20分钟写一篇综述,助力文献阅读效率提升50倍。
大模型驱动的PubMed中文搜索引擎
学术文献翻译模型,支持多种主流文档格式。
Katano Takuma, Hagiwara Eri, Ikeda Satoshi, Ogura Takashi
Department of Respiratory Medicine, Kanagawa Cardiovascular and Respiratory Center, Japan.
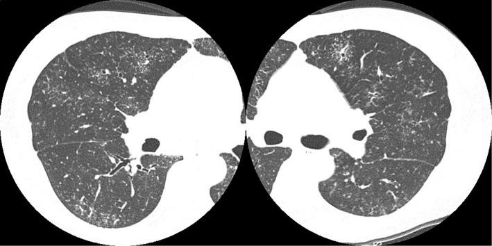
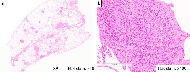
Intern Med. 2019 Feb 15;58(4):617-618. doi: 10.2169/internalmedicine.1281-18. Epub 2018 Oct 17.