Suppr超能文献

闭合复位及石膏固定治疗小儿前臂骨折后再移位的相关因素:石膏指数及三点指数的作用

Factors Responsible for Redisplacement of Pediatric Forearm Fractures Treated by Closed Reduction and Cast: Role of casting indices and three point index.

作者信息

Arora Rajesh, Mishra Puneet, Aggarwal Aditya Nath, Anshuman Rahul, Sreenivasan Ravi

机构信息

Sports Injury Centre, Vardhman Mahavir Medical College and Safdarjung Hospital, New Delhi, India.

Department of Orthopaedics, University College of Medical Sciences and Guru Teg Bahadur Hospital, New Delhi, India.

出版信息

Indian J Orthop. 2018 Sep-Oct;52(5):536-547. doi: 10.4103/ortho.IJOrtho_382_17.

Abstract

BACKGROUND

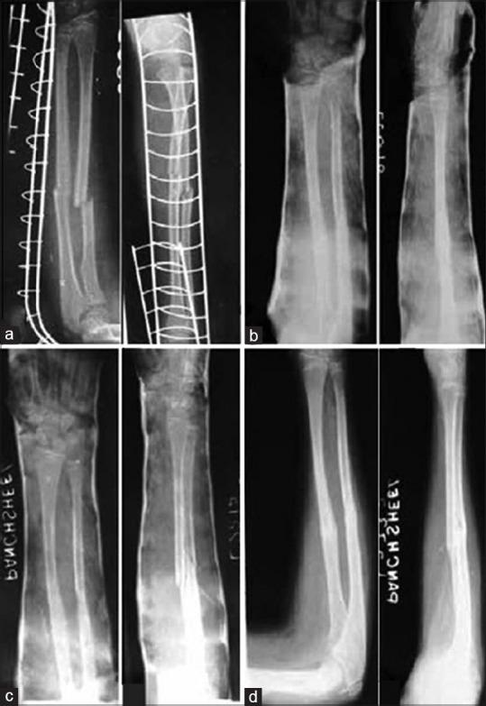
Pediatric forearm fractures are still considered an enigma in view of their propensity to redisplace in cast. The redisplacement may be a potential cause for malalignment. We prospectively analyzed the role of risk factors and above casting indices in predicting significant redisplacement of pediatric forearm fractures treated by closed reduction and cast.

MATERIALS AND METHODS

113 patients of age range 2-13 years with displaced forearm fractures, treated by closed reduction and cast were included in this prospective study. Prereduction and postreduction angulation, translation, and shortening were noted. In addition, for distal metaphyseal fractures, obliquity angle was noted. In postreduction X-ray, apart from fracture variables, casting indices were also noted (cast index [CI] for all patients with three-point index [TPI] and second metacarpal radius angle in addition for distal metaphyseal fractures). In 2 week, X-rays were again obtained to check for significant redisplacement. These patients were managed with remanipulation and casting or were operated if remanipulation failed. Comparison of various risk factors was made between patients with significant redisplacement and those which were acceptably reduced. A subgroup analysis of patients with distal metaphyseal fractures was done.

RESULTS

Thirteen (11.5%) patients had significant redisplacement; all of them required remanipulation. No association with respect to age, sex, level of fracture, side of injury, surgeon's experience, number of bones fractured, and injury to definitive cast interval was seen. The presence of complete displacement in any of the plane in either of the bones was seen to be highly significant predictor of redisplacement ( < 0.001). Postreduction angulation more than 10° in any plane in either of the bone and fracture obliquity angle in distal metaphyseal fracture also had a highly significant association with redisplacement. There was a significant difference in the mean values of all three casting indices assessed. TPI was the most sensitive casting index (87.5%).

CONCLUSIONS

Conservative management with aim of anatomical reduction, especially in patients with complete displacement, should be the approach of choice in closed pediatric forearm fractures. Casting indices are good markers of quality of cast.

摘要

背景

小儿前臂骨折因在石膏固定后易于再次移位,至今仍是一个难题。再次移位可能是导致畸形排列的一个潜在原因。我们前瞻性地分析了风险因素及上述石膏固定指标在预测闭合复位及石膏固定治疗的小儿前臂骨折显著再次移位中的作用。

材料与方法

本前瞻性研究纳入了113例年龄在2至13岁之间、因前臂骨折行闭合复位及石膏固定治疗的患者。记录复位前及复位后的成角、移位及缩短情况。此外,对于远端干骺端骨折,记录倾斜角。在复位后的X线片上,除骨折变量外,还记录石膏固定指标(所有患者的石膏指数[CI],远端干骺端骨折患者还包括三点指数[TPI]及第二掌骨-桡骨角)。在2周时,再次拍摄X线片以检查是否有显著再次移位。这些患者接受再次手法复位及石膏固定治疗,若再次手法复位失败则行手术治疗。对有显著再次移位的患者与复位良好的患者的各种风险因素进行比较。对远端干骺端骨折患者进行亚组分析。

结果

13例(11.5%)患者出现显著再次移位;所有患者均需再次手法复位。未发现与年龄、性别、骨折部位、受伤侧、外科医生经验、骨折骨数量及受伤至最终石膏固定间隔时间有关联。任何一根骨在任何平面出现完全移位被视为再次移位的高度显著预测因素(<0.001)。任何一根骨在任何平面复位后成角超过10°以及远端干骺端骨折的骨折倾斜角也与再次移位有高度显著关联。所评估的所有三个石膏固定指标的平均值存在显著差异。TPI是最敏感的石膏固定指标(87.5%)。

结论

以解剖复位为目标的保守治疗,尤其是对于完全移位的患者,应是小儿闭合性前臂骨折的首选治疗方法。石膏固定指标是石膏固定质量的良好标志。

https://cdn.ncbi.nlm.nih.gov/pmc/blobs/462b/6142794/0190dc157316/IJOrtho-52-536-g003.jpg

文献AI研究员

20分钟写一篇综述,助力文献阅读效率提升50倍。

立即体验

用中文搜PubMed

大模型驱动的PubMed中文搜索引擎

马上搜索

文档翻译

学术文献翻译模型,支持多种主流文档格式。

立即体验