Kim Se-Won, Jee Yu-Jin, Lee Deok-Won, Kim Hyung Kyung
Department of Oral and Maxillofacial Surgery, Kyung Hee University Dental Hospital at Gangdong, Korea.
Department of Pathology, Kyung Hee University Hospital at Gangdong, Kyung Hee University School of Medicine, Seoul, Korea.
J Korean Assoc Oral Maxillofac Surg. 2018 Oct;44(5):242-247. doi: 10.5125/jkaoms.2018.44.5.242. Epub 2018 Oct 26.
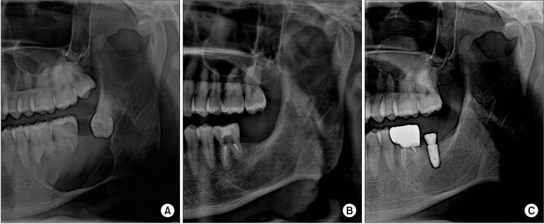
Ameloblastoma treatment varies based on the clinical, histopathologic, and radiographic characteristics. Aggressive surgical treatments, such as marginal or segmental resection, have traditionally been implemented, but some conservative surgical methods are also being introduced, including decompression, enucleation, or curettage. The aim of the present study was to evaluate the possibility of applying these conservative surgical treatments to ameloblastoma and to analyze the prognosis of the procedures and their healing aspects. Among all patients who visited our clinic (Department of Oral and Maxillofacial Surgery, Kyung Hee University Dental Hospital at Gangdong) from 2009 to 2017, three who had undergone conservative surgery were recruited. One of these three patients underwent both excision of the lesion and an iliac bone graft during the same procedure. In the other two patients, due to the size of the lesion, decompression was performed to reduce the size of the lesion, and then conservative surgical treatments followed. As shown in the cases of this study, patients were only treated with conservative surgical methods, such as decompression or enucleation. During the follow-up period, there were no recurrences. In conclusion, the use of conservative surgical treatment in ameloblastoma can be a reliable, safe, and successful method.
成釉细胞瘤的治疗方法因临床、组织病理学和影像学特征而异。传统上采用积极的手术治疗方法,如边缘或节段性切除,但也引入了一些保守的手术方法,包括减压、摘除或刮除。本研究的目的是评估将这些保守手术治疗方法应用于成釉细胞瘤的可能性,并分析这些手术的预后及其愈合情况。在2009年至2017年期间到我们诊所(庆熙大学齿科大学江东口腔颌面外科)就诊的所有患者中,招募了3例接受保守手术的患者。这3例患者中的1例在同一次手术中既进行了病变切除又进行了髂骨移植。在另外2例患者中,由于病变大小,先进行减压以缩小病变大小,然后进行保守手术治疗。如本研究病例所示,患者仅接受了减压或摘除等保守手术方法治疗。在随访期间,无复发情况。总之,在成釉细胞瘤中使用保守手术治疗可能是一种可靠、安全且成功的方法。