• 文献检索
  • 文档翻译
  • 深度研究
  • 学术资讯
  • Suppr Zotero 插件Zotero 插件
  • 邀请有礼
  • 套餐&价格
  • 历史记录
应用&插件
Suppr Zotero 插件Zotero 插件浏览器插件Mac 客户端Windows 客户端微信小程序
定价
高级版会员购买积分包购买API积分包
服务
文献检索文档翻译深度研究API 文档MCP 服务
关于我们
关于 Suppr公司介绍联系我们用户协议隐私条款
关注我们

Suppr 超能文献

核心技术专利:CN118964589B侵权必究
粤ICP备2023148730 号-1Suppr @ 2026

文献检索

告别复杂PubMed语法,用中文像聊天一样搜索,搜遍4000万医学文献。AI智能推荐,让科研检索更轻松。

立即免费搜索

文件翻译

保留排版,准确专业,支持PDF/Word/PPT等文件格式,支持 12+语言互译。

免费翻译文档

深度研究

AI帮你快速写综述,25分钟生成高质量综述,智能提取关键信息,辅助科研写作。

立即免费体验

斑蝥素通过线粒体依赖性途径抑制抗凋亡 Bcl-2 家族蛋白并诱导人骨肉瘤细胞系 MG-63 和 MNNG/HOS 凋亡。

Cantharidin Inhibits Anti-Apoptotic Bcl-2 Family Proteins and Induces Apoptosis in Human Osteosarcoma Cell Lines MG-63 and MNNG/HOS via Mitochondria-Dependent Pathway.

机构信息

Department of Orthopedics, 2nd Affiliated Hospital, School of Medicine, Zhejiang University, Hangzhou, Zhejiang, China (mainland).

Orthopedics Research Institute of Zhejiang University, Hangzhou, Zhejiang, China (mainland).

出版信息

Med Sci Monit. 2018 Sep 24;24:6742-6749. doi: 10.12659/MSM.910294.

DOI:10.12659/MSM.910294
PMID:30248086
原文链接:https://pmc.ncbi.nlm.nih.gov/articles/PMC6180936/
Abstract

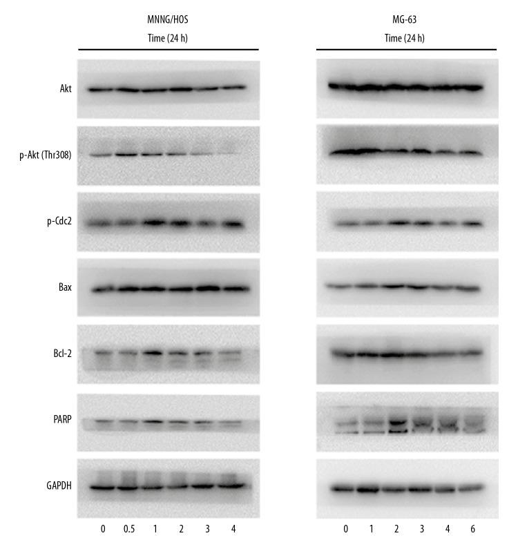
BACKGROUND Cantharidin (CTD) is one of the major active ingredients of blister beetles and has significant antitumor activity in many cancer cell lines. The aim of our study was to evaluate the effect of CTD on the apoptosis of human osteosarcoma cells MG-63 and MNNG/HOS, and to explore the possible molecular mechanism. MATERIAL AND METHODS Osteosarcoma cells MG-63 and MNNG/HOS were treated with varying concentrations of CTD. The proliferation inhibition of cells was detected by MTS. Flow cytometry and Hoechst 33258 staining were used to determine cell cycle arrest and apoptosis, and apoptosis-related protein levels were analyzed by Western blotting. RESULTS Our current findings suggest that CTD could inhibit the proliferation of these 2 osteosarcoma cells. The cells treated with CTD showed an obvious apoptotic morphology, and CTD promoted cells apoptosis in a dose-dependent manner. In addition, cantharidin-induced apoptosis was accompanied by increased expression of Bax and PARP and decreased expression of Bcl-2, p-Akt, and p-Cdc2. CONCLUSIONS CTD accelerates the apoptosis of MG-63 and MNNG/HOS cells in a concentration-dependent manner through the mitochondria-dependent pathway, suggesting that use of CTD is a novel approach for the treatment of osteosarcoma.

摘要

背景

斑蝥素(CTD)是斑蝥科昆虫的主要活性成分之一,在多种癌细胞系中具有显著的抗肿瘤活性。本研究旨在评估 CTD 对人骨肉瘤细胞 MG-63 和 MNNG/HOS 凋亡的影响,并探讨其可能的分子机制。

材料和方法

用不同浓度的 CTD 处理骨肉瘤细胞 MG-63 和 MNNG/HOS。用 MTS 检测细胞增殖抑制。用流式细胞术和 Hoechst 33258 染色检测细胞周期阻滞和凋亡,并用 Western blot 分析凋亡相关蛋白水平。

结果

本研究结果表明,CTD 可抑制这两种骨肉瘤细胞的增殖。CTD 处理后的细胞呈现明显的凋亡形态,且 CTD 呈浓度依赖性促进细胞凋亡。此外,斑蝥素诱导的细胞凋亡伴随着 Bax 和 PARP 的表达增加,以及 Bcl-2、p-Akt 和 p-Cdc2 的表达减少。

结论

CTD 通过线粒体依赖性途径加速 MG-63 和 MNNG/HOS 细胞的凋亡,提示使用 CTD 是治疗骨肉瘤的一种新方法。

https://cdn.ncbi.nlm.nih.gov/pmc/blobs/eac9/6180936/7ac607a954e3/medscimonit-24-6742-g005.jpg
https://cdn.ncbi.nlm.nih.gov/pmc/blobs/eac9/6180936/06b9243403ab/medscimonit-24-6742-g001.jpg
https://cdn.ncbi.nlm.nih.gov/pmc/blobs/eac9/6180936/c8a2c69120dc/medscimonit-24-6742-g002.jpg
https://cdn.ncbi.nlm.nih.gov/pmc/blobs/eac9/6180936/a6a4f4432e56/medscimonit-24-6742-g003.jpg
https://cdn.ncbi.nlm.nih.gov/pmc/blobs/eac9/6180936/94a6e20882a1/medscimonit-24-6742-g004.jpg
https://cdn.ncbi.nlm.nih.gov/pmc/blobs/eac9/6180936/7ac607a954e3/medscimonit-24-6742-g005.jpg
https://cdn.ncbi.nlm.nih.gov/pmc/blobs/eac9/6180936/06b9243403ab/medscimonit-24-6742-g001.jpg
https://cdn.ncbi.nlm.nih.gov/pmc/blobs/eac9/6180936/c8a2c69120dc/medscimonit-24-6742-g002.jpg
https://cdn.ncbi.nlm.nih.gov/pmc/blobs/eac9/6180936/a6a4f4432e56/medscimonit-24-6742-g003.jpg
https://cdn.ncbi.nlm.nih.gov/pmc/blobs/eac9/6180936/94a6e20882a1/medscimonit-24-6742-g004.jpg
https://cdn.ncbi.nlm.nih.gov/pmc/blobs/eac9/6180936/7ac607a954e3/medscimonit-24-6742-g005.jpg

相似文献

1
Cantharidin Inhibits Anti-Apoptotic Bcl-2 Family Proteins and Induces Apoptosis in Human Osteosarcoma Cell Lines MG-63 and MNNG/HOS via Mitochondria-Dependent Pathway.斑蝥素通过线粒体依赖性途径抑制抗凋亡 Bcl-2 家族蛋白并诱导人骨肉瘤细胞系 MG-63 和 MNNG/HOS 凋亡。
Med Sci Monit. 2018 Sep 24;24:6742-6749. doi: 10.12659/MSM.910294.
2
Cantharidin induces G2/M phase arrest and apoptosis in human colorectal cancer colo 205 cells through inhibition of CDK1 activity and caspase-dependent signaling pathways.斑蝥素通过抑制 CDK1 活性和 caspase 依赖性信号通路诱导人结直肠癌细胞colo 205 的 G2/M 期阻滞和凋亡。
Int J Oncol. 2011 Apr;38(4):1067-73. doi: 10.3892/ijo.2011.922. Epub 2011 Jan 24.
3
Cinobufagin Induces Apoptosis in Osteosarcoma Cells Via the Mitochondria-Mediated Apoptotic Pathway.华蟾酥毒基通过线粒体介导的凋亡途径诱导骨肉瘤细胞凋亡。
Cell Physiol Biochem. 2018;46(3):1134-1147. doi: 10.1159/000488842. Epub 2018 Apr 13.
4
Induction of G2/M phase cell cycle arrest and apoptosis by ginsenoside Rf in human osteosarcoma MG‑63 cells through the mitochondrial pathway.人参皂苷 Rf 通过线粒体途径诱导人骨肉瘤 MG-63 细胞 G2/M 期细胞周期阻滞和凋亡。
Oncol Rep. 2014 Jan;31(1):305-13. doi: 10.3892/or.2013.2815. Epub 2013 Oct 24.
5
Cantharidin induces apoptosis of H460 human lung cancer cells through mitochondria-dependent pathways.斑蝥素通过线粒体依赖途径诱导人肺癌H460细胞凋亡。
Int J Oncol. 2014 Jul;45(1):245-54. doi: 10.3892/ijo.2014.2428. Epub 2014 May 9.
6
Oxymatrine induces mitochondria dependent apoptosis in human osteosarcoma MNNG/HOS cells through inhibition of PI3K/Akt pathway.氧化苦参碱通过抑制PI3K/Akt信号通路诱导人骨肉瘤MNNG/HOS细胞发生线粒体依赖性凋亡。
Tumour Biol. 2014 Feb;35(2):1619-25. doi: 10.1007/s13277-013-1223-z.
7
Bufalin Induces Apoptosis of Human Osteosarcoma U-2 OS Cells through Endoplasmic Reticulum Stress, Caspase- and Mitochondria-Dependent Signaling Pathways.蟾毒灵通过内质网应激、半胱天冬酶和线粒体依赖性信号通路诱导人骨肉瘤U-2 OS细胞凋亡。
Molecules. 2017 Mar 10;22(3):437. doi: 10.3390/molecules22030437.
8
Matrine induces caspase-dependent apoptosis in human osteosarcoma cells in vitro and in vivo through the upregulation of Bax and Fas/FasL and downregulation of Bcl-2.苦参碱通过上调 Bax 和 Fas/FasL 以及下调 Bcl-2 诱导人骨肉瘤细胞体外和体内的 caspase 依赖性细胞凋亡。
Cancer Chemother Pharmacol. 2012 Feb;69(2):317-31. doi: 10.1007/s00280-011-1699-4. Epub 2011 Jun 30.
9
Xiao Jin Wan, a traditional Chinese herbal formula, inhibits proliferation via arresting cell cycle progression at the G2/M phase and promoting apoptosis via activating the mitochondrial‑dependent pathway in U-2OS human osteosarcoma cells.小金丸通过阻滞 U-2OS 人骨肉瘤细胞于 G2/M 期而抑制细胞增殖,通过激活线粒体依赖性通路而促进细胞凋亡,从而发挥抑制作用。
Int J Oncol. 2013 Mar;42(3):1070-80. doi: 10.3892/ijo.2013.1795. Epub 2013 Jan 23.
10
Cantharidin induces apoptosis in human bladder cancer TSGH 8301 cells through mitochondria-dependent signal pathways.斑蝥素通过线粒体依赖性信号通路诱导人膀胱癌 TSGH8301 细胞凋亡。
Int J Oncol. 2010 Nov;37(5):1243-50. doi: 10.3892/ijo_00000775.

引用本文的文献

1
Shuganning Injection Suppresses Apoptosis for Protecting Against Cantharidin-Induced Liver Injury by Network Pharmacology and Experiment Validation.舒肝宁注射液通过网络药理学和实验验证抑制细胞凋亡以预防斑蝥素诱导的肝损伤
ACS Omega. 2024 Mar 12;9(12):13692-13703. doi: 10.1021/acsomega.3c07981. eCollection 2024 Mar 26.
2
Integrative analysis of the molecular signature of target genes involved in the antitumor effects of cantharidin on hepatocellular carcinoma.基于坎那汀抑制肝癌细胞生长分子机制的靶基因的整合分析。
BMC Cancer. 2023 Nov 28;23(1):1161. doi: 10.1186/s12885-023-11594-8.
3
Hepatotoxic mechanism of cantharidin: insights and strategies for therapeutic intervention.

本文引用的文献

1
Paeoniflorin induces G2/M cell cycle arrest and caspase-dependent apoptosis through the upregulation of Bcl-2 X-associated protein and downregulation of B-cell lymphoma 2 in human osteosarcoma cells.芍药苷通过上调 Bcl-2 X 相关蛋白和下调 B 细胞淋巴瘤 2 诱导人骨肉瘤细胞 G2/M 细胞周期阻滞和 caspase 依赖性细胞凋亡。
Mol Med Rep. 2018 Apr;17(4):5095-5101. doi: 10.3892/mmr.2018.8464. Epub 2018 Jan 22.
2
The Function of the Novel Mechanical Activated Ion Channel Piezo1 in the Human Osteosarcoma Cells.新型机械激活离子通道 Piezo1 在人骨肉瘤细胞中的功能。
Med Sci Monit. 2017 Oct 24;23:5070-5082. doi: 10.12659/msm.906959.
3
斑蝥素的肝毒性机制:治疗干预的见解与策略
Front Pharmacol. 2023 Jun 13;14:1201404. doi: 10.3389/fphar.2023.1201404. eCollection 2023.
4
Sea Cucumber Derived Triterpenoid Glycoside Frondoside A: A Potential Anti-Bladder Cancer Drug.海参衍生三萜糖苷佛司可林 A:一种有潜力的膀胱癌治疗药物。
Nutrients. 2023 Jan 11;15(2):378. doi: 10.3390/nu15020378.
5
Cantharidin inhibits osteosarcoma proliferation and metastasis by directly targeting miR-214-3p/DKK3 axis to inactivate β-catenin nuclear translocation and LEF1 translation.斑蝥素通过直接靶向 miR-214-3p/DKK3 轴抑制骨肉瘤增殖和转移,从而使 β-连环蛋白核易位和 LEF1 翻译失活。
Int J Biol Sci. 2021 Jun 16;17(10):2504-2522. doi: 10.7150/ijbs.51638. eCollection 2021.
6
Antitumor potential of the protein phosphatase inhibitor, cantharidin, and selected derivatives.蛋白磷酸酶抑制剂斑蝥素及其衍生物的抗肿瘤潜力。
Bioorg Med Chem. 2021 Feb 15;32:116012. doi: 10.1016/j.bmc.2021.116012. Epub 2021 Jan 9.
7
Anticancer Attributes of Cantharidin: Involved Molecular Mechanisms and Pathways.斑蝥素的抗癌特性:涉及的分子机制和途径。
Molecules. 2020 Jul 19;25(14):3279. doi: 10.3390/molecules25143279.
8
Regulation of Apoptosis by Enteroviruses.肠道病毒对细胞凋亡的调控
Front Microbiol. 2020 Jun 3;11:1145. doi: 10.3389/fmicb.2020.01145. eCollection 2020.
9
Monocarboxylate Transporter 4 (MCT4) Overexpression Is Correlated with Poor Prognosis of Osteosarcoma.单羧酸转运蛋白 4(MCT4)过表达与骨肉瘤预后不良相关。
Med Sci Monit. 2019 Jun 9;25:4278-4284. doi: 10.12659/MSM.912272.
In Vitro Anticancer Effect of Gedunin on Human Teratocarcinomal (NTERA-2) Cancer Stem-Like Cells.
体外鬼臼毒素对人畸胎瘤(NTERA-2)癌干样细胞的抗癌作用。
Biomed Res Int. 2017;2017:2413197. doi: 10.1155/2017/2413197. Epub 2017 Jun 7.
4
Cantharidin suppressed breast cancer MDA-MB-231 cell growth and migration by inhibiting MAPK signaling pathway.斑蝥素通过抑制丝裂原活化蛋白激酶(MAPK)信号通路来抑制乳腺癌MDA-MB-231细胞的生长和迁移。
Braz J Med Biol Res. 2017 Jul 3;50(7):e5920. doi: 10.1590/1414-431X20175920.
5
Cantharidin Impairs Cell Migration and Invasion of Human Lung Cancer NCI-H460 Cells via UPA and MAPK Signaling Pathways.斑蝥素通过UPA和MAPK信号通路损害人肺癌NCI-H460细胞的迁移和侵袭。
Anticancer Res. 2016 Nov;36(11):5989-5997. doi: 10.21873/anticanres.11187.
6
Cell apoptosis, autophagy and necroptosis in osteosarcoma treatment.骨肉瘤治疗中的细胞凋亡、自噬和坏死性凋亡
Oncotarget. 2016 Jul 12;7(28):44763-44778. doi: 10.18632/oncotarget.8206.
7
A study of the potential anticancer activity of bark: Evaluation of cytotoxic and apoptotic effects of the hexane extract and bioassay-guided fractionation to identify phytochemical constituents.树皮潜在抗癌活性的研究:己烷提取物的细胞毒性和凋亡作用评估以及生物测定导向的分级分离以鉴定植物化学成分。
Oncol Lett. 2016 Feb;11(2):1335-1344. doi: 10.3892/ol.2016.4087. Epub 2016 Jan 8.
8
MicroRNAs and Potential Targets in Osteosarcoma: Review.微小 RNA 与骨肉瘤的潜在靶点:综述。
Front Pediatr. 2015 Aug 24;3:69. doi: 10.3389/fped.2015.00069. eCollection 2015.
9
Cantharidin represses invasion of pancreatic cancer cells through accelerated degradation of MMP2 mRNA.斑蝥素通过加速基质金属蛋白酶2(MMP2)信使核糖核酸的降解来抑制胰腺癌细胞的侵袭。
Sci Rep. 2015 Jul 2;5:11836. doi: 10.1038/srep11836.
10
Cantharidin Induces Apoptosis Through the Calcium/PKC-Regulated Endoplasmic Reticulum Stress Pathway in Human Bladder Cancer Cells.斑蝥素通过钙/蛋白激酶C调节的内质网应激途径诱导人膀胱癌细胞凋亡。
Am J Chin Med. 2015;43(3):581-600. doi: 10.1142/S0192415X15500366.