Suppr超能文献

单卵双胞胎鼻中隔及外鼻畸形的相似性及鼻窦计算机断层扫描分析

Nasal Septum and External Nasal Deformity Similarities in Monozygotic Twins and Paranasal Computed Tomography Analysis.

作者信息

Ozdogan Fatih, Ozel Halil Erdem, Esen Erkan, Baser Serdar, Genc Selahattin, Selcuk Adin

机构信息

ENT Clinic, Derince Education and Research Hospital, Kocaeli, Turkey.

出版信息

World J Plast Surg. 2018 May;7(2):253-255.

Abstract

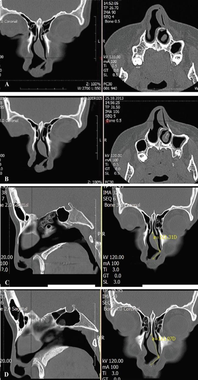
Since identical twins occur as a result of the division of one egg, they have the same genetic structure. Therefore, their phenotypes and sex are also always the same. However, due to the effect of environmental factors, some of the characteristics of twins living in different regions appear to develop differently. In our case of 17-year-old maternal twins, we emphasized that nasal pathologies carried a genetic background in terms of their similarity in septum deviation and external nasal deformity, which were determined to have occurred without a history of trauma. The article has also been presented at 10 Turkish Rhinology Congress, 22-25 May, 2014 Antalya, Turkey.

摘要

由于同卵双胞胎是由一个卵子分裂而成,他们具有相同的基因结构。因此,他们的表型和性别也总是相同的。然而,由于环境因素的影响,生活在不同地区的双胞胎的某些特征似乎发展得有所不同。在我们这个17岁的同母异父双胞胎案例中,我们强调,鼻中隔偏曲和鼻外形畸形方面的相似性表明鼻部病变具有遗传背景,且这些病变是在没有外伤史的情况下出现的。本文还在2014年5月22日至25日于土耳其安塔利亚举行的第10届土耳其鼻科学大会上发表。

https://cdn.ncbi.nlm.nih.gov/pmc/blobs/7417/6066705/52ffd788a23f/wjps-7-253-g001.jpg

文献AI研究员

20分钟写一篇综述,助力文献阅读效率提升50倍。

立即体验

用中文搜PubMed

大模型驱动的PubMed中文搜索引擎

马上搜索

文档翻译

学术文献翻译模型,支持多种主流文档格式。

立即体验