Suppr超能文献

62岁男性因严重继发性甲状旁腺功能亢进导致尿毒症性骨狮面症。

Sixty-Two-Year-Old Male Suffering From Uremic Leontiasis Ossea Caused by Severe Secondary Hyperparathyroidism.

作者信息

Purrunsing Yogendranath, Zhang Jingjing, Cui Ying, Liu Wei, Xu Yi, Hong Xunning, Xing Changying, Zha Xiaoming, Wang Ningning

机构信息

Department of Nephrology First Affiliated Hospital with Nanjing Medical University Nanjing Jiangsu Province People's Republic of China.

Department of Nuclear Medicine First Affiliated Hospital with Nanjing Medical University Nanjing Jiangsu Province People's Republic of China.

出版信息

JBMR Plus. 2018 Mar 30;2(4):240-245. doi: 10.1002/jbm4.10038. eCollection 2018 Jul.

Abstract

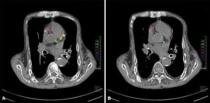
Secondary hyperparathyroidism (SHPT) is a long-term complication of chronic kidney disease-mineral and bone disorder (CKD-MBD). SHPT is characterized by hyperplasia of the parathyroid glands and abnormal secretion of parathyroid hormones (PTH), calcium and phosphorous metabolic disorders, renal osteodystrophy, vascular and soft tissue calcification, malnutrition, and other multiple system complications, which can seriously affect the quality of life of the patient and increase the risk of cardiovascular disease and mortality rate. Uremic leontiasis ossea (ULO) is a medical condition only rarely encountered clinically. SHPT causes craniofacial bone deformity accompanied by lesions of the nerve, cardiovascular, respiratory, bone, or other systems within the body. The case discussed here is related to severe SHPT. A 62-year-old male patient was suffering from leontiasis ossea, pectus excavatum, vascular calcification, spontaneous bone fractures, and lower limb deformities. He was undergoing hemodialysis and given total parathyroidectomy (TPTX) with autotransplantation (AT). We further analyzed the multivariate therapeutic effects of TPTX on this patient in order to provide clinical data for standardized treatment of individuals with CKD-MBD.

摘要

继发性甲状旁腺功能亢进(SHPT)是慢性肾脏病 - 矿物质和骨异常(CKD - MBD)的一种长期并发症。SHPT的特征是甲状旁腺增生以及甲状旁腺激素(PTH)分泌异常、钙和磷代谢紊乱、肾性骨营养不良、血管和软组织钙化、营养不良以及其他多系统并发症,这些会严重影响患者的生活质量,并增加心血管疾病风险和死亡率。尿毒症性骨性狮面(ULO)是一种临床上很少遇到的病症。SHPT会导致颅面骨畸形,并伴有体内神经、心血管、呼吸、骨骼或其他系统的病变。这里讨论的病例与严重的SHPT有关。一名62岁男性患者患有骨性狮面、漏斗胸、血管钙化、自发性骨折和下肢畸形。他正在接受血液透析,并接受了甲状旁腺全切术(TPTX)及自体移植(AT)。我们进一步分析了TPTX对该患者的多变量治疗效果,以便为CKD - MBD患者的标准化治疗提供临床数据。

https://cdn.ncbi.nlm.nih.gov/pmc/blobs/3fd6/6124177/b4d950b787da/JBM4-2-240-g001.jpg

文献AI研究员

20分钟写一篇综述,助力文献阅读效率提升50倍。

立即体验

用中文搜PubMed

大模型驱动的PubMed中文搜索引擎

马上搜索

文档翻译

学术文献翻译模型,支持多种主流文档格式。

立即体验