Suppr超能文献

播散性水痘带状疱疹感染所致急性肝衰竭

Acute Liver Failure due to Disseminated Varicella Zoster Infection.

作者信息

Brewer Elizabeth Caitlin, Hunter Leigh

机构信息

Methodist Hospitals of Dallas, 1441 N Beckley Ave Dallas, TX 75203, USA.

出版信息

Case Reports Hepatol. 2018 Sep 27;2018:1269340. doi: 10.1155/2018/1269340. eCollection 2018.

Abstract

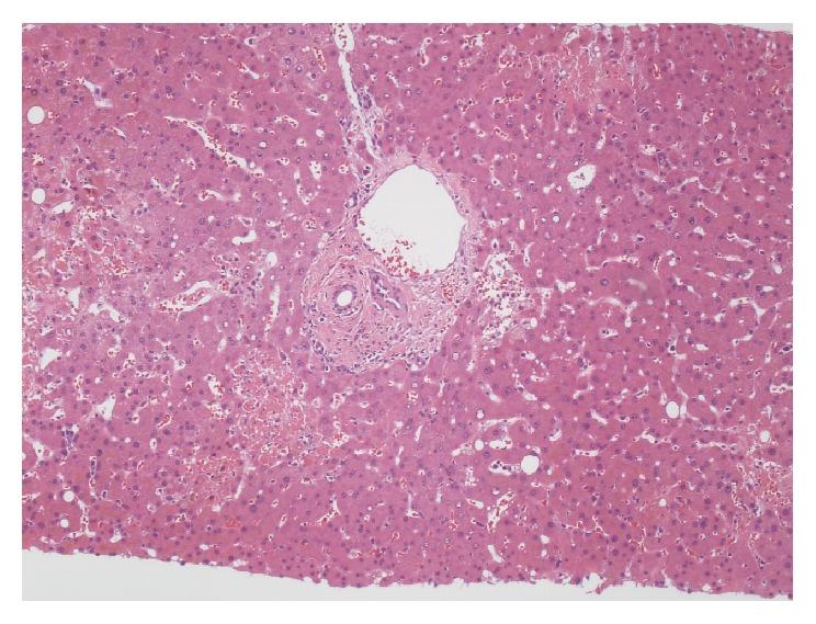
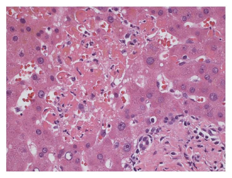
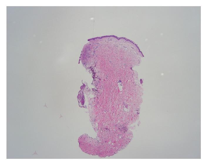
Acute liver failure (ALF) can be due to numerous causes and result in fatality or necessitate liver transplantation if left untreated. Possible etiologies of ALF include ischemia, venous obstruction, medications, toxins, autoimmune hepatitis, metabolic and infectious causes including hepatitis A-E, varicella-zoster virus (VZV), cytomegalovirus (CMV), herpes simplex virus (HSV), Epstein-Barr virus (EBV), and adenovirus with VZV being the most rarely reported. Pathognomonic skin lesions facilitate diagnosis of VZV hepatitis, but definitive diagnosis is secured with liver biopsy, tissue histopathology, culture, and specific VZV polymerase chain reaction (PCR). Antiviral treatment with intravenous acyclovir can be effective if initiated in a timely manner; however, comorbidities and complications frequently result in high mortality, especially in immunocompromised hosts as exemplified in this case presentation.

摘要

急性肝衰竭(ALF)可由多种原因引起,若不治疗可导致死亡或需要进行肝移植。ALF的可能病因包括缺血、静脉阻塞、药物、毒素、自身免疫性肝炎、代谢及感染性病因,其中包括甲型至戊型肝炎、水痘-带状疱疹病毒(VZV)、巨细胞病毒(CMV)、单纯疱疹病毒(HSV)、爱泼斯坦-巴尔病毒(EBV)和腺病毒,VZV是报道最少的。特征性皮肤损害有助于VZV肝炎的诊断,但肝活检、组织病理学、培养及特异性VZV聚合酶链反应(PCR)可确诊。若及时开始静脉注射阿昔洛韦进行抗病毒治疗可能有效;然而,合并症和并发症常导致高死亡率,尤其是在免疫功能低下的宿主中,本病例报告即为例证。

https://cdn.ncbi.nlm.nih.gov/pmc/blobs/91d7/6180957/0735b1bb318a/CRIHEP2018-1269340.001.jpg

文献检索

告别复杂PubMed语法,用中文像聊天一样搜索,搜遍4000万医学文献。AI智能推荐,让科研检索更轻松。

立即免费搜索

文件翻译

保留排版,准确专业,支持PDF/Word/PPT等文件格式,支持 12+语言互译。

免费翻译文档

深度研究

AI帮你快速写综述,25分钟生成高质量综述,智能提取关键信息,辅助科研写作。

立即免费体验