Suppr超能文献

转移性肺黑色素瘤合并红皮病和复发性败血症。

Metastatic pulmonary melanoma complicated with erythroderma and recurrent sepsis.

作者信息

Wang Lining, Li Ning, Zhou Ling, Chen Xiaoyan, Tang Wei

机构信息

Department of Pulmonary and Critical Care Medicine, Ruijin Hospital, Shanghai Jiaotong University School of Medicine, Shanghai, China.

Department of Hematology, Ruijin Hospital, Shanghai Jiaotong University School of Medicine, Shanghai, China.

出版信息

Respir Med Case Rep. 2018 Sep 10;25:204-206. doi: 10.1016/j.rmcr.2018.09.004. eCollection 2018.

Abstract

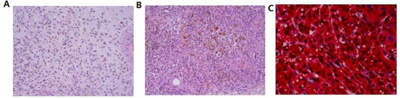
Erythroderma is occasionally associated with lung cancer. Here we report a 69-year-old male who has history of melanoma from 8 years ago presented with erythroderma associated with skin, soft tissue and pulmonary infection. CT chest showed a single enlarging right upper lobe lung nodule. Biopsy showed evidence of adenocarcinoma, and eventually proven to be metastatic melanoma. The patient improved after antibiotics and antifungal treatment. To our knowledge, this is the first case of melanoma metastasis presented as erythroderma as paraneoplastic syndrome.

摘要

红皮病偶尔与肺癌相关。在此,我们报告一名69岁男性,他8年前有黑色素瘤病史,现出现与皮肤、软组织及肺部感染相关的红皮病。胸部CT显示右肺上叶有一个不断增大的孤立结节。活检显示腺癌证据,最终证实为转移性黑色素瘤。患者在接受抗生素和抗真菌治疗后病情好转。据我们所知,这是首例以红皮病作为副肿瘤综合征表现的黑色素瘤转移病例。

https://cdn.ncbi.nlm.nih.gov/pmc/blobs/9995/6139490/348948fba37b/gr1.jpg

文献AI研究员

20分钟写一篇综述,助力文献阅读效率提升50倍。

立即体验

用中文搜PubMed

大模型驱动的PubMed中文搜索引擎

马上搜索

文档翻译

学术文献翻译模型,支持多种主流文档格式。

立即体验