Ma Shuang, Sen Siddhartha Sen, Jug Rachel, Zhang Xuefeng, Zhang Wan-Lin, Shen Shuai, Yu Cheng-Qian, Xu Hong-Tao, Yang Lian-He, Wang Endi
Department of Neurology, Sheng Jing Hospital of China Medical University, Shenyang, Liaoning, China Department of Pathology, Duke University Medical Center, Durham, NC Department of Pathology, College of Basic Medical Sciences and First Affiliated Hospital, China Medical University, Shenyang, Liaoning, China.
Medicine (Baltimore). 2018 Sep;97(38):e12482. doi: 10.1097/MD.0000000000012482.
Primary central nervous system lymphoma (PCNSL) is a rare form of non-Hodgkin lymphoma with a dismal outcome. Most patients relapse in intracranial sites and <5% of patients relapse in extracranial sites. Here, we present the first case of PCNSL with an adrenal relapse.
A 72-year-old woman, first presented 7 years ago with complaints of headache and dizziness.
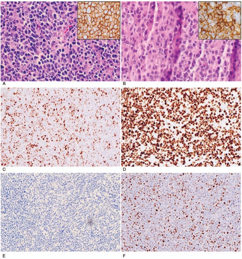
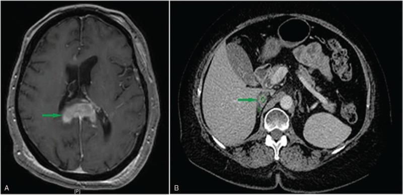
Enhanced magnetic resonance imaging revealed the mass within the splenium of the corpus callosum. On histological examination, there was a diffuse growth pattern of neoplastic cells in the brain biopsy. Immunohistochemistry and flow cytometric analysis demonstrated that the neoplastic cells were of B-cell lineage.
The patient underwent methotrexate-based chemotherapy and whole-brain radiotherapy after the initial diagnosis of primary central nervous system-large B-cell lymphoma (CNS-DLBCL).
After 4 years of clinical remission, the patient was diagnosed with endometrial cancer. Interestingly, a radiological study following the treatment of endometrial cancer demonstrated a right adrenal mass, which was suspicious for malignancy. Morphologic examination and immunohistochemistry studies confirmed the diagnosis of diffuse large B-cell lymphoma. A fluorescent in situ hybridization panel for lymphoma showed rearrangement of Immunoglobulin heavy chain (IGH) and B-cell lymphoma 6 (BCL6), respectively, suggesting fusion of BCL6/IGH. Immunoglobulin kappa analysis demonstrated a common origin for the brain and adrenal lesions, which led to the final diagnosis of an adrenal relapse of CNS-DLBCL.
PCNSL is a highly infiltrative neoplasm, particularly at relapse. To the best of our knowledge, this is the first case of CNS-DLBCL with adrenal relapse. Considering the poor outcome of CNS-DLBCL, molecular genetic studies should be done to identify a common origin for the primary and secondary lesion.
原发性中枢神经系统淋巴瘤(PCNSL)是一种罕见的非霍奇金淋巴瘤,预后不佳。大多数患者在颅内部位复发,不到5%的患者在颅外部位复发。在此,我们报告首例肾上腺复发的PCNSL病例。
一名72岁女性,7年前首次出现头痛和头晕症状。
增强磁共振成像显示胼胝体压部有肿块。组织学检查显示脑活检中有肿瘤细胞的弥漫性生长模式。免疫组织化学和流式细胞术分析表明肿瘤细胞为B细胞系。
患者在最初诊断为原发性中枢神经系统大B细胞淋巴瘤(CNS-DLBCL)后接受了基于甲氨蝶呤的化疗和全脑放疗。
临床缓解4年后,患者被诊断为子宫内膜癌。有趣的是,子宫内膜癌治疗后的影像学研究显示右侧肾上腺有肿块,怀疑为恶性。形态学检查和免疫组织化学研究证实为弥漫性大B细胞淋巴瘤。淋巴瘤荧光原位杂交检测显示免疫球蛋白重链(IGH)和B细胞淋巴瘤6(BCL6)分别发生重排,提示BCL6/IGH融合。免疫球蛋白kappa分析表明脑和肾上腺病变有共同起源,最终诊断为CNS-DLBCL肾上腺复发。
PCNSL是一种高度浸润性肿瘤,尤其是在复发时。据我们所知,这是首例CNS-DLBCL肾上腺复发病例。鉴于CNS-DLBCL预后较差,应进行分子遗传学研究以确定原发和继发病变的共同起源。