Department of Biomaterials Science, College of Natural Resources and Life Science/Life and Industry Convergence Research Institute, Pusan National University, Miryang 627‑706, Republic of Korea.
Department of Food Science and Nutrition, College of Human Ecology, Pusan National University, Busan 609‑735, Republic of Korea.
Int J Mol Med. 2019 Jan;43(1):185-198. doi: 10.3892/ijmm.2018.3960. Epub 2018 Oct 29.
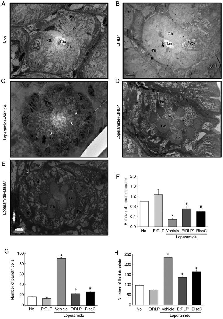
Red Liriope platyphylla extract (EtRLP) has been used as an oriental medicine for treatment of several chronic conditions, such as neurodegenerative disorders, diabetes, and obesity. To investigate the laxative activity of EtRLP, the levels of key constipation markers and their molecular regulators were examined following administration of EtRLP in constipation Sprague Dawley (SD) rats treated with loperamide (Lop). Compared with the Lop+Vehicle‑treated group, the excretion levels of urine and stool were significantly enhanced in the Lop+EtRLP‑treated group, even though feeding levels were kept constant. There was a significant improvement in histological structure, cytological ultrastructure and mucin secretion in transverse colon sections from the Lop+EtRLP‑treated group, compared with the Lop+Vehicle‑treated group. The Lop+EtRLP‑treated group exhibited a rapid recovery of the muscarinic acetylcholine receptor (mAChR) signaling pathway and of the endoplasmic reticulum (ER) stress response, compared with Lop+Vehicle‑treated group. Spicatoside A, one of the key components detected in EtRLP, recovered the levels of inositol triphosphate (IP3) and Gα in primary rat intestinal smooth muscle cells (pRISMCs). Taken together, the present results indicated that spicatoside A‑containing EtRLP had therapeutic effects against Lop‑induced constipation in SD rats via improvement of the mAChR downstream signaling pathway and the ER stress response.
红曲百合提取物(EtRLP)已被用作东方药物,用于治疗多种慢性疾病,如神经退行性疾病、糖尿病和肥胖症。为了研究 EtRLP 的通便活性,在给予洛哌丁胺(Lop)处理的便秘 Sprague Dawley(SD)大鼠中,检查了 EtRLP 给药后关键便秘标志物及其分子调节剂的水平。与 Lop+Vehicle 处理组相比,Lop+EtRLP 处理组的尿和粪便排泄水平显著提高,尽管摄食量保持不变。与 Lop+Vehicle 处理组相比,Lop+EtRLP 处理组横结肠切片的组织学结构、细胞学超微结构和粘蛋白分泌有显著改善。与 Lop+Vehicle 处理组相比,Lop+EtRLP 处理组的毒蕈碱乙酰胆碱受体(mAChR)信号通路和内质网(ER)应激反应迅速恢复。EtRLP 中检测到的一种关键成分——螺旋甾苷 A,恢复了原代大鼠肠平滑肌细胞(pRISMC)中三磷酸肌醇(IP3)和 Gα的水平。综上所述,这些结果表明,含螺旋甾苷 A 的 EtRLP 通过改善 mAChR 下游信号通路和 ER 应激反应,对 Lop 诱导的 SD 大鼠便秘具有治疗作用。