切除典型囊性输卵管内膜异位症后成功进行辅助生殖治疗的病例。

https://cdn.ncbi.nlm.nih.gov/pmc/blobs/bc3a/6019862/027cd5ea085c/gr1.jpg

文献AI研究员

20分钟写一篇综述,助力文献阅读效率提升50倍。

立即体验

用中文搜PubMed

大模型驱动的PubMed中文搜索引擎

马上搜索

文档翻译

学术文献翻译模型,支持多种主流文档格式。

立即体验