Suppr超能文献

同一已故供体移植肾早期肾动脉破裂及动脉假性动脉瘤

Early renal arterial rupture and arterial pseudoaneurysm in graft kidneys from the same deceased donor.

作者信息

Lin Yu-Hua, Liao Chun-Hou, Jiang Bing-Jun, Chen Tzu-Hung

机构信息

Division of Urology, Department of Surgery, Cardinal Tien Hospital, New Taipei, Taiwan.

Department of Urology, National Taiwan University Hospital, Taipei, Taiwan.

出版信息

Tzu Chi Med J. 2018 Oct-Dec;30(4):250-254. doi: 10.4103/tcmj.tcmj_180_17.

Abstract

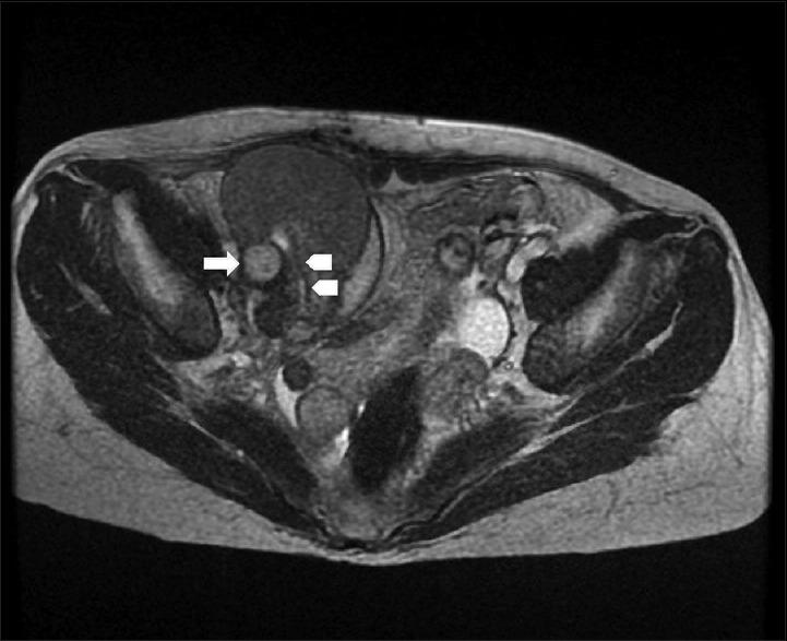
Vascular complications are serious problems after kidney transplantation. An aneurysm or rupture in a graft artery is a rare but potentially devastating complication, which may lead to renal function impairment, graft loss, or even death. In this paper, we present two rare vascular complications in the early postoperative course after renal transplantation from the same deceased donor. In the first case, a 49-year-old woman who had spontaneous graft arterial rupture 13 days after kidney transplantation presented with sudden distension in the right lower abdomen. In the second case, a 56-year-old woman recipient with a graft renal arterial pseudoaneurysm presented with decreased urine output and deteriorating renal function 32 days after transplantation. Immediate surgical repair was performed, and fibrin sealant was applied to strengthen the fragile renal arterial wall. Although the function of both graft kidneys recovered well after surgery, the first graft kidney was removed 2 months later because of repeated fungal and bacterial infections. Aggressive surgical reconstruction may preserve graft kidneys in patients with vascular complications after kidney transplantation, but recovery of the graft condition remains a demanding challenge in renal transplantation.

摘要

血管并发症是肾移植术后的严重问题。移植肾动脉的动脉瘤或破裂是一种罕见但可能具有毁灭性的并发症,可能导致肾功能损害、移植肾丧失,甚至死亡。在本文中,我们呈现了来自同一已故供体的肾移植术后早期出现的两例罕见血管并发症。第一例中,一名49岁女性在肾移植术后13天出现移植肾动脉自发性破裂,表现为右下腹突然膨隆。第二例中,一名56岁女性受者在移植术后32天出现移植肾动脉假性动脉瘤,表现为尿量减少和肾功能恶化。立即进行了手术修复,并应用纤维蛋白密封剂加固脆弱的肾动脉壁。尽管两个移植肾在术后功能恢复良好,但由于反复发生真菌和细菌感染,第一个移植肾在2个月后被切除。积极的手术重建可能使肾移植术后出现血管并发症的患者保留移植肾,但移植肾状况的恢复在肾移植中仍然是一项艰巨的挑战。

https://cdn.ncbi.nlm.nih.gov/pmc/blobs/c4f9/6172893/6e49da9cf756/TCMJ-30-250-g001.jpg

相似文献

1
Early renal arterial rupture and arterial pseudoaneurysm in graft kidneys from the same deceased donor.
Tzu Chi Med J. 2018 Oct-Dec;30(4):250-254. doi: 10.4103/tcmj.tcmj_180_17.
2
Mycotic Pseudoaneurysm After Kidney Transplantation: Two Case Reports.
Transplant Proc. 2017 May;49(4):906-912. doi: 10.1016/j.transproceed.2017.01.052.
4
[Pseudoaneurysm after renal transplantation].
Acta Med Croatica. 2008;62 Suppl 1:86-9.
5
Renal artery aneurysm at the anastomosis after kidney transplantation.
Transplant Proc. 2006 Nov;38(9):2915-8. doi: 10.1016/j.transproceed.2006.08.115.
7
Endovascular repair of descending thoracic aortic aneurysm: an evidence-based analysis.
Ont Health Technol Assess Ser. 2005;5(18):1-59. Epub 2005 Nov 1.
10
Anastomotic Pseudoaneurysm in Kidney Transplant: A Challenging Management for a Rare Entity.
J Endovasc Ther. 2024 Feb;31(1):140-145. doi: 10.1177/15266028221107882. Epub 2022 Jul 2.

引用本文的文献

2
Management of Transplant Renal Artery Pseudoaneurysm and Literature Review.
Case Rep Transplant. 2022 Jun 11;2022:6232586. doi: 10.1155/2022/6232586. eCollection 2022.

本文引用的文献

3
Endovascular repair of delayed giant iliac pseudoaneurysm following simultaneous pancreas-kidney transplantation with preserved allografts function.
J Cardiovasc Surg (Torino). 2019 Aug;60(4):514-517. doi: 10.23736/S0021-9509.16.08790-5. Epub 2015 Oct 27.
5
Endovascular Repair of Renal Artery Anastomotic Pseudoaneurysm Following Living Donor Kidney Transplant.
Cardiovasc Intervent Radiol. 2015 Dec;38(6):1640-4. doi: 10.1007/s00270-015-1136-x. Epub 2015 Jun 3.
6
Candida arteritis in kidney transplant recipients: case report and review of the literature.
Transpl Infect Dis. 2015 Jun;17(3):449-55. doi: 10.1111/tid.12388. Epub 2015 May 26.
7
Presentation and management of mycotic pseudoaneurysm after kidney transplantation.
Transpl Infect Dis. 2015 Feb;17(1):129-36. doi: 10.1111/tid.12346. Epub 2015 Jan 13.
8
9
Endovascular repair of a transplant renal artery anastomotic pseudoaneurysm using the snorkel technique.
J Vasc Surg. 2014 Oct;60(4):1052-5. doi: 10.1016/j.jvs.2013.07.016. Epub 2013 Aug 28.

文献AI研究员

20分钟写一篇综述,助力文献阅读效率提升50倍。

立即体验

用中文搜PubMed

大模型驱动的PubMed中文搜索引擎

马上搜索

文档翻译

学术文献翻译模型,支持多种主流文档格式。

立即体验