Suppr超能文献

骨巨细胞瘤的组织病理学:特别强调纤维组织细胞样和动脉瘤样骨囊肿样成分。

Histopathology of giant cell tumors of the bone: With special emphasis on fibrohistiocytic and aneurysmal bone cyst like components.

作者信息

Çomunoğlu Nil, Kepil Nuray, Dervişoğlu Sergülen

机构信息

Istanbul University, Cerrahpasa Medical Faculty, Department of Pathology, Istanbul, Turkey.

Medipol University, Department of Pathology, Istanbul, Turkey.

出版信息

Acta Orthop Traumatol Turc. 2019 Jan;53(1):35-39. doi: 10.1016/j.aott.2018.10.007. Epub 2018 Nov 2.

Abstract

OBJECTIVE

The aim of this study was to define histopathological features of giant cell tumor of bone, especially accompanying fibrohistiocytic or aneurysmal bone cyst like components, in the light of our institutions experience.

METHODS

A total of 120 cases (64 females and 56 males; mean age: 36.2 (12-80)) with 'GCT' diagnosed between the years 1996-2016 were included in this retrospective analysis. Cases were evaluated according to clinical features such as age, gender, localization, recurrence, metastasis and histopathological features.

RESULTS

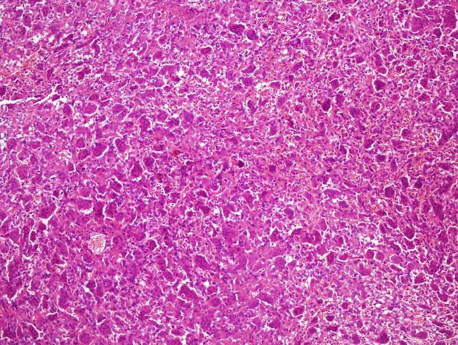
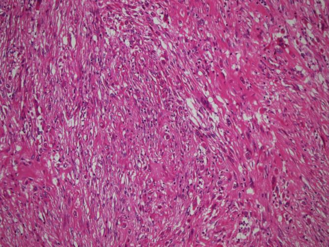
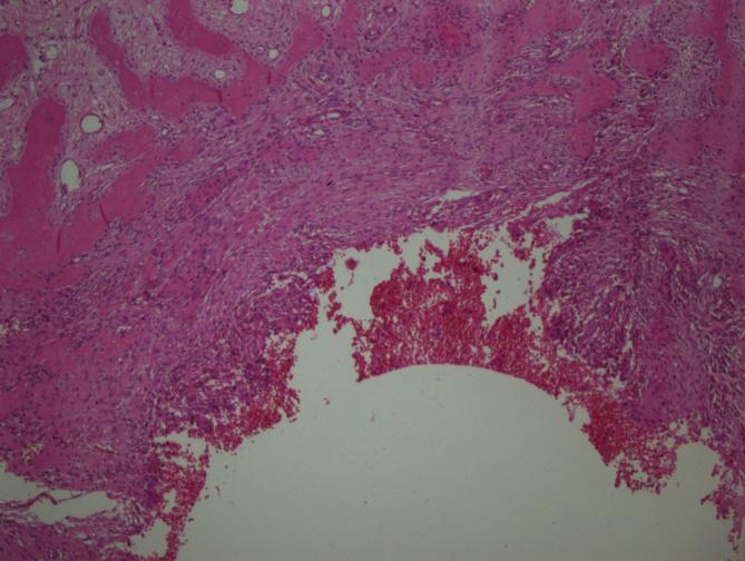
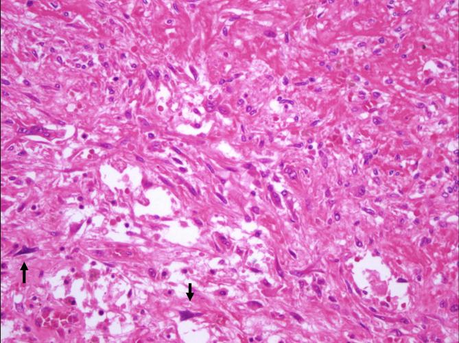
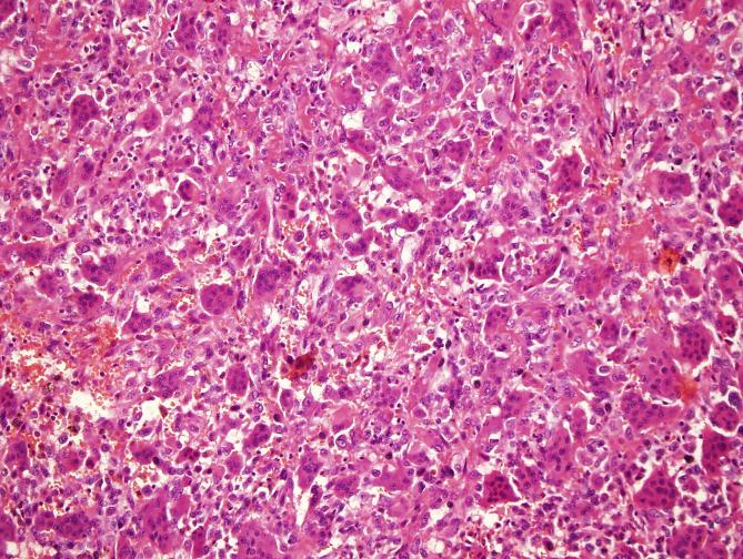
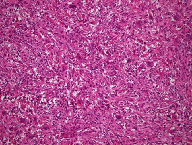
Tumors were localized most frequently at proximal tibia and distal femur, respectively. In 11 cases areas rich in fibrohistiocytic component and in 20 cases aneurysmal bone cyst like component were observed. In 2 cases both components were present. Twenty three cases recurred. In 1 case which was primarily located at calcaneus, tumor metastasized to lung 4 years later during follow-up.

CONCLUSION

GCT can be confused with other tumor or tumor-like lesions involving giant cells. Secondary changes such as fibrohistiocytic or aneurysmal bone cyst-like components and coagulation necrosis were frequently seen in conventional giant cell tumor of bone. For tumors having prominent fibrohistiocytic and/or aneurysmal bone cyst-like components, in order to detect characteristic areas representing GCT, additional sampling is essential. Although secondary histopathological changes do not appear to affect clinical outcome, these features are important in differential diagnosis. Approximately one fifth of GCT cases show recurrence and sacrum and foot bones were the most frequent sites for recurrence.

LEVEL OF EVIDENCE

Level IV, diagnostic study.

摘要

目的

本研究旨在根据我们机构的经验,明确骨巨细胞瘤的组织病理学特征,尤其是伴有纤维组织细胞或动脉瘤样骨囊肿样成分的情况。

方法

本回顾性分析纳入了1996年至2016年间诊断为“骨巨细胞瘤(GCT)”的120例患者(64例女性和56例男性;平均年龄:36.2岁(12 - 80岁))。根据年龄、性别、部位、复发、转移等临床特征以及组织病理学特征对病例进行评估。

结果

肿瘤最常分别位于胫骨近端和股骨远端。在11例中观察到富含纤维组织细胞成分的区域,20例中观察到动脉瘤样骨囊肿样成分。2例中两种成分均存在。23例复发。1例最初位于跟骨,随访4年后肿瘤转移至肺。

结论

骨巨细胞瘤可能与其他涉及巨细胞的肿瘤或肿瘤样病变相混淆。在传统骨巨细胞瘤中,常见纤维组织细胞或动脉瘤样骨囊肿样成分以及凝固性坏死等继发性改变。对于具有显著纤维组织细胞和/或动脉瘤样骨囊肿样成分的肿瘤,为了检测代表骨巨细胞瘤的特征区域,额外取材至关重要。尽管继发性组织病理学改变似乎不影响临床结果,但这些特征在鉴别诊断中很重要。约五分之一的骨巨细胞瘤病例会复发,骶骨和足部骨骼是最常见的复发部位。

证据级别

IV级,诊断性研究。

https://cdn.ncbi.nlm.nih.gov/pmc/blobs/2bba/6424663/2e6b478a3936/gr1.jpg

文献AI研究员

20分钟写一篇综述,助力文献阅读效率提升50倍。

立即体验

用中文搜PubMed

大模型驱动的PubMed中文搜索引擎

马上搜索

文档翻译

学术文献翻译模型,支持多种主流文档格式。

立即体验