Suppr超能文献

儿童嗜酸性膀胱炎:一例报告。

Eosinophilic cystitis in children: A case report.

作者信息

He Jun, Ning Feng, Tu Lei, Hu Jianjun, Chen Weijian, Zhao Yaowang

机构信息

Department of Urology, Hunan Children's Hospital, Changsha, Hunan 410007, P.R. China.

Department of Radiology, Hunan Children's Hospital, Changsha, Hunan 410007, P.R. China.

出版信息

Exp Ther Med. 2018 Oct;16(4):2978-2984. doi: 10.3892/etm.2018.6578. Epub 2018 Aug 7.

Abstract

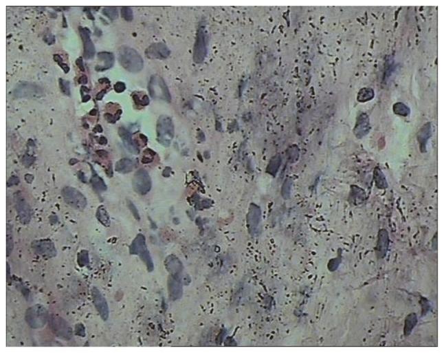
The aim of the present case report was to investigate the clinical features, pathological examination and treatment of eosinophilic cystitis (EC) in children. Two cases of EC were reported and reviewed from January 2016 to March 2017. Case 1 (male; 6 years old) had intermittent hematuria, frequent urination, urgent urination, difficulty in urination and abdominal pain. Case 2 (male; 7 years old) had frequent urination, urgent urination, urinary pain, dysuria and suprapubic pain with no hematuria. One patient had a history of allergies and both patients underwent a cystoscope biopsy. Blood eosinophils were clearly increased and a bone marrow biopsy examination revealed that marrow eosinophils were also increased in both cases. The urine culture results were negative. Ultrasonography and computed tomography revealed uneven thickening of the bladder wall and diffusive mucosal lesions. Cystoscopy revealed that the bladder volume became smaller and the mucosa at the bladder floor and neck was red. Lesions were biopsied through the urethra and the following characteristics were observed: Congestion and edema of the bladder mucosa, infiltration of the blood vessels and eosinophils in the muscular layer, accompanied by focal muscle necrosis. Patient 1 was administered anti-inflammatory and cetirizine hydrochloride treatments, followed by 6 weeks of prednisone dose-reduction therapy. Patient 2 was administered antibiotics and cetirizine hydrochloride. Following 6-month follow-ups, abnormal voiding symptoms had disappeared in each case. Ultrasonography and computed tomography revealed no bladder wall thickening or space-occupying lesions. EC in children is rare and easily misdiagnosed as nonspecific bladder inflammation or bladder occupying lesions. Cystoscopy and biopsy are necessary to diagnose EC and conservative treatments with anti-inflammatory, anti-allergic and cortical hormone nonspecific treatments are suggested.

摘要

本病例报告的目的是探讨儿童嗜酸性膀胱炎(EC)的临床特征、病理检查及治疗方法。报告并回顾了2016年1月至2017年3月期间的2例EC病例。病例1(男,6岁)有间歇性血尿、尿频、尿急、排尿困难及腹痛症状。病例2(男,7岁)有尿频、尿急、尿痛、排尿困难及耻骨上疼痛,无血尿症状。1例患者有过敏史,2例患者均接受了膀胱镜活检。两例患者血液嗜酸性粒细胞均明显增多,骨髓活检显示骨髓嗜酸性粒细胞也增多。尿培养结果为阴性。超声和计算机断层扫描显示膀胱壁不均匀增厚及弥漫性黏膜病变。膀胱镜检查显示膀胱容量变小,膀胱底部和颈部黏膜发红。通过尿道对病变进行活检,观察到以下特征:膀胱黏膜充血水肿,肌层血管及嗜酸性粒细胞浸润,伴有局灶性肌肉坏死。患者1接受抗炎及盐酸西替利嗪治疗,随后进行6周的泼尼松减量治疗。患者2接受抗生素及盐酸西替利嗪治疗。经过6个月的随访,两例患者的排尿异常症状均消失。超声和计算机断层扫描显示无膀胱壁增厚或占位性病变。儿童EC较为罕见,易被误诊为非特异性膀胱炎症或膀胱占位性病变。膀胱镜检查及活检对于诊断EC是必要的,建议采用抗炎、抗过敏及皮质激素等非特异性保守治疗方法。

https://cdn.ncbi.nlm.nih.gov/pmc/blobs/cb91/6143834/66dfb4080292/etm-16-04-2978-g00.jpg

文献AI研究员

20分钟写一篇综述,助力文献阅读效率提升50倍。

立即体验

用中文搜PubMed

大模型驱动的PubMed中文搜索引擎

马上搜索

文档翻译

学术文献翻译模型,支持多种主流文档格式。

立即体验