Suppr超能文献

经快中子治疗的复发性气管腺样囊性癌的磁共振成像。

MRI of a recurrent adenoid cystic carcinoma of the trachea, treated with fast neutron therapy.

作者信息

Sweeney Laura, Vernimmen Frederik, Sinske Sandra

机构信息

Department of Radiation Oncology, Cork University Hospital, Cork, Ireland.

University of Stellenbosch/iThemba LABS, Cape Town, South Africa.

出版信息

BJR Case Rep. 2016 May 18;2(2):20150201. doi: 10.1259/bjrcr.20150201. eCollection 2016.

Abstract

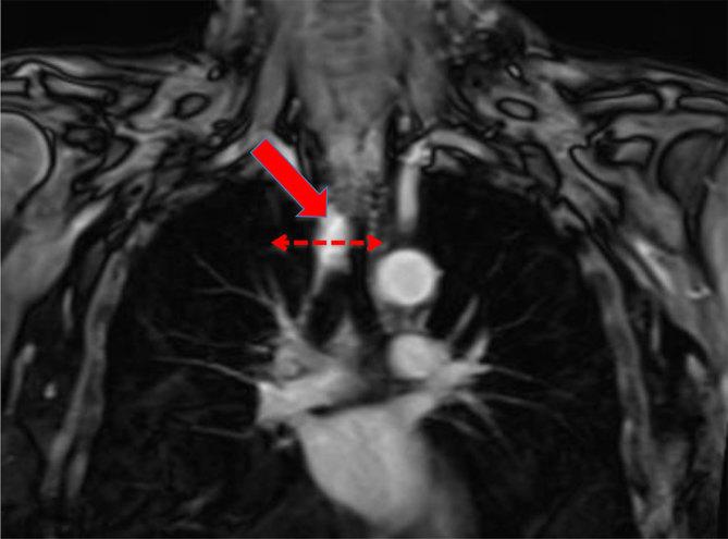
Adenoid cystic carcinoma (ACC) of the trachea is a rare tumour, which responds well to high linear energy transfer radiation, such as neutron therapy. Both CT and MRI are useful for its diagnosis, with MRI being superior at determining the extent of disease and perineural involvement. Identification of these disease characteristics with MRI helps to determine lesion resectability and decide on the most appropriate treatment strategies. MRI is also useful in the differentiation of post-radiation change from disease recurrence, with post-radiation change displaying low signal intensity compared with tumour recurrence displaying intermediate to high signal intensity. Furthermore, MR diffusion-weighted imaging can be useful in the distinction between the two. We present a case of tracheal ACC treated with fast neutron therapy and followed with MRI.

摘要

气管腺样囊性癌(ACC)是一种罕见肿瘤,对高传能线密度辐射(如中子治疗)反应良好。CT和MRI对其诊断均有帮助,其中MRI在确定病变范围和神经周围受累情况方面更具优势。通过MRI识别这些疾病特征有助于确定病变的可切除性并决定最合适的治疗策略。MRI在区分放疗后改变与疾病复发方面也很有用,放疗后改变表现为低信号强度,而肿瘤复发表现为中等至高信号强度。此外,磁共振扩散加权成像在区分两者时可能会有帮助。我们报告一例接受快中子治疗并随后进行MRI随访的气管ACC病例。

https://cdn.ncbi.nlm.nih.gov/pmc/blobs/7ed3/6180863/20cf1ce03e18/bjrcr.20150201.g001.jpg

文献AI研究员

20分钟写一篇综述,助力文献阅读效率提升50倍。

立即体验

用中文搜PubMed

大模型驱动的PubMed中文搜索引擎

马上搜索

文档翻译

学术文献翻译模型,支持多种主流文档格式。

立即体验