• 文献检索
  • 文档翻译
  • 深度研究
  • 学术资讯
  • Suppr Zotero 插件Zotero 插件
  • 邀请有礼
  • 套餐&价格
  • 历史记录
应用&插件
Suppr Zotero 插件Zotero 插件浏览器插件Mac 客户端Windows 客户端微信小程序
定价
高级版会员购买积分包购买API积分包
服务
文献检索文档翻译深度研究API 文档MCP 服务
关于我们
关于 Suppr公司介绍联系我们用户协议隐私条款
关注我们

Suppr 超能文献

核心技术专利:CN118964589B侵权必究
粤ICP备2023148730 号-1Suppr @ 2026

文献检索

告别复杂PubMed语法,用中文像聊天一样搜索,搜遍4000万医学文献。AI智能推荐,让科研检索更轻松。

立即免费搜索

文件翻译

保留排版,准确专业,支持PDF/Word/PPT等文件格式,支持 12+语言互译。

免费翻译文档

深度研究

AI帮你快速写综述,25分钟生成高质量综述,智能提取关键信息,辅助科研写作。

立即免费体验

一名患有Glanzmann血小板无力症的儿童被诊断为局限性侵袭性牙周炎的多学科临床管理

Multidisciplinary Clinical Management of a Localized Aggressive Periodontitis diagnosed in a Child with Glanzmann's Thrombasthenia.

作者信息

Prud'homme Tony, Roy Elisabeth, Soueidan Assem, Fouassier Marc, Dajean-Trutaud Sylvie, Badran Zahi

机构信息

Surgeon, Department of Pediatric Dentistry, University of Nantes Nantes, France.

Professor, Department of Periodontology, University of Nantes, Nantes France.

出版信息

Int J Clin Pediatr Dent. 2018 Jul-Aug;11(4):344-348. doi: 10.5005/jp-journals-10005-1536. Epub 2018 Aug 1.

DOI:10.5005/jp-journals-10005-1536
PMID:30397380
原文链接:https://pmc.ncbi.nlm.nih.gov/articles/PMC6212666/
Abstract

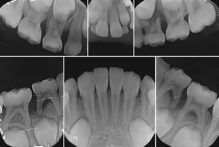
Localized aggressive periodontitis (LAP) in child involving primary dentition is a rare disease. The main characteristics of LAP are deep periodontal pockets, bone loss, tooth mobility, and, sometimes, spontaneous tooth loss. The LAP involves only some specific teeth. Glanzmann's thrombasthenia (GT) is a rare autosomal recessive bleeding disorder. The paper's aim is to present the case of a 5-year-old girl with GT presenting LAP, and discuss her clinical management. Prud'homme T, Roy E, Soueidan A, Fouassier M, Dajean-Trutaud S, Badran Z. Multidisciplinary Clinical Management of a Localized Aggressive Periodontitis diagnosed in a Child with Glanzmann's Thrombasthenia. Int J Clin Pediatr Dent 2018;11(4):344-348.

摘要

儿童原发性牙列局限性侵袭性牙周炎(LAP)是一种罕见疾病。LAP的主要特征是牙周袋深、骨质丧失、牙齿松动,有时还会出现牙齿自行脱落。LAP仅累及某些特定牙齿。Glanzmann血小板无力症(GT)是一种罕见的常染色体隐性出血性疾病。本文旨在介绍一名患有GT并出现LAP的5岁女孩病例,并讨论其临床管理。Prud'homme T、Roy E、Soueidan A、Fouassier M、Dajean-Trutaud S、Badran Z。一名患有Glanzmann血小板无力症的儿童诊断为局限性侵袭性牙周炎的多学科临床管理。《国际临床儿科牙科学杂志》2018年;11(4):344 - 348。

https://cdn.ncbi.nlm.nih.gov/pmc/blobs/4425/6212666/497eb2cbde32/ijcpd-11-344-g006.jpg
https://cdn.ncbi.nlm.nih.gov/pmc/blobs/4425/6212666/5e4481c32f3e/ijcpd-11-344-g001.jpg
https://cdn.ncbi.nlm.nih.gov/pmc/blobs/4425/6212666/63e579b8fce2/ijcpd-11-344-g002.jpg
https://cdn.ncbi.nlm.nih.gov/pmc/blobs/4425/6212666/530188dd4b5e/ijcpd-11-344-g003.jpg
https://cdn.ncbi.nlm.nih.gov/pmc/blobs/4425/6212666/ae98d286f7b0/ijcpd-11-344-g004.jpg
https://cdn.ncbi.nlm.nih.gov/pmc/blobs/4425/6212666/fd2a52a2b9fc/ijcpd-11-344-g005.jpg
https://cdn.ncbi.nlm.nih.gov/pmc/blobs/4425/6212666/497eb2cbde32/ijcpd-11-344-g006.jpg
https://cdn.ncbi.nlm.nih.gov/pmc/blobs/4425/6212666/5e4481c32f3e/ijcpd-11-344-g001.jpg
https://cdn.ncbi.nlm.nih.gov/pmc/blobs/4425/6212666/63e579b8fce2/ijcpd-11-344-g002.jpg
https://cdn.ncbi.nlm.nih.gov/pmc/blobs/4425/6212666/530188dd4b5e/ijcpd-11-344-g003.jpg
https://cdn.ncbi.nlm.nih.gov/pmc/blobs/4425/6212666/ae98d286f7b0/ijcpd-11-344-g004.jpg
https://cdn.ncbi.nlm.nih.gov/pmc/blobs/4425/6212666/fd2a52a2b9fc/ijcpd-11-344-g005.jpg
https://cdn.ncbi.nlm.nih.gov/pmc/blobs/4425/6212666/497eb2cbde32/ijcpd-11-344-g006.jpg

相似文献

1
Multidisciplinary Clinical Management of a Localized Aggressive Periodontitis diagnosed in a Child with Glanzmann's Thrombasthenia.一名患有Glanzmann血小板无力症的儿童被诊断为局限性侵袭性牙周炎的多学科临床管理
Int J Clin Pediatr Dent. 2018 Jul-Aug;11(4):344-348. doi: 10.5005/jp-journals-10005-1536. Epub 2018 Aug 1.
2
Dental considerations for a Glanzmann's thrombasthenia patient: case report.一名Glanzmann血小板无力症患者的牙科注意事项:病例报告
J Periodontol. 1996 May;67(5):536-40. doi: 10.1902/jop.1996.67.5.536.
3
Dental Considerations in the Management of Glanzmann's Thrombasthenia.Glanzmann血小板无力症管理中的牙科考量
Int J Clin Pediatr Dent. 2010 Jan-Apr;3(1):51-6. doi: 10.5005/jp-journals-10005-1054. Epub 2010 Apr 15.
4
Osteopetrosis and Glanzmann's thrombasthenia in a child.一名儿童患骨硬化症和血小板无力症。
Ann Hematol. 2003 Apr;82(4):254-6. doi: 10.1007/s00277-002-0571-3. Epub 2003 Mar 8.
5
Difficulty in controlling heavy menstrual bleeding at menarche in a patient with Glanzmann's thrombasthenia.初潮时患有 Glanzmann 血小板无力症患者的月经过多难以控制。
Blood Coagul Fibrinolysis. 2021 Mar 1;32(2):155-158. doi: 10.1097/MBC.0000000000000977.
6
Hematological and surgical management in Glanzmann's thrombasthenia: a case report.血小板无力症的血液学与外科治疗:一例报告
J Indian Soc Pedod Prev Dent. 2014 Apr-Jun;32(2):181-4. doi: 10.4103/0970-4388.131000.
7
Bone marrow transplantation in severe Glanzmann's thrombasthenia with antiplatelet alloimmunization.伴有抗血小板同种免疫的重度Glanzmann血小板无力症的骨髓移植
Bone Marrow Transplant. 2000 Feb;25(3):327-30. doi: 10.1038/sj.bmt.1702139.
8
Different biochemical expression pattern of platelet surface glycoproteins suggests molecular diversity of Glanzmann's thrombasthenia in Iran.血小板表面糖蛋白不同的生化表达模式提示伊朗Glanzmann血小板无力症存在分子多样性。
Blood Coagul Fibrinolysis. 2013 Sep;24(6):613-8. doi: 10.1097/MBC.0b013e328360a558.
9
Glanzmann's thrombasthenia in pregnancy: a case and review of the literature.妊娠期血小板无力症:1例病例及文献综述
Am J Perinatol. 1999;16(6):297-301. doi: 10.1055/s-2007-993875.
10
Simultaneous occurrence of intussusception and duodenal haematoma in a patient with Glanzmann's thrombasthenia.一名患有Glanzmann血小板无力症的患者同时发生肠套叠和十二指肠血肿。
Afr J Paediatr Surg. 2016 Oct-Dec;13(4):202-205. doi: 10.4103/0189-6725.194676.

引用本文的文献

1
Treatment of Periodontitis Affecting Human Primary Teeth-A Systematic Review.影响人类乳牙的牙周炎治疗——一项系统评价
Dent J (Basel). 2023 Jul 14;11(7):171. doi: 10.3390/dj11070171.
2
Polysaccharide-Based Micro- and Nanosized Drug Delivery Systems for Potential Application in the Pediatric Dentistry.基于多糖的微米和纳米级药物递送系统在儿童牙科中的潜在应用
Polymers (Basel). 2021 Sep 29;13(19):3342. doi: 10.3390/polym13193342.

本文引用的文献

1
Clinical and microbiological characterization of localized aggressive periodontitis: a cohort study.局限性侵袭性牙周炎的临床和微生物学特征:一项队列研究
Aust Dent J. 2014 Jun;59(2):165-71. doi: 10.1111/adj.12165.
2
Aggressive periodontitis in children: a 14-19-year follow-up.儿童侵袭性牙周炎:14-19 年随访。
J Clin Periodontol. 2010 Mar;37(3):283-7. doi: 10.1111/j.1600-051X.2009.01526.x. Epub 2010 Jan 19.
3
Hyper-responsive phenotype in localized aggressive periodontitis.局部侵袭性牙周炎的高反应表型。
J Dent Res. 2010 Feb;89(2):143-8. doi: 10.1177/0022034509353397. Epub 2009 Dec 30.
4
Presence of Aggregatibacter actinomycetemcomitans in young individuals: a 16-year clinical and microbiological follow-up study.青少年中伴放线聚集杆菌的存在:一项为期16年的临床和微生物学随访研究。
J Clin Periodontol. 2009 Oct;36(10):815-22. doi: 10.1111/j.1600-051X.2009.01457.x. Epub 2009 Aug 12.
5
Aggregatibacter actinomycetemcomitans and its relationship to initiation of localized aggressive periodontitis: longitudinal cohort study of initially healthy adolescents.伴放线聚集杆菌及其与局限性侵袭性牙周炎发病的关系:对最初健康的青少年进行的纵向队列研究
J Clin Microbiol. 2007 Dec;45(12):3859-69. doi: 10.1128/JCM.00653-07. Epub 2007 Oct 17.
6
Glanzmann thrombasthenia.血小板无力症
Orphanet J Rare Dis. 2006 Apr 6;1:10. doi: 10.1186/1750-1172-1-10.
7
Advances in the progression of periodontitis and proposal of definitions of a periodontitis case and disease progression for use in risk factor research. Group C consensus report of the 5th European Workshop in Periodontology.牙周炎进展的研究进展以及用于风险因素研究的牙周炎病例和疾病进展定义的提议。第五届欧洲牙周病学研讨会C组共识报告
J Clin Periodontol. 2005;32 Suppl 6:210-3. doi: 10.1111/j.1600-051X.2005.00822.x.
8
Localized aggressive periodontitis in a six-year-old: a case report.
Pediatr Dent. 2004 Jul-Aug;26(4):345-51.
9
Localized aggressive periodontitis in primary dentition: a case report.乳牙列局限性侵袭性牙周炎:一例报告
J Periodontol. 2003 Jul;74(7):1060-6. doi: 10.1902/jop.2003.74.7.1060.
10
Microbiological, immunological and genetic factors in family members with periodontitis as a manifestation of systemic disease, associated with hematological disorders.
J Periodontal Res. 2002 Aug;37(4):307-15. doi: 10.1034/j.1600-0765.2002.00659.x.