Bulaklak Karen, Xiao Bin, Qiao Chunping, Li Jianbin, Patel Tejash, Jin Quan, Li Juan, Xiao Xiao
Division of Pharmacoengineering and Molecular Pharmaceutics, Department of Pharmaceutical Sciences, Eshelman School of Pharmacy, University of North Carolina at Chapel Hill, Chapel Hill, NC, USA.
Division of Pharmacoengineering and Molecular Pharmaceutics, Department of Pharmaceutical Sciences, Eshelman School of Pharmacy, University of North Carolina at Chapel Hill, Chapel Hill, NC, USA.
Mol Ther Nucleic Acids. 2018 Sep 7;12:283-293. doi: 10.1016/j.omtn.2018.05.011. Epub 2018 Jun 19.
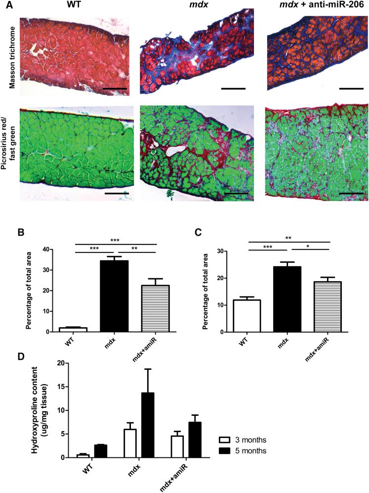
Duchenne muscular dystrophy (DMD) is a severe muscle-wasting disorder caused by a mutation in the dystrophin gene. Numerous gene therapies have been developed to replace or repair the defective dystrophin gene; however, these treatments cannot restore the full-length protein or completely resolve dystrophic symptoms. Secondary pathological mechanisms, such as functional ischemia and fibrosis, are thought to exacerbate the primary defect and cause the profound muscle degeneration found in dystrophic muscle. Surrogate therapies utilizing alternative therapeutic genes, or "booster genes," such as VEGFA and utrophin, seek to address these secondary mechanisms and have shown impressive benefit in mdx mice. A skeletal muscle-specific microRNA, miR-206, is particularly overexpressed in dystrophic muscle and inhibits the expression of known booster genes. Thus, we aimed to determine if miR-206 contributes to dystrophic pathology by repressing beneficial gene expression. Here, we show that AAV-mediated expression of a miR-206 decoy target effectively downregulated miR-206 expression and increased endogenous therapeutic gene expression in mature mdx muscle. Furthermore, treatment significantly improved motor function and dystrophic pathology in mdx mice. In summary, we have identified a contributing factor to the dystrophic phenotype and characterized a novel therapeutic avenue for DMD.
杜兴氏肌营养不良症(DMD)是一种由肌营养不良蛋白基因突变引起的严重肌肉萎缩性疾病。已经开发了多种基因疗法来替代或修复有缺陷的肌营养不良蛋白基因;然而,这些治疗方法无法恢复全长蛋白或完全消除营养不良症状。继发性病理机制,如功能性缺血和纤维化,被认为会加剧原发性缺陷,并导致营养不良性肌肉中出现严重的肌肉退化。利用替代治疗基因或“增强基因”(如VEGFA和肌萎缩蛋白聚糖)的替代疗法试图解决这些继发性机制,并在mdx小鼠中显示出显著的益处。一种骨骼肌特异性微小RNA,即miR-206,在营养不良性肌肉中特别过度表达,并抑制已知增强基因的表达。因此,我们旨在确定miR-206是否通过抑制有益基因表达而导致营养不良性病理。在此,我们表明,腺相关病毒介导的miR-206诱饵靶点表达有效地下调了miR-206表达,并增加了成熟mdx肌肉中的内源性治疗基因表达。此外,治疗显著改善了mdx小鼠的运动功能和营养不良性病理。总之,我们已经确定了营养不良表型的一个促成因素,并描述了一种针对DMD的新型治疗途径。