• 文献检索
  • 文档翻译
  • 深度研究
  • 学术资讯
  • Suppr Zotero 插件Zotero 插件
  • 邀请有礼
  • 套餐&价格
  • 历史记录
应用&插件
Suppr Zotero 插件Zotero 插件浏览器插件Mac 客户端Windows 客户端微信小程序
定价
高级版会员购买积分包购买API积分包
服务
文献检索文档翻译深度研究API 文档MCP 服务
关于我们
关于 Suppr公司介绍联系我们用户协议隐私条款
关注我们

Suppr 超能文献

核心技术专利:CN118964589B侵权必究
粤ICP备2023148730 号-1Suppr @ 2026

文献检索

告别复杂PubMed语法,用中文像聊天一样搜索,搜遍4000万医学文献。AI智能推荐,让科研检索更轻松。

立即免费搜索

文件翻译

保留排版,准确专业,支持PDF/Word/PPT等文件格式,支持 12+语言互译。

免费翻译文档

深度研究

AI帮你快速写综述,25分钟生成高质量综述,智能提取关键信息,辅助科研写作。

立即免费体验

胆囊粒细胞肉瘤或髓外急性粒单核细胞白血病1例

A Case of Granulocytic Sarcoma or Extramedullary Acute Myelomonocytic Leukemia of the Gallbladder.

作者信息

Holzwanger Erik A, Alam Zainab, Hsu Emily, Hsu Andrew, Mangano Mark, Kathman Deirdre L

机构信息

Department of Internal Medicine, UMass Memorial Medical Center, Worcester, MA, USA.

Department of Pathology, Milford Regional Medical Center, Milford, MA, USA.

出版信息

Am J Case Rep. 2018 Oct 24;19:1262-1266. doi: 10.12659/AJCR.911390.

DOI:10.12659/AJCR.911390
PMID:30352989
原文链接:https://pmc.ncbi.nlm.nih.gov/articles/PMC6213823/
Abstract

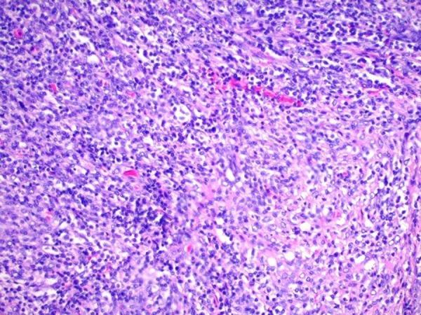
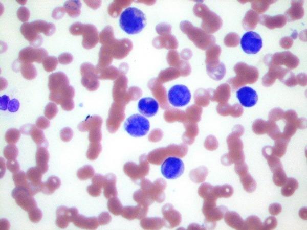
BACKGROUND Granulocytic sarcoma, or 'chloroma,' due to extramedullary acute myeloid leukemia (AML) or due to acute myelomonocytic leukemia (AML M5), is rare and is associated with a poor prognosis. This report is of a case of granulocytic sarcoma of the gallbladder and describes the approach to diagnosis and treatment. CASE REPORT A 74-year-old Hispanic woman from Ecuador presented to the emergency department with a five-day history of fever, jaundice, and right upper quadrant abdominal pain. The right upper quadrant ultrasound showed a thickened gallbladder wall with cholelithiasis, a positive sonographic Murphy sign, and marked dilatation of the common bile duct, which was up to 17 mm in diameter. Endoscopic retrograde cholangiopancreatography (ERCP) showed purulence and a stone in the common bile duct, which was removed. She underwent laparoscopic cholecystectomy which identified gangrenous cholecystitis. Despite cholecystectomy and treatment with broad-spectrum antibiotics, she remained febrile with a leukocytosis of up to 80,000 cells/µL. Histopathology of the gallbladder showed infiltrating myeloblasts within the mucosa, submucosa, and muscularis consistent with a granulocytic sarcoma associated with gangrenous cholecystitis due to cholelithiasis. Immunohistochemistry, using a panel of antibodies to CD33, CD68, HLA-DR, and lysozyme, supported the diagnosis of granulocytic sarcoma or extramedullary acute myelomonocytic leukemia (AML M5). CONCLUSIONS A rare case of an extramedullary hematologic malignancy, granulocytic sarcoma of the gallbladder is presented, which highlights the importance of timely diagnosis and treatment, due to the high mortality rate associated with granulocytic sarcoma, or extramedullary AML.

摘要

背景

由髓外急性髓系白血病(AML)或急性粒单核细胞白血病(AML M5)引起的粒细胞肉瘤,即“绿色瘤”,较为罕见,且预后较差。本报告介绍了一例胆囊粒细胞肉瘤病例,并描述了其诊断和治疗方法。病例报告:一名来自厄瓜多尔的74岁西班牙裔女性因发热、黄疸和右上腹腹痛5天就诊于急诊科。右上腹超声显示胆囊壁增厚伴胆结石,超声墨菲氏征阳性,胆总管明显扩张,直径达17毫米。内镜逆行胰胆管造影(ERCP)显示胆总管有脓性分泌物和结石,结石被取出。她接受了腹腔镜胆囊切除术,术中发现坏疽性胆囊炎。尽管进行了胆囊切除术并使用了广谱抗生素治疗,但她仍发热,白细胞计数高达80,000个/微升。胆囊组织病理学检查显示黏膜、黏膜下层和肌层有幼稚粒细胞浸润,符合因胆结石导致坏疽性胆囊炎相关的粒细胞肉瘤。免疫组织化学使用一组针对CD33、CD68、HLA-DR和溶菌酶的抗体,支持粒细胞肉瘤或髓外急性粒单核细胞白血病(AML M5)的诊断。结论:本文报告了一例罕见的髓外血液系统恶性肿瘤——胆囊粒细胞肉瘤,由于粒细胞肉瘤或髓外AML相关的高死亡率,强调了及时诊断和治疗的重要性。

https://cdn.ncbi.nlm.nih.gov/pmc/blobs/fe3b/6213823/ecfda28c90ec/amjcaserep-19-1262-g005.jpg
https://cdn.ncbi.nlm.nih.gov/pmc/blobs/fe3b/6213823/28f1876dfd82/amjcaserep-19-1262-g001.jpg
https://cdn.ncbi.nlm.nih.gov/pmc/blobs/fe3b/6213823/3037382c1058/amjcaserep-19-1262-g002.jpg
https://cdn.ncbi.nlm.nih.gov/pmc/blobs/fe3b/6213823/2549fecdbe2a/amjcaserep-19-1262-g003.jpg
https://cdn.ncbi.nlm.nih.gov/pmc/blobs/fe3b/6213823/54dead8b47b2/amjcaserep-19-1262-g004.jpg
https://cdn.ncbi.nlm.nih.gov/pmc/blobs/fe3b/6213823/ecfda28c90ec/amjcaserep-19-1262-g005.jpg
https://cdn.ncbi.nlm.nih.gov/pmc/blobs/fe3b/6213823/28f1876dfd82/amjcaserep-19-1262-g001.jpg
https://cdn.ncbi.nlm.nih.gov/pmc/blobs/fe3b/6213823/3037382c1058/amjcaserep-19-1262-g002.jpg
https://cdn.ncbi.nlm.nih.gov/pmc/blobs/fe3b/6213823/2549fecdbe2a/amjcaserep-19-1262-g003.jpg
https://cdn.ncbi.nlm.nih.gov/pmc/blobs/fe3b/6213823/54dead8b47b2/amjcaserep-19-1262-g004.jpg
https://cdn.ncbi.nlm.nih.gov/pmc/blobs/fe3b/6213823/ecfda28c90ec/amjcaserep-19-1262-g005.jpg

相似文献

1
A Case of Granulocytic Sarcoma or Extramedullary Acute Myelomonocytic Leukemia of the Gallbladder.胆囊粒细胞肉瘤或髓外急性粒单核细胞白血病1例
Am J Case Rep. 2018 Oct 24;19:1262-1266. doi: 10.12659/AJCR.911390.
2
Disseminated extramedullary myeloid tumor of the gallbladder without involvement of the bone marrow.胆囊播散性髓外髓样肿瘤,不累及骨髓。
Am J Hematol. 2007 Jan;82(1):65-8. doi: 10.1002/ajh.20748.
3
Granulocytic sarcoma involving the uterus and right fallopian tube with negative endometrial biopsy.粒细胞肉瘤累及子宫和右侧输卵管,子宫内膜活检阴性。
Eur J Gynaecol Oncol. 2007;28(4):270-2.
4
MDCT imaging findings of extramedullary granulocytic sarcoma of the heart.心脏髓外粒细胞肉瘤的 MDCT 影像学表现。
J Thorac Imaging. 2010 Feb;25(1):W14-6. doi: 10.1097/RTI.0b013e3181a6d0eb.
5
Myeloid sarcoma: an unusual presentation for acute tracheal stenosis.髓系肉瘤:急性气管狭窄的一种罕见表现。
Clin Respir J. 2016 Nov;10(6):800-804. doi: 10.1111/crj.12287. Epub 2015 Apr 28.
6
Granulocytic sarcoma presenting as tumors of the cervix.以宫颈肿瘤形式出现的粒细胞肉瘤。
Gynecol Oncol. 2005 Sep;98(3):493-7. doi: 10.1016/j.ygyno.2005.04.028.
7
Primary granulocytic sarcoma of the face.面部原发性粒细胞肉瘤
Ann Dermatol. 2011 Oct;23(Suppl 2):S214-7. doi: 10.5021/ad.2011.23.S2.S214. Epub 2011 Oct 31.
8
Primary granulocytic sarcoma of larynx.原发性喉粒细胞肉瘤
Head Neck. 2015 Mar;37(3):E38-44. doi: 10.1002/hed.23805. Epub 2014 Nov 13.
9
Nonleukemic granulocytic sarcoma in the bile duct: a case report.胆管非白血病性粒细胞肉瘤:一例报告
J Korean Med Sci. 2006 Aug;21(4):745-8. doi: 10.3346/jkms.2006.21.4.745.
10
Granulocytic sarcoma of the uterine cervix--literature review of granulocytic sarcoma of the female genital tract.子宫颈粒细胞肉瘤——女性生殖道粒细胞肉瘤的文献综述
Gynecol Oncol. 1992 Jul;46(1):128-37. doi: 10.1016/0090-8258(92)90210-a.

引用本文的文献

1
Obstruction of the biliary tract as a rare presentation of acute myeloid leukemia: A case report.胆道梗阻作为急性髓系白血病的罕见表现:一例报告
Oncol Lett. 2023 May 26;26(1):300. doi: 10.3892/ol.2023.13886. eCollection 2023 Jul.
2
Myeloid Sarcoma Presenting as Obstructive Jaundice.以梗阻性黄疸为表现的髓系肉瘤
Case Rep Gastroenterol. 2021 Aug 2;15(2):695-702. doi: 10.1159/000514528. eCollection 2021 May-Aug.
3
An Unexpected Cause of Recurrent Jaundice after Resolution of Acute Hepatitis E.急性戊型肝炎消退后复发性黄疸的一个意外原因。

本文引用的文献

1
Presentation of Gallbladder Chloroma in B-Mode Imaging and Contrast-Enhanced Ultrasound (CEUS) in a Patient with Acute Myelomonocytic Leukemia (AML M5).急性粒单核细胞白血病(AML M5)患者胆囊绿色瘤的B超成像及超声造影(CEUS)表现
Ultrasound Int Open. 2017 Sep;3(4):E163-E164. doi: 10.1055/s-0043-118527. Epub 2017 Dec 7.
2
A myeloid sarcoma involving the small intestine, kidneys, mesentery, and mesenteric lymph nodes: A case report and literature review.一例累及小肠、肾脏、肠系膜及肠系膜淋巴结的髓系肉瘤:病例报告及文献复习
Medicine (Baltimore). 2017 Oct;96(42):e7934. doi: 10.1097/MD.0000000000007934.
3
Spinal Myeloid Sarcoma "Chloroma" Presenting as Cervical Radiculopathy: Case Report.
Case Rep Gastroenterol. 2020 Aug 14;14(2):415-419. doi: 10.1159/000508425. eCollection 2020 May-Aug.
脊髓髓性肉瘤“绿色瘤”表现为颈椎病根病变:病例报告。
Global Spine J. 2015 Jun;5(3):241-6. doi: 10.1055/s-0035-1549433.
4
De novo myeloid sarcoma in a 4-month-old infant: a case report and review of the literature.一名4个月大婴儿的新发髓系肉瘤:病例报告及文献复习
J Cutan Pathol. 2013 Mar;40(3):321-5. doi: 10.1111/cup.12027. Epub 2012 Oct 25.
5
Spinal granulocytic sarcoma (chloroma) presenting as acute cord compression in a nonleukemic patient.脊髓粒细胞肉瘤(绿色瘤)在非白血病患者中表现为急性脊髓压迫。
Neurol India. 2005 Jun;53(2):221-3. doi: 10.4103/0028-3886.16418.
6
Orbital and facial granulocytic sarcoma (chloroma): a case report.眼眶及面部粒细胞肉瘤(绿色瘤):一例报告
Pediatr Radiol. 2000 Apr;30(4):276-8. doi: 10.1007/s002470050740.