Suppr超能文献

蛋白 A 的 RNA 加帽酶结构域对于禽网状内皮组织增生病病毒的复制是必需的。

The RNA Capping Enzyme Domain in Protein A is Essential for Flock House Virus Replication.

机构信息

Department of Microbiology, Faculty of Agriculture and Forestry, University of Helsinki, Viikinkaari 9 (P.O. Box 56), 00014 Helsinki, Finland.

State Key Laboratory of Virology, Modern Virology Research Center, College of Life Sciences, Wuhan University, Wuhan 430072, China.

出版信息

Viruses. 2018 Sep 9;10(9):483. doi: 10.3390/v10090483.

Abstract

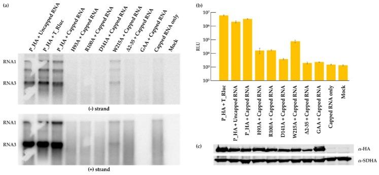
The nodavirus flock house virus (FHV) and the alphavirus Semliki Forest virus (SFV) show evolutionarily intriguing similarities in their replication complexes and RNA capping enzymes. In this study, we first established an efficient FHV trans-replication system in mammalian cells, which disjoins protein expression from viral RNA synthesis. Following transfection, FHV replicase protein A was associated with mitochondria, whose outer surface displayed pouch-like invaginations with a 'neck' structure opening towards the cytoplasm. In mitochondrial pellets from transfected cells, high-level synthesis of both genomic and subgenomic RNA was detected in vitro and the newly synthesized RNA was of positive polarity. Secondly, we initiated the study of the putative RNA capping enzyme domain in protein A by mutating the conserved amino acids H93, R100, D141, and W215. RNA replication was abolished for all mutants inside cells and in vitro except for W215A, which showed reduced replication. Transfection of capped RNA template did not rescue the replication activity of the mutants. Comparing the efficiency of SFV and FHV trans-replication systems, the FHV system appeared to produce more RNA. Using fluorescent marker proteins, we demonstrated that both systems could replicate in the same cell. This work may facilitate the comparative analysis of FHV and SFV replication.

摘要

小核糖核酸病毒属的禽孤病毒(FHV)和披膜病毒科的辛德毕斯病毒(SFV)在其复制复合物和 RNA 加帽酶方面显示出有趣的进化相似性。在本研究中,我们首先在哺乳动物细胞中建立了高效的 FHV 转复制系统,该系统将蛋白表达与病毒 RNA 合成分离。转染后,FHV 复制酶 A 与线粒体结合,线粒体的外表面显示出具有“颈部”结构的袋状内陷,朝向细胞质开口。在转染细胞的线粒体沉淀中,体外检测到基因组和亚基因组 RNA 的高水平合成,并且新合成的 RNA 具有正链极性。其次,我们通过突变保守氨基酸 H93、R100、D141 和 W215 启动了对蛋白 A 中假定 RNA 加帽酶结构域的研究。除 W215A 外,所有突变体在细胞内和体外的 RNA 复制均被完全阻断,而 W215A 显示出复制减少。转染加帽 RNA 模板不能拯救突变体的复制活性。比较 SFV 和 FHV 转复制系统的效率,FHV 系统似乎产生了更多的 RNA。使用荧光标记蛋白,我们证明了这两个系统都可以在同一细胞中复制。这项工作可能有助于 FHV 和 SFV 复制的比较分析。

https://cdn.ncbi.nlm.nih.gov/pmc/blobs/b8ab/6165433/1205104ff9b9/viruses-10-00483-g001.jpg

文献AI研究员

20分钟写一篇综述,助力文献阅读效率提升50倍。

立即体验

用中文搜PubMed

大模型驱动的PubMed中文搜索引擎

马上搜索

文档翻译

学术文献翻译模型,支持多种主流文档格式。

立即体验