Suppr超能文献

Acquired hemophilia A developing cerebral infarction 36 days after the frequent administration of bypass hemostatic agents.

作者信息

Saito Makoto, Senjo Hajime, Kanaya Minoru, Izumiyama Koh, Mori Akio, Tanaka Masanori, Morioka Masanobu, Ieko Masahiro

机构信息

Department of Internal Medicine and Hematology, Aiiku Hospital.

Department of Internal Medicine, Health Sciences University of Hokkaido, Japan.

出版信息

Hematol Rep. 2018 Sep 5;10(3):7453. doi: 10.4081/hr.2018.7453.

Abstract

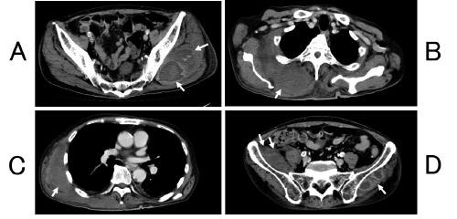
A 74-years-old male who was a smoker and received treatment for hypertension, dyslipidemia, peripheral arterial disease and idiopathic interstitial pneumonia complained of subcutaneous hemorrhage of the right lower thigh. Marked anemia (hemoglobin 5.5 g/dL) and prolonged activated partial thromboplastin time (≥130 seconds) were noted. The factor VIII activity level was reduced to 1.2%, and the factor VIII inhibitor titer was 285.3 BU/mL, a diagnosis of acquired hemophilia A (AHA) was made. Then, hematomas of 5 intra-muscles were recurred. Hemostasis became difficult despite frequent and high-dose administration of recombinant human coagulation factor VIIa (total: 18 days, 305 mg). Hemostasis was achieved by switching to activated prothrombin complex concentrate (for 3 days, 18,000 units), however, cerebral infarction occurred after 36 days. After the frequent administration of bypass hemostatic agents on elderly AHA patients with several risk factors for ischemic stroke, the risk of subsequent thrombotic events may persist for 1 month.

摘要
https://cdn.ncbi.nlm.nih.gov/pmc/blobs/03b9/6151351/44a8259255e1/hr-10-3-7453-g001.jpg

文献AI研究员

20分钟写一篇综述,助力文献阅读效率提升50倍。

立即体验

用中文搜PubMed

大模型驱动的PubMed中文搜索引擎

马上搜索

文档翻译

学术文献翻译模型,支持多种主流文档格式。

立即体验