Suppr超能文献

围产期低磷酸酯酶症的鉴别诊断:放射学观点

Differential diagnosis of perinatal hypophosphatasia: radiologic perspectives.

作者信息

Offiah Amaka C, Vockley Jerry, Munns Craig F, Murotsuki Jun

机构信息

Academic Unit of Child Health, Sheffield Children's NHS Foundation Trust, University of Sheffield, Western Bank, Sheffield, S10 2TH, UK.

School of Medicine and Children's Hospital of Pittsburgh, University of Pittsburgh, Pittsburgh, PA, USA.

出版信息

Pediatr Radiol. 2019 Jan;49(1):3-22. doi: 10.1007/s00247-018-4239-0. Epub 2018 Oct 3.

Abstract

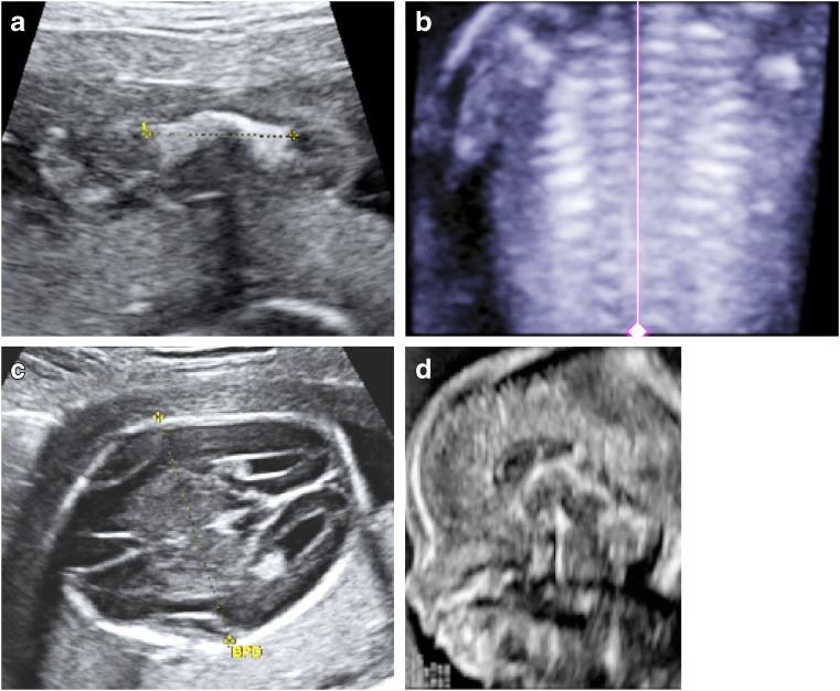
Perinatal hypophosphatasia (HPP) is a rare, potentially life-threatening, inherited, systemic metabolic bone disease that can be difficult to recognize in utero and postnatally. Diagnosis is challenging because of the large number of skeletal dysplasias with overlapping clinical features. This review focuses on the role of fetal and neonatal imaging modalities in the differential diagnosis of perinatal HPP from other skeletal dysplasias (e.g., osteogenesis imperfecta, campomelic dysplasia, achondrogenesis subtypes, hypochondrogenesis, cleidocranial dysplasia). Perinatal HPP is associated with a broad spectrum of imaging findings that are characteristic of but do not occur in all cases of HPP and are not unique to HPP, such as shortening, bowing and angulation of the long bones, and slender, poorly ossified ribs and metaphyseal lucencies. Conversely, absent ossification of whole bones is characteristic of severe lethal HPP and is associated with very few other conditions. Certain features may help distinguish HPP from other skeletal dysplasias, such as sites of angulation of long bones, patterns of hypomineralization, and metaphyseal characteristics. In utero recognition of HPP allows for the assembly and preparation of a multidisciplinary care team before delivery and provides additional time to devise treatment strategies.

摘要

围生期低磷酸酯酶症(HPP)是一种罕见的、可能危及生命的遗传性全身性代谢性骨病,在子宫内和出生后都可能难以识别。由于大量骨骼发育异常具有重叠的临床特征,诊断具有挑战性。本综述重点关注胎儿和新生儿成像模式在围生期HPP与其他骨骼发育异常(如成骨不全、弯肢侏儒症、软骨发育不全亚型、低软骨发育不全、锁骨颅骨发育不全)的鉴别诊断中的作用。围生期HPP与一系列广泛的影像学表现相关,这些表现是HPP的特征性表现,但并非在所有HPP病例中都出现,也不是HPP所特有的,如长骨缩短、弯曲和成角,以及肋骨纤细、骨化不良和干骺端透亮区。相反,全骨无骨化是严重致死性HPP的特征,且与极少数其他病症相关。某些特征可能有助于将HPP与其他骨骼发育异常区分开来,如长骨成角部位、矿化不足模式和干骺端特征。在子宫内识别HPP可在分娩前组建和准备多学科护理团队,并为制定治疗策略提供更多时间。

https://cdn.ncbi.nlm.nih.gov/pmc/blobs/9f09/6313373/92c4a8e9c927/247_2018_4239_Fig1_HTML.jpg

文献AI研究员

20分钟写一篇综述,助力文献阅读效率提升50倍。

立即体验

用中文搜PubMed

大模型驱动的PubMed中文搜索引擎

马上搜索

文档翻译

学术文献翻译模型,支持多种主流文档格式。

立即体验