Laboratory of Tumor Angiogenesis, Georgia Cancer Center, Department of Biochemistry and Molecular Biology, Augusta University, Augusta, GA.
Department of Chemistry and Physics, Augusta University, Augusta, GA.
Neoplasia. 2018 Oct;20(10):1070-1082. doi: 10.1016/j.neo.2018.08.011.
Glioblastoma (GBM) was shown to relapse faster and displayed therapeutic resistance to antiangiogenic therapies (AATs) through an alternative tumor cell-driven mechanism of neovascularization called vascular mimicry (VM). We identified highly upregulated interleukin 8 (IL-8)-CXCR2 axis in tumor cells in high-grade human glioma and AAT-treated orthotopic GBM tumors.
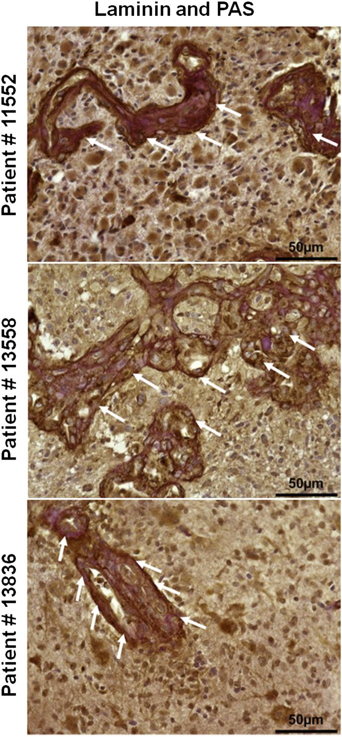
Human GBM tissue sections and tissue array were used to ascertain the clinical relevance of CXCR2-positive tumor cells in the formation of VM. We utilized U251 and U87 human tumor cells to understand VM in an orthotopic GBM model and AAT-mediated enhancement in VM was modeled using vatalanib (anti-VEGFR2) and avastin (anti-VEGF). Later, VM was inhibited by SB225002 (CXCR2 inhibitor) in a preclinical study.
Overexpression of IL8 and CXCR2 in human datasets and histological analysis was identified as a bonafide candidate to validate VM through in vitro and animal model studies. AAT-treated tumors displayed a higher number of CXCR2-positive GBM-stem cells with endothelial-like phenotypes. Stable knockdown of CXCR2 expression in tumor cells led to decreased tumor growth as well as incomplete VM structures in the animal models. Similar data were obtained following SB225002 treatment.
The present study suggests that tumor cell autonomous IL-8-CXCR2 pathway is instrumental in AAT-mediated resistance and VM formation in GBM. Therefore, CXCR2 can be targeted through SB225002 and can be combined with standard therapies to improve the therapeutic outcomes in clinical trials.
胶质母细胞瘤 (GBM) 通过一种称为血管模拟 (VM) 的替代性肿瘤细胞驱动的新血管生成机制,比抗血管生成治疗 (AAT) 更快地复发,并表现出治疗抵抗。我们在高级别人类神经胶质瘤和 AAT 治疗的原位 GBM 肿瘤的肿瘤细胞中鉴定出高度上调的白细胞介素 8 (IL-8)-CXCR2 轴。
使用人类 GBM 组织切片和组织阵列来确定 CXCR2 阳性肿瘤细胞在 VM 形成中的临床相关性。我们利用 U251 和 U87 人类肿瘤细胞来了解原位 GBM 模型中的 VM,并用伐他拉尼 (抗 VEGFR2) 和阿瓦斯汀 (抗 VEGF) 模拟 AAT 介导的 VM 增强。随后,在临床前研究中使用 SB225002(CXCR2 抑制剂)抑制 VM。
在人类数据集和组织学分析中鉴定出 IL8 和 CXCR2 的过表达是通过体外和动物模型研究验证 VM 的可靠候选物。AAT 治疗的肿瘤显示出更多的 CXCR2 阳性 GBM-干细胞,具有内皮样表型。肿瘤细胞中 CXCR2 表达的稳定敲低导致肿瘤生长减少以及动物模型中 VM 结构不完全。在 SB225002 治疗后也获得了类似的数据。
本研究表明,肿瘤细胞自主的 IL-8-CXCR2 途径在 AAT 介导的 GBM 抵抗和 VM 形成中起重要作用。因此,可以通过 SB225002 靶向 CXCR2,并将其与标准疗法结合,以提高临床试验中的治疗效果。