• 文献检索
  • 文档翻译
  • 深度研究
  • 学术资讯
  • Suppr Zotero 插件Zotero 插件
  • 邀请有礼
  • 套餐&价格
  • 历史记录
应用&插件
Suppr Zotero 插件Zotero 插件浏览器插件Mac 客户端Windows 客户端微信小程序
定价
高级版会员购买积分包购买API积分包
服务
文献检索文档翻译深度研究API 文档MCP 服务
关于我们
关于 Suppr公司介绍联系我们用户协议隐私条款
关注我们

Suppr 超能文献

核心技术专利:CN118964589B侵权必究
粤ICP备2023148730 号-1Suppr @ 2026

文献检索

告别复杂PubMed语法,用中文像聊天一样搜索,搜遍4000万医学文献。AI智能推荐,让科研检索更轻松。

立即免费搜索

文件翻译

保留排版,准确专业,支持PDF/Word/PPT等文件格式,支持 12+语言互译。

免费翻译文档

深度研究

AI帮你快速写综述,25分钟生成高质量综述,智能提取关键信息,辅助科研写作。

立即免费体验

Principal Clinical Factors Predicting Therapeutic Outcomes After Surgical Drainage of Postoperative Cheek Cysts: Experience From a Single Center.

作者信息

Cho Sung-Woo, Lim Hyun Jung, Song Yoonjae, Kang Young, Lim Jae Hyun, Jeon Yung Jin, Han Doo Hee, Won Tae-Bin, Kim Dong-Young, Kim Hyun Jik

机构信息

Department of Otorhinolaryngology-Head and Neck Surgery, Seoul National University Hospital, Seoul National University College of Medicine, Seoul, Korea.

Department of Otorhinolaryngology-Head and Neck Surgery, Seoul National University Bundang Hospital, Seongnam, Korea.

出版信息

Clin Exp Otorhinolaryngol. 2019 Feb;12(1):79-85. doi: 10.21053/ceo.2018.00528. Epub 2018 Sep 28.

DOI:10.21053/ceo.2018.00528
PMID:30257548
原文链接:https://pmc.ncbi.nlm.nih.gov/articles/PMC6315216/
Abstract

OBJECTIVES

Postoperative cheek cyst (POCC) is a late postoperative complication of radical maxillary sinus surgery including the Caldwell-Luc (C-L) operation. The present study aimed to evaluate the therapeutic outcomes of surgical treatment for POCC and to assess the clinical factors correlated to these outcomes.

METHODS

This study included 57 patients (67 nostrils) diagnosed with POCC who underwent surgical drainage. The medical records of the patients were retrospectively reviewed for radiological findings, treatment modalities, residual symptoms, and recurrences.

RESULTS

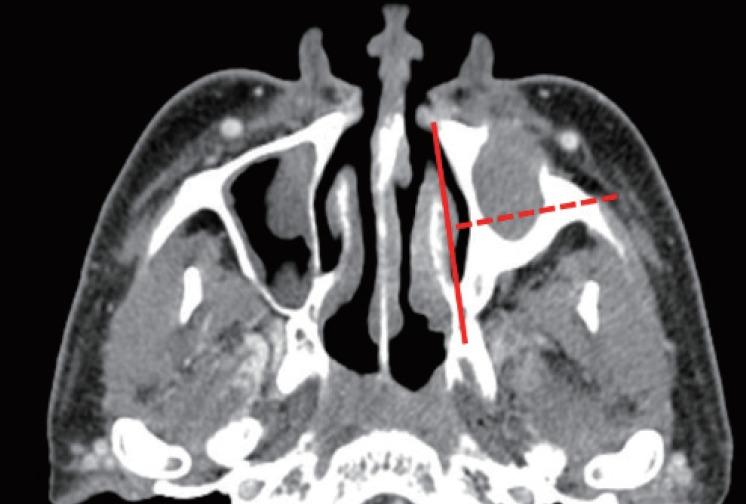
In total, 30 patients were male and 27 patients were female with a mean age of 55 years, and the patients were usually diagnosed with POCC 28.2 years after radical surgery. Endonasal endoscopic marsupialization was performed via inferior meatal antrostomy, and if possible, middle meatal antrostomy was performed at the same time. In patients with cysts that were difficult to reach using an endonasal endoscopic approach, additional open C-L approaches were performed. The median follow-up period was 19.4 months. Overall, adequate drainage and symptomatic relief were achieved in 91% (61/67) of the patients. The recurrence rate was significantly higher in patients who had anterolateral POCC. Failure to achieve symptomatic relief was correlated to a smaller cyst and the use of the open C-L approach for drainage.

CONCLUSION

The location and size of the cyst as well as the use of the open surgical approach were important factors in predicting the therapeutic outcome of POCC. The time point of treatment and surgical approaches should be based on the above-mentioned findings.

摘要
https://cdn.ncbi.nlm.nih.gov/pmc/blobs/b865/6315216/f5ea49c9554a/ceo-2018-00528f5.jpg
https://cdn.ncbi.nlm.nih.gov/pmc/blobs/b865/6315216/38573ef077a1/ceo-2018-00528f1.jpg
https://cdn.ncbi.nlm.nih.gov/pmc/blobs/b865/6315216/2db4fc5c2a01/ceo-2018-00528f2.jpg
https://cdn.ncbi.nlm.nih.gov/pmc/blobs/b865/6315216/3e97ec22fb09/ceo-2018-00528f3.jpg
https://cdn.ncbi.nlm.nih.gov/pmc/blobs/b865/6315216/8221c530b04f/ceo-2018-00528f4.jpg
https://cdn.ncbi.nlm.nih.gov/pmc/blobs/b865/6315216/f5ea49c9554a/ceo-2018-00528f5.jpg
https://cdn.ncbi.nlm.nih.gov/pmc/blobs/b865/6315216/38573ef077a1/ceo-2018-00528f1.jpg
https://cdn.ncbi.nlm.nih.gov/pmc/blobs/b865/6315216/2db4fc5c2a01/ceo-2018-00528f2.jpg
https://cdn.ncbi.nlm.nih.gov/pmc/blobs/b865/6315216/3e97ec22fb09/ceo-2018-00528f3.jpg
https://cdn.ncbi.nlm.nih.gov/pmc/blobs/b865/6315216/8221c530b04f/ceo-2018-00528f4.jpg
https://cdn.ncbi.nlm.nih.gov/pmc/blobs/b865/6315216/f5ea49c9554a/ceo-2018-00528f5.jpg

相似文献

1
Principal Clinical Factors Predicting Therapeutic Outcomes After Surgical Drainage of Postoperative Cheek Cysts: Experience From a Single Center.
Clin Exp Otorhinolaryngol. 2019 Feb;12(1):79-85. doi: 10.21053/ceo.2018.00528. Epub 2018 Sep 28.
2
Caldwell-Luc operation without inferior meatal antrostomy: a retrospective study of 50 cases.不做下鼻道开窗的柯-陆氏手术:50例回顾性研究
J Oral Maxillofac Surg. 2012 Sep;70(9):2080-4. doi: 10.1016/j.joms.2011.09.044. Epub 2011 Dec 30.
3
Endoscopic sinus surgery for inflammatory maxillary sinus disease.内镜鼻窦手术治疗炎性上颌窦疾病。
Laryngoscope. 2002 Aug;112(8 Pt 1):1378-83. doi: 10.1097/00005537-200208000-00010.
4
Inferior meatal antrostomy: is it necessary after radical sinus surgery through the Caldwell-Luc approach?下鼻道鼻窦造口术:经柯-陆氏进路行鼻窦根治术后是否有必要进行?
J Oral Maxillofac Surg. 2004 May;62(5):559-62. doi: 10.1016/j.joms.2003.07.009.
5
Long-term efficacy of inferior meatal antrostomy for treatment of postoperative maxillary mucoceles.下鼻道上颌窦造瘘术治疗上颌窦黏液囊肿术后的长期疗效
Am J Otolaryngol. 2014 Nov-Dec;35(6):727-30. doi: 10.1016/j.amjoto.2014.07.008. Epub 2014 Jul 21.
6
Transnasal inferior meatal antrostomy with a mucosal flap for post-Caldwell-Luc mucoceles in the maxillary sinus.经鼻下鼻道带黏膜瓣上颌窦造瘘术治疗上颌窦柯-陆氏手术后黏液囊肿
J Laryngol Otol. 2019 Aug;133(8):674-677. doi: 10.1017/S0022215119001233. Epub 2019 Aug 5.
7
Endoscopic sinus surgery for maxillary sinus mucoceles.上颌窦黏液囊肿的鼻内镜鼻窦手术
Head Face Med. 2006 Sep 6;2:29. doi: 10.1186/1746-160X-2-29.
8
Maxillary sinus mucoceles: clinical presentation and long-term results of endoscopic surgical treatment.上颌窦黏液囊肿:临床表现及内镜手术治疗的长期效果
Laryngoscope. 1999 Sep;109(9):1446-9. doi: 10.1097/00005537-199909000-00017.
9
[Extended inferior meatal maxillary antrostomy through inferior turbinate reversing approach for maxillary lesions].[经下鼻甲翻转入路扩大下鼻道上颌窦造瘘术治疗上颌病变]
Zhonghua Er Bi Yan Hou Tou Jing Wai Ke Za Zhi. 2014 Sep;49(9):717-20.
10
Endoscopic middle meatal antrostomy in treatment of maxillary sinus mucoceles.内镜下中鼻道上颌窦造瘘术治疗上颌窦黏液囊肿
Vojnosanit Pregl. 2009 Mar;66(3):207-11. doi: 10.2298/vsp0903207p.

本文引用的文献

1
Maxillary sinus mucocele: predisposing factors, clinical presentations, and treatment.上颌窦黏液囊肿:诱发因素、临床表现及治疗
Oral Maxillofac Surg. 2017 Mar;21(1):55-58. doi: 10.1007/s10006-016-0599-5. Epub 2016 Nov 28.
2
Transnasal endoscopic surgery of post-operative maxillary cysts.
J Laryngol Otol. 2015 Mar;129 Suppl 2:S46-51. doi: 10.1017/S0022215114002382.
3
Paranasal sinus mucocele.
Ear Nose Throat J. 2012 Jul;91(7):276-8.
4
Transnasal endoscopic marsupialization of postoperative maxillary mucoceles: middle meatal antrostomy versus inferior meatal antrostomy.
经鼻内镜上颌窦黏液囊肿造袋术:中鼻道造口术与下鼻道造口术比较。
Eur Arch Otorhinolaryngol. 2011 Nov;268(11):1583-7. doi: 10.1007/s00405-011-1636-5. Epub 2011 May 24.
5
Comparison of clinical characteristics between primary and secondary paranasal mucoceles.原发性与继发性鼻旁黏液囊肿的临床特征比较。
Yonsei Med J. 2010 Sep;51(5):735-9. doi: 10.3349/ymj.2010.51.5.735.
6
The incidence of complications after canine fossa puncture performed during endoscopic sinus surgery.内镜鼻窦手术中犬齿窝穿刺术后并发症的发生率。
Am J Rhinol. 2005 Mar-Apr;19(2):203-6.
7
Implications of endoscopic endonasal surgery for the treatment of postoperative maxillary mucoceles.鼻内镜下手术治疗上颌窦黏液囊肿术后的意义
ORL J Otorhinolaryngol Relat Spec. 2000 Jan-Feb;62(1):43-8. doi: 10.1159/000027714.
8
Maxillary sinus mucoceles: clinical presentation and long-term results of endoscopic surgical treatment.上颌窦黏液囊肿:临床表现及内镜手术治疗的长期效果
Laryngoscope. 1999 Sep;109(9):1446-9. doi: 10.1097/00005537-199909000-00017.
9
Complications of the Caldwell-Luc operation and how to avoid them.
Aust N Z J Surg. 1995 Aug;65(8):582-4. doi: 10.1111/j.1445-2197.1995.tb01700.x.
10
[Endoscopic endonasal surgery for postoperative maxillary cyst].
Nihon Jibiinkoka Gakkai Kaiho. 1995 Jun;98(6):984-8. doi: 10.3950/jibiinkoka.98.984.