State Key Laboratory of Medical Genomics, Shanghai Institute of Hematology, Ruijin Hospital Affiliated to Shanghai Jiao Tong University School of Medicine, 197 Ruijin Road II, Shanghai, 200025, China.
Collaborative Innovation Center of Hematology, Ruijin Hospital Affiliated to Shanghai Jiao Tong University School of Medicine, 197 Ruijin Road II, Shanghai, 200025, China.
Cell Death Dis. 2018 Sep 20;9(10):963. doi: 10.1038/s41419-018-0998-7.
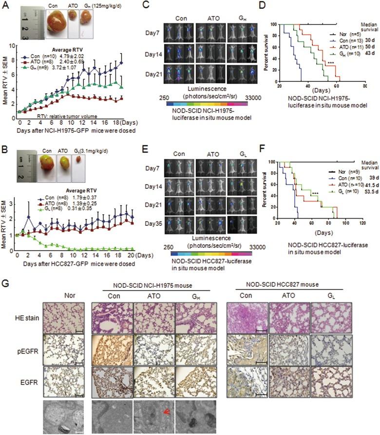
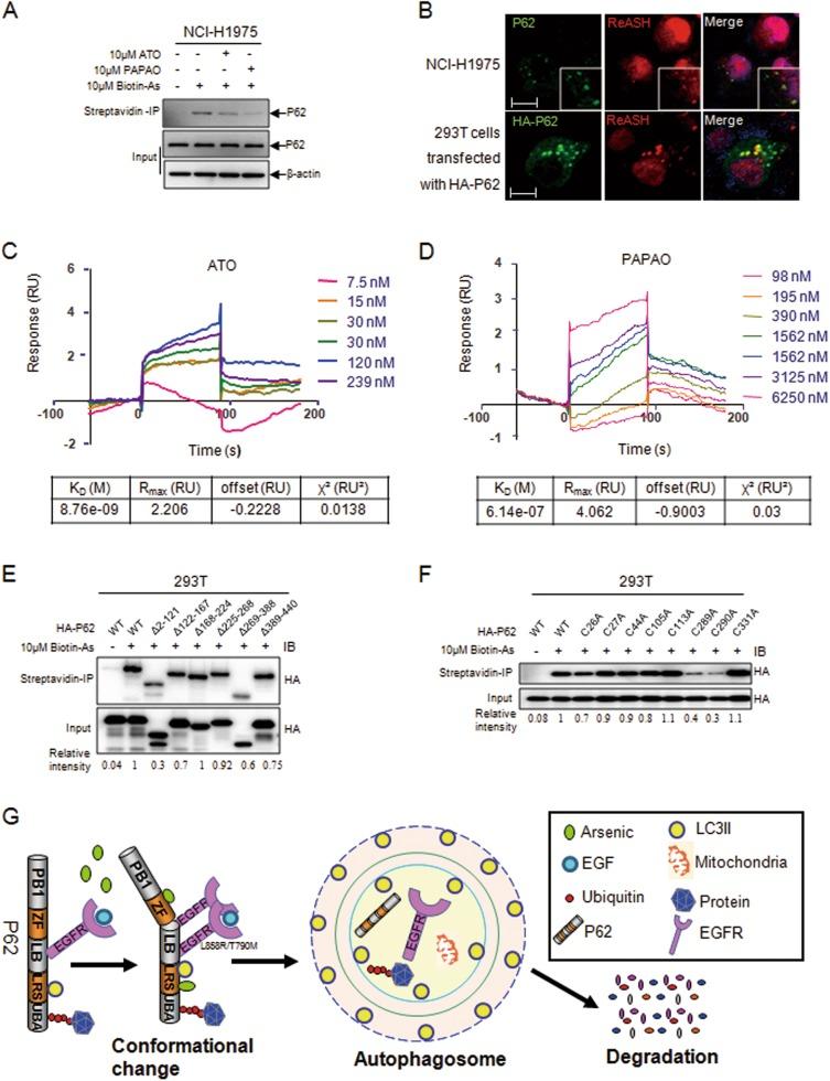
Non-small cell lung cancer (NSCLC) is characterized by hyperexpression and/or gain-of-function mutations of the epidermal growth factor receptor (EGFR), resulting in an elevated overall kinase activity. Gefitinib is remarkably effective in patients with the L858R or ΔE746-A750-mutated of EGFR. However, drug resistance tends to develop because of the emergence of T790M mutation on EGFR. New strategies other than repressing kinase activity are thus required to treat NSCLC, thereby circumventing the resistance. In this study, arsenic trioxide (ATO) at 2 μM significantly inhibited the proliferation of the gefitinib-resistant NCI-H1975 cells of the EGFR L858R/T790M mutant compared with a modest inhibition in the gefitinib-sensitive HCC827 cells of ΔE746-A750 mutant and A549 cells of wild-type EGFR. Moreover, ATO significantly inhibited the overall kinase activity of EGFR primarily through quantitatively diminishing the EGFR in NCI-H1975 cells to an extent comparable with that reached by gefitinib in HCC827 cells. Furthermore, ATO promoted autophagic degradation of EGFR in NSCLC cells by directly binding to P62, which interacted with EGFR, preferentially the L858R/T790M mutant providing a plausible explanation for a more favorable effect of ATO on NCI-H1975 cells. Accordingly, the effect of ATO was further confirmed in the NSCLC xenograft mouse models. Our results reveal a new target for ATO with a unique molecular mechanism, i.e., ATO suppresses the overall catalytic potential of EGFR, significantly those with the L858R/T790M mutant in NCI-H1975 cells, through an autophagic degradation by interacting with P62. This study potentially offers an innovative therapeutic avenue for the NSCLC with L858R/T790M-mutated EGFR.
非小细胞肺癌(NSCLC)的特征是表皮生长因子受体(EGFR)的过度表达和/或功能获得性突变,导致整体激酶活性升高。吉非替尼在具有 EGFR L858R 或 ΔE746-A750 突变的患者中非常有效。然而,由于 EGFR 上出现 T790M 突变,药物耐药性往往会发展。因此,需要除抑制激酶活性以外的新策略来治疗 NSCLC,从而规避耐药性。在这项研究中,2 μM 的三氧化二砷(ATO)与适度抑制 ΔE746-A750 突变的 gefitinib 敏感 HCC827 细胞和野生型 EGFR 的 A549 细胞相比,显著抑制了 EGFR L858R/T790M 突变的 gefitinib 耐药 NCI-H1975 细胞的增殖。此外,ATO 主要通过定量减少 NCI-H1975 细胞中的 EGFR,使其达到 gefitinib 在 HCC827 细胞中的程度,从而显著抑制 EGFR 的整体激酶活性。此外,ATO 通过直接与 P62 结合,促进 NSCLC 细胞中 EGFR 的自噬降解,P62 与 EGFR 相互作用,优先与 L858R/T790M 突变体相互作用,为 ATO 对 NCI-H1975 细胞更有利的作用提供了合理的解释。因此,ATO 的效果在 NSCLC 异种移植小鼠模型中得到了进一步证实。我们的研究结果揭示了 ATO 的一个新靶点,具有独特的分子机制,即 ATO 通过与 P62 相互作用,通过自噬降解,抑制 EGFR 的整体催化潜能,在 NCI-H1975 细胞中,特别是对 L858R/T790M 突变体,具有显著的抑制作用。这项研究为具有 L858R/T790M 突变的 EGFR 的 NSCLC 提供了一种创新的治疗途径。