Suppr超能文献

伴有急性尿潴留的坏死性血尿:双侧肾母细胞瘤的一种罕见表现

NECROTURIA WITH ACUTE URINARY RETENTION: A RARE PRESENTATION OF BILATERAL WILMS' TUMOUR.

作者信息

Ibiyeye T T, Abolarinwa A A, Osuoji R I

机构信息

Department of Surgery, Federal Medical Center, Lokoja, Kogi State, Nigeria.

Department of Surgery, College of Medicine, Lagos State University, Ikeja, Lagos State, Nigeria.

出版信息

Ann Ib Postgrad Med. 2018 Jun;16(1):73-75.

Abstract

BACKGROUND

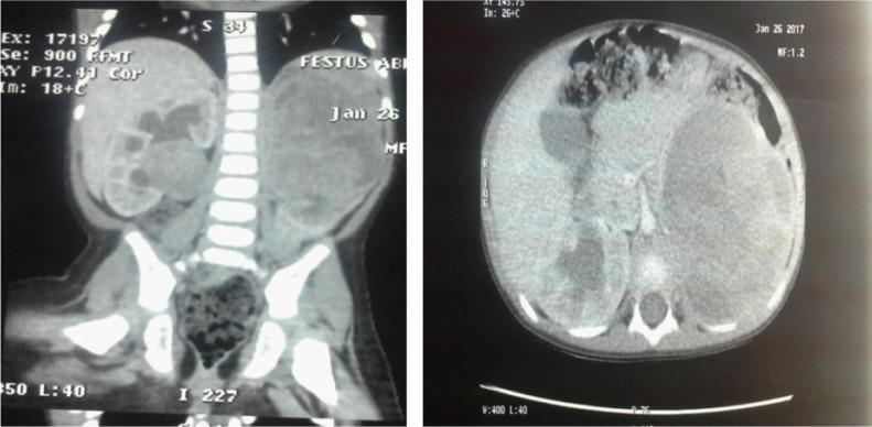
Wilms' tumour is one of the most common solid abdominal tumours in children in sub-Saharan Africa. Most cases present with an asymptomatic abdominal mass. We report a 2 year old male child who presented with acute urinary retention of 6 hours duration. He had a left flank mass and ascites, with a piece of necrotic tissue protruding from the urethral meatus. The urinary retention was relieved by manual removal of the necrotic tissue and passage of a Foley's urethral catheter. Abdominal ultrasound and computed tomographic scan revealed bilateral Wilms' tumour.The child commenced neoadjuvant chemotherapy and he has made significant improvement.

CONCLUSION

This is a rare mode of presentation of bilateral Wilms' tumour which presented with a diagnostic dilemma. The need to palpate the abdomen of children who come to the hospital, cannot be over-emphasized.

摘要

背景

肾母细胞瘤是撒哈拉以南非洲儿童最常见的腹部实体瘤之一。大多数病例表现为无症状的腹部肿块。我们报告一名2岁男童,出现了持续6小时的急性尿潴留。他有左侧腰部肿块和腹水,尿道外口有一块坏死组织突出。通过手动清除坏死组织并插入Foley导尿管,尿潴留得以缓解。腹部超声和计算机断层扫描显示双侧肾母细胞瘤。该患儿开始接受新辅助化疗,目前已有显著改善。

结论

这是双侧肾母细胞瘤一种罕见的表现形式,带来了诊断难题。对于前来医院就诊的儿童,触诊腹部的必要性再怎么强调都不为过。

https://cdn.ncbi.nlm.nih.gov/pmc/blobs/519a/6143887/4ca750a6d078/AIPM-16-73_F1.jpg

文献AI研究员

20分钟写一篇综述,助力文献阅读效率提升50倍。

立即体验

用中文搜PubMed

大模型驱动的PubMed中文搜索引擎

马上搜索

文档翻译

学术文献翻译模型,支持多种主流文档格式。

立即体验