Suppr超能文献

血管内皮生长因子治疗股骨头坏死的实验研究:犬类实验

Vascular endothelial growth factor for the treatment of femoral head osteonecrosis: An experimental study in canines.

作者信息

Dailiana Zoe H, Stefanou Nikolaos, Khaldi Lubna, Dimakopoulos Georgios, Bowers James R, Fink Cristian, Urbaniak James R

机构信息

Department of Orthopaedic Surgery, Faculty of Medicine, University of Thessalia, Larissa 41500, Greece.

Department of Pathology, "Saint Savvas" Anti-Cancer Hospital, Athens 11522, Greece.

出版信息

World J Orthop. 2018 Sep 18;9(9):120-129. doi: 10.5312/wjo.v9.i9.120.

Abstract

AIM

To evaluate the treatment of osteonecrosis of the femoral head (ONFH) with the use of vascular endothelial growth factor (VEGF).

METHODS

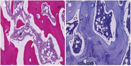
In 30 mature beagles (6 groups of 5 beagles) ONFH was induced cryosurgically and one of the following solutions was administered locally in the femoral head (FH) in each group: Single injection of 500 μg VEGF (t-VEGFμ group); single injection of 500 ng VEGF (t-VEGFn group); continuous delivery of 500 μg VEGF through osmotic micropump (t-VEGFpump-μ group); continuous delivery of 500 ng VEGF through osmotic micropump (t-VEGFpump-n group); single injection of 0.9% sodium chloride (t-NS group), while one group that served as control group did not receive any local solution (No-t group). FHs were retrieved 12 wk postoperatively, underwent decalcification and hematoxylin/eosin and toluidine blue staining. In two canines per group, one half of FH was processed without decalcification and stained with modified Masson Trichrome. Histological sections were observed by light microscopy and measured with a semi-automatized bone histomorphometry system and Bone Volume/Total Volume (BV/TV), Marrow Volume/Total Volume (MaV/TV), and Trabecular Thickness (TbTh) were assessed. Standard and robust tests (Welch, Brown Forsythe) of analysis of variance along with multiple comparisons, were carried out among the categories.

RESULTS

The untreated (No-t) group had signs of osteonecrosis, whereas the VEGF groups revealed reversal of the osteonecrosis. Statistical analysis of the decalcified specimens revealed a significantly better BV/TV ratio and a higher TbTh between the VEGF treatment groups (except the t-VEGFn group) and the No-t group or the control t-NS group. Single dose 500 μgVEGF group had significantly better BV/TV ratio and higher TbTh when compared to the No-t group (50.45 ± 6.18 29.50 ± 12.27, = 0.002 and 151.44 ± 19.07 107.77 ± 35.15, = 0.161 respectively) and the control t-NS group (50.45 ± 6.18 30.9 ± 6.67, = 0.004 and 151.44 ± 19.07 107.14 ± 35.71, = 0.151 respectively). Similar differences were found for the prolonged VEGF delivery/pump groups of 500 μg and 500 ng. Analysis of the totality of specimens (decalcified/non-decalcified) enhanced the aforementioned differences and additionally revealed significant differences in the comparison of the TbTh.

CONCLUSION

In an experimental model of ONFH in canines it was found that local treatment with VEGF leads to bone tissue remodeling and new bone formation.

摘要

目的

评估使用血管内皮生长因子(VEGF)治疗股骨头坏死(ONFH)的效果。

方法

选取30只成年比格犬(分为6组,每组5只),通过冷冻手术诱导ONFH,每组在股骨头(FH)局部给予以下溶液之一:单次注射500μg VEGF(t-VEGFμ组);单次注射500ng VEGF(t-VEGFn组);通过渗透微型泵持续输送500μg VEGF(t-VEGFpump-μ组);通过渗透微型泵持续输送500ng VEGF(t-VEGFpump-n组);单次注射0.9%氯化钠(t-NS组),而一组作为对照组未接受任何局部溶液(No-t组)。术后12周取出FH,进行脱钙处理,并进行苏木精/伊红和甲苯胺蓝染色。每组选取2只犬,将FH的一半进行不脱钙处理,并用改良的马松三色染色法染色。通过光学显微镜观察组织学切片,并用半自动骨组织形态计量学系统进行测量,评估骨体积/总体积(BV/TV)、骨髓体积/总体积(MaV/TV)和小梁厚度(TbTh)。在各类别之间进行方差分析的标准和稳健检验(韦尔奇检验、布朗-福赛斯检验)以及多重比较。

结果

未治疗(No-t)组有股骨头坏死迹象,而VEGF组显示股骨头坏死得到逆转。对脱钙标本的统计分析表明,VEGF治疗组(t-VEGFn组除外)与No-t组或对照t-NS组相比,BV/TV比值显著更好,TbTh更高。与No-t组(分别为50.45±6.18对29.50±12.27,P = 0.002;151.44±19.07对107.77±35.15,P = 0.161)和对照t-NS组(分别为50.45±6.18对30.9±6.67,P = 0.004;151.44±19.07对107.14±35.71,P = 0.151)相比,单次剂量500μg VEGF组的BV/TV比值显著更好,TbTh更高。在500μg和500ng的VEGF持续输送/泵入组中也发现了类似差异。对所有标本(脱钙/未脱钙)的分析强化了上述差异,并且在TbTh的比较中还显示出显著差异。

结论

在犬ONFH的实验模型中发现,VEGF局部治疗可导致骨组织重塑和新骨形成。

https://cdn.ncbi.nlm.nih.gov/pmc/blobs/663a/6153136/3cba6d06872a/WJO-9-120-g001.jpg

文献AI研究员

20分钟写一篇综述,助力文献阅读效率提升50倍。

立即体验

用中文搜PubMed

大模型驱动的PubMed中文搜索引擎

马上搜索

文档翻译

学术文献翻译模型,支持多种主流文档格式。

立即体验