Suppr超能文献

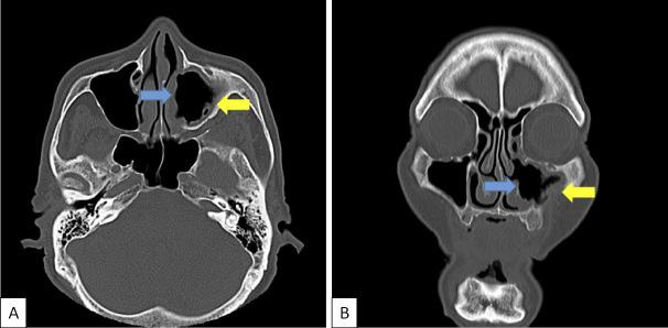
Post-trauma Mycobacterium avium chronic Rhinosinusitis Mimicking a Neoplasm.

作者信息

Okimoto Tamio, Shimizu Yasuhiko, Nagase Mamiko, Isobe Takeshi

机构信息

Department of Internal Medicine, Division of Medical Oncology and Respiratory Medicine, Shimane University Faculty of Medicine, Japan.

Department of Otorhinolaryngology, Shimane University Faculty of Medicine, Japan.

出版信息

Intern Med. 2019 Mar 1;58(5):761-762. doi: 10.2169/internalmedicine.1600-18. Epub 2018 Oct 17.

Abstract
摘要
https://cdn.ncbi.nlm.nih.gov/pmc/blobs/6dba/6443559/d2529fd44372/1349-7235-58-0761-g001.jpg

相似文献

1
Post-trauma Mycobacterium avium chronic Rhinosinusitis Mimicking a Neoplasm.
Intern Med. 2019 Mar 1;58(5):761-762. doi: 10.2169/internalmedicine.1600-18. Epub 2018 Oct 17.
3
Mycobacterium avium-avium-associated typhlitis mimicking appendicitis in an immunocompetent host.
Am J Med Sci. 2009 Mar;337(3):218-20. doi: 10.1097/MAJ.0b013e31818457a3.
6
[Mycobacterium avium tumoral infection mimicking a lung adenocarcinoma: A potential diagnostic pitfall].
Rev Pneumol Clin. 2016 Apr;72(2):147-51. doi: 10.1016/j.pneumo.2015.08.003. Epub 2015 Dec 2.
9
Inhibition of maturation of human monocyte-derived dendritic cells in a patient with Mycobacterium avium infection.
Int J Immunopathol Pharmacol. 2006 Apr-Jun;19(2):391-7. doi: 10.1177/039463200601900215.
10
Atypical mycobacterium detection in refractory chronic rhinosinusitis.
Otolaryngol Head Neck Surg. 2012 Jun;146(6):1012-6. doi: 10.1177/0194599812437333. Epub 2012 Feb 2.

本文引用的文献

1
Nontuberculous Mycobacteria in household plumbing as possible cause of chronic rhinosinusitis.
Emerg Infect Dis. 2012 Oct;18(10):1612-7. doi: 10.3201/eid1810.120164.
2
Identification and treatment of nontuberculous Mycobacterium sinusitis.
Am J Rhinol Allergy. 2011 Nov-Dec;25(6):421-4. doi: 10.2500/ajra.2011.25.3677.

文献AI研究员

20分钟写一篇综述,助力文献阅读效率提升50倍。

立即体验

用中文搜PubMed

大模型驱动的PubMed中文搜索引擎

马上搜索

文档翻译

学术文献翻译模型,支持多种主流文档格式。

立即体验