• 文献检索
  • 文档翻译
  • 深度研究
  • 学术资讯
  • Suppr Zotero 插件Zotero 插件
  • 邀请有礼
  • 套餐&价格
  • 历史记录
应用&插件
Suppr Zotero 插件Zotero 插件浏览器插件Mac 客户端Windows 客户端微信小程序
定价
高级版会员购买积分包购买API积分包
服务
文献检索文档翻译深度研究API 文档MCP 服务
关于我们
关于 Suppr公司介绍联系我们用户协议隐私条款
关注我们

Suppr 超能文献

核心技术专利:CN118964589B侵权必究
粤ICP备2023148730 号-1Suppr @ 2026

文献检索

告别复杂PubMed语法,用中文像聊天一样搜索,搜遍4000万医学文献。AI智能推荐,让科研检索更轻松。

立即免费搜索

文件翻译

保留排版,准确专业,支持PDF/Word/PPT等文件格式,支持 12+语言互译。

免费翻译文档

深度研究

AI帮你快速写综述,25分钟生成高质量综述,智能提取关键信息,辅助科研写作。

立即免费体验

单价非洲马瘟病毒(AHSV)VP2 疫苗在小鼠模型中可提供完全的临床保护。

A single dose of African horse sickness virus (AHSV) VP2 based vaccines provides complete clinical protection in a mouse model.

机构信息

Department of Biological & Medical Sciences, Oxford Brookes University, Oxford OX3 0BP, UK; Oxford Expression Technologies Ltd, Gipsy Lane, Oxford OX3 0BP, UK; The Pirbright Institute, Ash Road, Woking, Surrey GU24 0NB, UK.

CISA-INIA, Valdeolmos, Madrid, Spain.

出版信息

Vaccine. 2018 Nov 12;36(46):7003-7010. doi: 10.1016/j.vaccine.2018.09.065. Epub 2018 Oct 8.

DOI:10.1016/j.vaccine.2018.09.065
PMID:30309744
原文链接:https://pmc.ncbi.nlm.nih.gov/articles/PMC6219453/
Abstract

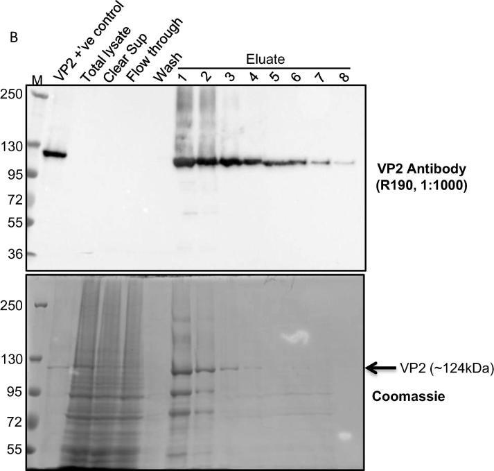
African horse sickness is a severe, often fatal, arboviral disease of equids. The control of African horse sickness virus (AHSV) in endemic countries is based currently on the use of live attenuated vaccines despite some biosafety concerns derived from its biological properties. Thus, experimental vaccination platforms have been developed over the years in order to avoid the biosafety concerns associated with the use of attenuated vaccines. Various studies showed that baculovirus-expressed AHSV-VP2 or modified Vaccinia Ankara virus expressing AHSV-VP2 (MVA-VP2) induced virus neutralising antibodies and protective immunity in small animals and horses. AHSV is an antigenically diverse pathogen and immunity against AHS is serotype-specific. Therefore, AHS vaccines for use in endemic countries need to induce an immune response capable of protecting against all existing serotypes. For this reason, current live attenuated vaccines are administered as polyvalent preparations comprising combinations of AHSV attenuated strains of different serotypes. Previous studies have shown that it is possible to induce cross-reactive virus neutralising antibodies against different serotypes of AHSV by using polyvalent vaccines comprising combinations of either different serotype-specific VP2 proteins, or MVA-VP2 viruses. However, these strategies could be difficult to implement if induction of protective immunity is highly dependent on using a two-dose vaccination regime for each serotype the vaccine intends to protect against. In our study, we have tested the protective capacity of MVA-VP2 and baculovirus-expressed VP2 vaccines when a single dose was used. Groups of interferon alpha receptor knock-out mice were inoculated with either MVA-VP2 or baculovirus-expressed VP2 vaccines using one dose or the standard two-dose vaccination regime. After vaccination, all four vaccinated groups were challenged with AHSV and clinical responses, lethality and viraemia compared between the groups. Our results show that complete clinical protection was achieved after a single vaccination with either MVA-VP2 or baculovirus sub-unit VP2 vaccines.

摘要

非洲马瘟是一种严重的、常致命的马属动物虫媒病毒病。目前,在流行国家控制非洲马瘟病毒(AHSV)的方法是使用减毒活疫苗,尽管其生物特性带来了一些生物安全方面的担忧。因此,多年来已经开发了实验性疫苗接种平台,以避免与使用减毒疫苗相关的生物安全问题。各种研究表明,杆状病毒表达的 AHSV-VP2 或表达 AHSV-VP2 的改良安卡拉痘苗病毒(MVA-VP2)可在小动物和马中诱导病毒中和抗体和保护免疫。AHSV 是一种抗原多样性病原体,对 AHS 的免疫是血清型特异性的。因此,用于流行国家的 AHS 疫苗需要诱导能够针对所有现有血清型的免疫反应。出于这个原因,目前的减毒活疫苗作为多价制剂使用,其中包含不同血清型的 AHSV 减毒株的组合。以前的研究表明,通过使用包含不同血清型特异性 VP2 蛋白组合的多价疫苗,或 MVA-VP2 病毒,可以诱导针对不同血清型 AHSV 的交叉反应性病毒中和抗体。然而,如果诱导保护免疫高度依赖于针对疫苗打算保护的每种血清型使用两剂免疫接种方案,这些策略可能难以实施。在我们的研究中,我们测试了单次使用 MVA-VP2 和杆状病毒表达 VP2 疫苗的保护能力。用 MVA-VP2 或杆状病毒表达 VP2 疫苗对一组干扰素-α受体敲除小鼠进行单剂量或标准两剂量接种。接种后,所有四组接种疫苗的小鼠均用 AHSV 攻毒,并比较组间的临床反应、死亡率和病毒血症。我们的结果表明,单次接种 MVA-VP2 或杆状病毒亚单位 VP2 疫苗均可完全临床保护。

https://cdn.ncbi.nlm.nih.gov/pmc/blobs/69c0/6219453/b4ff3f39a78f/gr2.jpg
https://cdn.ncbi.nlm.nih.gov/pmc/blobs/69c0/6219453/881acd97807b/gr1a.jpg
https://cdn.ncbi.nlm.nih.gov/pmc/blobs/69c0/6219453/8162d15a737b/gr1b.jpg
https://cdn.ncbi.nlm.nih.gov/pmc/blobs/69c0/6219453/b4f900b010db/gr1c.jpg
https://cdn.ncbi.nlm.nih.gov/pmc/blobs/69c0/6219453/b4ff3f39a78f/gr2.jpg
https://cdn.ncbi.nlm.nih.gov/pmc/blobs/69c0/6219453/881acd97807b/gr1a.jpg
https://cdn.ncbi.nlm.nih.gov/pmc/blobs/69c0/6219453/8162d15a737b/gr1b.jpg
https://cdn.ncbi.nlm.nih.gov/pmc/blobs/69c0/6219453/b4f900b010db/gr1c.jpg
https://cdn.ncbi.nlm.nih.gov/pmc/blobs/69c0/6219453/b4ff3f39a78f/gr2.jpg

相似文献

1
A single dose of African horse sickness virus (AHSV) VP2 based vaccines provides complete clinical protection in a mouse model.单价非洲马瘟病毒(AHSV)VP2 疫苗在小鼠模型中可提供完全的临床保护。
Vaccine. 2018 Nov 12;36(46):7003-7010. doi: 10.1016/j.vaccine.2018.09.065. Epub 2018 Oct 8.
2
Vaccination with recombinant Modified Vaccinia Ankara (MVA) viruses expressing single African horse sickness virus VP2 antigens induced cross-reactive virus neutralising antibodies (VNAb) in horses when administered in combination.用表达单一非洲马瘟病毒VP2抗原的重组改良安卡拉痘苗(MVA)病毒进行疫苗接种时,联合给药可在马体内诱导产生交叉反应性病毒中和抗体(VNAb)。
Vaccine. 2017 Oct 20;35(44):6024-6029. doi: 10.1016/j.vaccine.2017.04.005. Epub 2017 Apr 21.
3
The immunogenicity of recombinant vaccines based on modified Vaccinia Ankara (MVA) viruses expressing African horse sickness virus VP2 antigens depends on the levels of expressed VP2 protein delivered to the host.基于表达非洲马瘟病毒 VP2 抗原的改良安卡拉痘苗病毒(MVA)的重组疫苗的免疫原性取决于递送到宿主的表达 VP2 蛋白的水平。
Antiviral Res. 2018 Jun;154:132-139. doi: 10.1016/j.antiviral.2018.04.015. Epub 2018 Apr 18.
4
Vaccination of mice with a modified Vaccinia Ankara (MVA) virus expressing the African horse sickness virus (AHSV) capsid protein VP2 induces virus neutralising antibodies that confer protection against AHSV upon passive immunisation.给小鼠接种表达非洲马瘟病毒(AHSV)衣壳蛋白 VP2 的改良安卡拉痘苗病毒(MVA)可诱导产生病毒中和抗体,这些抗体在被动免疫时可提供针对 AHSV 的保护。
Virus Res. 2014 Feb 13;180:23-30. doi: 10.1016/j.virusres.2013.12.002. Epub 2013 Dec 12.
5
Vaccination of horses with a recombinant modified vaccinia Ankara virus (MVA) expressing African horse sickness (AHS) virus major capsid protein VP2 provides complete clinical protection against challenge.用表达非洲马瘟(AHS)病毒主要衣壳蛋白VP2的重组改良安卡拉痘苗病毒(MVA)对马匹进行疫苗接种,可提供针对攻毒的完全临床保护。
Vaccine. 2014 Jun 17;32(29):3670-4. doi: 10.1016/j.vaccine.2014.04.036. Epub 2014 May 14.
6
Antiserum from mice vaccinated with modified vaccinia Ankara virus expressing African horse sickness virus (AHSV) VP2 provides protection when it is administered 48h before, or 48h after challenge.用表达非洲马瘟病毒(AHSV)VP2的改良安卡拉痘苗病毒免疫的小鼠所产生的抗血清,在攻毒前48小时或攻毒后48小时给予时可提供保护。
Antiviral Res. 2015 Apr;116:27-33. doi: 10.1016/j.antiviral.2015.01.009. Epub 2015 Jan 30.
7
VP2 Exchange and NS3/NS3a Deletion in African Horse Sickness Virus (AHSV) in Development of Disabled Infectious Single Animal Vaccine Candidates for AHSV.用于非洲马瘟病毒(AHSV)的失活感染性单动物疫苗候选物研发中AHSV的VP2交换和NS3/NS3a缺失
J Virol. 2015 Sep;89(17):8764-72. doi: 10.1128/JVI.01052-15. Epub 2015 Jun 10.
8
Cross-protective immune responses against African horse sickness virus after vaccination with protein NS1 delivered by avian reovirus muNS microspheres and modified vaccinia virus Ankara.接种禽呼肠孤病毒 μNS 微球和改良安卡拉痘苗病毒传递的非洲马瘟病毒蛋白 NS1 后对非洲马瘟病毒的交叉保护免疫反应。
Vaccine. 2020 Jan 22;38(4):882-889. doi: 10.1016/j.vaccine.2019.10.087. Epub 2019 Nov 7.
9
A modified vaccinia Ankara virus (MVA) vaccine expressing African horse sickness virus (AHSV) VP2 protects against AHSV challenge in an IFNAR -/- mouse model.一种表达非洲马瘟病毒(AHSV)VP2 的改良安卡拉痘苗病毒(MVA)疫苗可在 IFNAR-/- 小鼠模型中预防 AHSV 挑战。
PLoS One. 2011 Jan 26;6(1):e16503. doi: 10.1371/journal.pone.0016503.
10
Induction of antibody responses to African horse sickness virus (AHSV) in ponies after vaccination with recombinant modified vaccinia Ankara (MVA).用重组改良安卡拉痘苗病毒(MVA)对小马进行疫苗接种后诱导其对非洲马瘟病毒(AHSV)产生抗体反应。
PLoS One. 2009 Jun 22;4(6):e5997. doi: 10.1371/journal.pone.0005997.

引用本文的文献

1
Development of an African horse sickness VP6 DIVA diagnostic ELISA.一种非洲马瘟病毒VP6鉴别诊断ELISA的开发。
Virol J. 2025 Aug 12;22(1):276. doi: 10.1186/s12985-025-02898-1.
2
Rapid Development of Modified Vaccinia Virus Ankara (MVA)-Based Vaccine Candidates Against Marburg Virus Suitable for Clinical Use in Humans.基于安卡拉痘苗病毒(MVA)的抗马尔堡病毒候选疫苗的快速研发,适用于人类临床应用。
Vaccines (Basel). 2024 Nov 24;12(12):1316. doi: 10.3390/vaccines12121316.
3
Identification and Characterization of Linear Epitopes of Monoclonal Antibodies Against African Horse Sickness Virus Serotype 1 VP2 Protein.

本文引用的文献

1
The immunogenicity of recombinant vaccines based on modified Vaccinia Ankara (MVA) viruses expressing African horse sickness virus VP2 antigens depends on the levels of expressed VP2 protein delivered to the host.基于表达非洲马瘟病毒 VP2 抗原的改良安卡拉痘苗病毒(MVA)的重组疫苗的免疫原性取决于递送到宿主的表达 VP2 蛋白的水平。
Antiviral Res. 2018 Jun;154:132-139. doi: 10.1016/j.antiviral.2018.04.015. Epub 2018 Apr 18.
2
Single Dose of Consensus Hemagglutinin-Based Virus-Like Particles Vaccine Protects Chickens against Divergent H5 Subtype Influenza Viruses.单剂量基于血凝素的共识病毒样颗粒疫苗可保护鸡免受不同H5亚型流感病毒的侵害。
Front Immunol. 2017 Nov 27;8:1649. doi: 10.3389/fimmu.2017.01649. eCollection 2017.
3
鉴定和分析抗 1 型非洲马瘟病毒 VP2 蛋白单克隆抗体的线性表位。
Viruses. 2024 Nov 15;16(11):1780. doi: 10.3390/v16111780.
4
Immunogenic profile of a plant-produced nonavalent African horse sickness viral protein 2 (VP2) vaccine in IFNAR-/- mice.在 IFNAR-/- 小鼠中植物生产的九价非洲马瘟病毒蛋白 2(VP2)疫苗的免疫原性特征。
PLoS One. 2024 Apr 16;19(4):e0301340. doi: 10.1371/journal.pone.0301340. eCollection 2024.
5
Pathological features of African horse sickness virus infection in IFNAR mice.干扰素α/β受体基因敲除小鼠感染非洲马瘟病毒后的病理特征
Front Vet Sci. 2023 Mar 30;10:1114240. doi: 10.3389/fvets.2023.1114240. eCollection 2023.
6
Development of Differentiating Infected from Vaccinated Animals (DIVA) Real-Time PCR for African Horse Sickness Virus Serotype 1.非洲马瘟病毒血清型 1 鉴别感染动物和疫苗接种动物(DIVA)实时 PCR 的研制。
Emerg Infect Dis. 2022 Dec;28(12):2446-2454. doi: 10.3201/eid2812.220594.
7
Orally Administrated Recombinant Vaccinia Virus Displaying ROP4 Induces Protection against Challenge Infection.口服表达ROP4的重组痘苗病毒可诱导对攻毒感染的保护作用。
Vaccines (Basel). 2022 Jan 20;10(2):152. doi: 10.3390/vaccines10020152.
8
Transboundary Animal Diseases, an Overview of 17 Diseases with Potential for Global Spread and Serious Consequences.跨界动物疾病:17种可能全球传播并造成严重后果的疾病概述
Animals (Basel). 2021 Jul 8;11(7):2039. doi: 10.3390/ani11072039.
9
African horse sickness in Thailand: Challenges of controlling an outbreak by vaccination.泰国的非洲马瘟:通过疫苗接种控制疫情的挑战
Equine Vet J. 2021 Jan;53(1):9-14. doi: 10.1111/evj.13353. Epub 2020 Oct 2.
10
Reverse genetics approaches: a novel strategy for African horse sickness virus vaccine design.反向遗传学方法:非洲马瘟病毒疫苗设计的一种新策略。
Curr Opin Virol. 2020 Oct;44:49-56. doi: 10.1016/j.coviro.2020.06.003. Epub 2020 Jul 10.
Single-Dose Trivalent VesiculoVax Vaccine Protects Macaques from Lethal Ebolavirus and Marburgvirus Challenge.
单价三价囊泡疫苗可保护猕猴免受致命埃博拉病毒和马尔堡病毒的挑战。
J Virol. 2018 Jan 17;92(3). doi: 10.1128/JVI.01190-17. Print 2018 Feb 1.
4
A single dose of the novel chimeric subunit vaccine E2-CD154 confers early full protection against classical swine fever virus.单剂量新型嵌合亚单位疫苗E2-CD154可对经典猪瘟病毒提供早期完全保护。
Vaccine. 2017 Aug 3;35(34):4437-4443. doi: 10.1016/j.vaccine.2017.05.028. Epub 2017 Jul 5.
5
Protective efficacy of multivalent replication-abortive vaccine strains in horses against African horse sickness virus challenge.多价复制缺陷型疫苗株对马抵抗非洲马瘟病毒攻击的保护效力。
Vaccine. 2017 Jul 24;35(33):4262-4269. doi: 10.1016/j.vaccine.2017.06.023. Epub 2017 Jun 29.
6
Vaccination with recombinant Modified Vaccinia Ankara (MVA) viruses expressing single African horse sickness virus VP2 antigens induced cross-reactive virus neutralising antibodies (VNAb) in horses when administered in combination.用表达单一非洲马瘟病毒VP2抗原的重组改良安卡拉痘苗(MVA)病毒进行疫苗接种时,联合给药可在马体内诱导产生交叉反应性病毒中和抗体(VNAb)。
Vaccine. 2017 Oct 20;35(44):6024-6029. doi: 10.1016/j.vaccine.2017.04.005. Epub 2017 Apr 21.
7
Structural Protein VP2 of African Horse Sickness Virus Is Not Essential for Virus Replication In Vitro.非洲马瘟病毒的结构蛋白VP2对体外病毒复制并非必需。
J Virol. 2017 Jan 31;91(4). doi: 10.1128/JVI.01328-16. Print 2017 Feb 15.
8
African Horse Sickness Caused by Genome Reassortment and Reversion to Virulence of Live, Attenuated Vaccine Viruses, South Africa, 2004-2014.2004 - 2014年南非由基因组重配和减毒活疫苗病毒毒力返强导致的非洲马瘟
Emerg Infect Dis. 2016 Dec;22(12):2087-2096. doi: 10.3201/eid2212.160718. Epub 2016 Dec 15.
9
Requirements and comparative analysis of reverse genetics for bluetongue virus (BTV) and African horse sickness virus (AHSV).蓝舌病病毒(BTV)和非洲马瘟病毒(AHSV)反向遗传学的要求及比较分析
Virol J. 2016 Jul 2;13:119. doi: 10.1186/s12985-016-0574-7.
10
Assembly of Replication-Incompetent African Horse Sickness Virus Particles: Rational Design of Vaccines for All Serotypes.无复制能力的非洲马瘟病毒颗粒的组装:针对所有血清型的疫苗合理设计
J Virol. 2016 Jul 27;90(16):7405-7414. doi: 10.1128/JVI.00548-16. Print 2016 Aug 15.