Suppr超能文献

一名31个月大婴儿右位异构情况下的复杂先天性心脏畸形:病例报告

Complex congenital cardiac anomalies in the setting of right isomerism in a 31-month-old infant: a case report.

作者信息

Lyimo Frederic R, Pallangyo Pedro, Majani Naizihijwa, Mushi Theophylly L, Kubhoja Sulende

机构信息

Department of Radiology, Muhimbili National Hospital, P.O. Box, 65000, Dar es Salaam, Tanzania.

Department of Pediatrics Cardiovascular Medicine, Jakaya Kikwete Cardiac Institute, P.O. Box 65141, Dar es Salaam, Tanzania.

出版信息

J Med Case Rep. 2018 Oct 24;12(1):324. doi: 10.1186/s13256-018-1835-4.

Abstract

BACKGROUND

Congenital cardiac defects are not rare among neonates. Prompt assessment for life-threatening anomalies is essential for rapid management decisions and positive outcomes. Extracardiac anomalies can occur in congenital heart defects, and their presence increases morbidity and mortality in these neonates.

CASE PRESENTATION

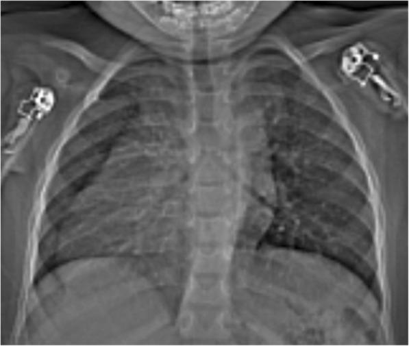
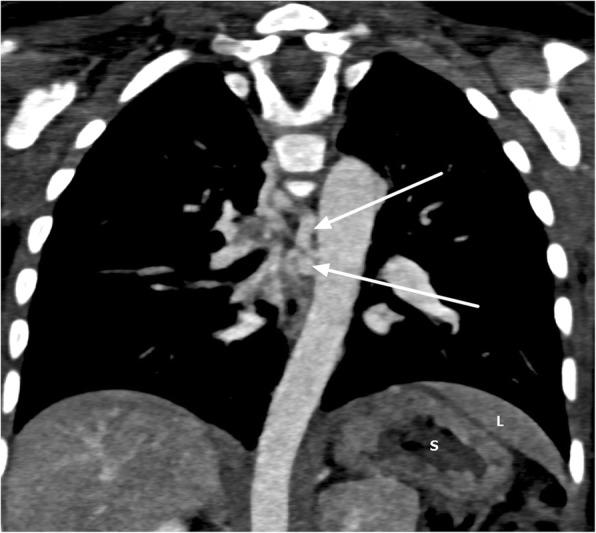
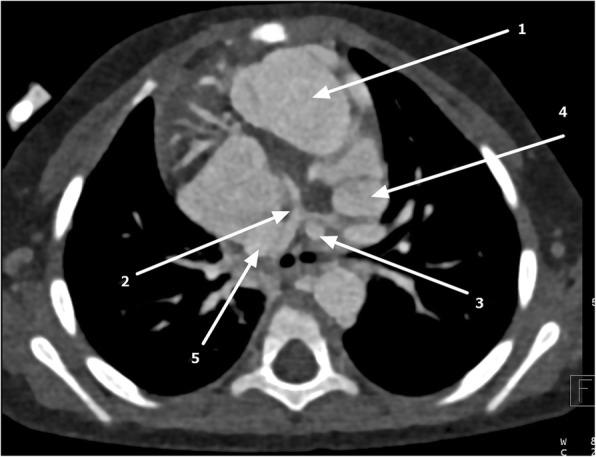
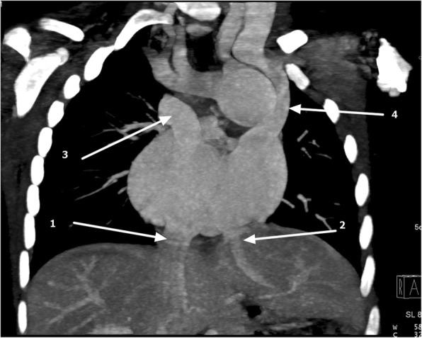
We report a case of a 31- month-old infant black girl in Tanzania who presented with an on-and-off history of difficulty in breathing, easy fatigability, facial and lower-limb swelling, recurrent respiratory tract infections, and failure to thrive.

CONCLUSIONS

Management of patients with heterotaxy syndrome is complex and largely depends on specific anatomy of both cardiac and noncardiac lesions. Cardiac and noncardiac management must be tailored to individual anatomy, including prophylaxis against encapsulated organisms for asplenic patients.

摘要

背景

先天性心脏缺陷在新生儿中并不罕见。对危及生命的异常情况进行及时评估对于快速做出管理决策和取得良好结果至关重要。先天性心脏缺陷可能伴有心外异常,这些异常的存在会增加这些新生儿的发病率和死亡率。

病例报告

我们报告了一名来自坦桑尼亚的31个月大黑人女婴的病例,该患儿有断断续续的呼吸困难、易疲劳、面部和下肢肿胀、反复呼吸道感染以及发育不良的病史。

结论

异构综合征患者的管理很复杂,很大程度上取决于心脏和非心脏病变的具体解剖结构。心脏和非心脏管理必须根据个体解剖结构进行调整,包括对无脾患者预防包膜菌感染。

https://cdn.ncbi.nlm.nih.gov/pmc/blobs/a2b5/6199716/a2faa3204a51/13256_2018_1835_Fig1_HTML.jpg

文献AI研究员

20分钟写一篇综述,助力文献阅读效率提升50倍。

立即体验

用中文搜PubMed

大模型驱动的PubMed中文搜索引擎

马上搜索

文档翻译

学术文献翻译模型,支持多种主流文档格式。

立即体验