Suppr超能文献

环孢素A对野百合碱诱导的肺动脉高压中右心室线粒体损伤的保护作用

Protective Effect of Right Ventricular Mitochondrial Damage by Cyclosporine A in Monocrotaline-induced Pulmonary Hypertension.

作者信息

Lee Dong Seok, Jung Yong Wook

机构信息

Department of Pediatrics, Dongguk University School of Medicine, Gyeongju, Korea.

Department of Anatomy, Dongguk University School of Medicine, Gyeongju, Korea.

出版信息

Korean Circ J. 2018 Dec;48(12):1135-1144. doi: 10.4070/kcj.2018.0061.

Abstract

BACKGROUND AND OBJECTIVES

Mitochondria play a key role in the pathophysiology of heart failure and mitochondrial permeability transition pore (MPTP) play a critical role in cell death and a critical target for cardioprotection. The aim of this study was to evaluate the protective effects of cyclosporine A (CsA), one of MPTP blockers, and morphological changes of mitochondria and MPTP related proteins in monocrotaline (MCT) induced pulmonary arterial hypertension (PAH).

METHODS

Eight weeks old Sprague-Dawley rats were randomized to control, MCT (60 mg/kg) and MCT plus CsA (10 mg/kg/day) treatment groups. Four weeks later, right ventricular hypertrophy (RVH) and morphological changes of right ventricle (RV) were done. Western blot and reverse transcription polymerase chain reaction (RT-PCR) for MPTP related protein were performed.

RESULTS

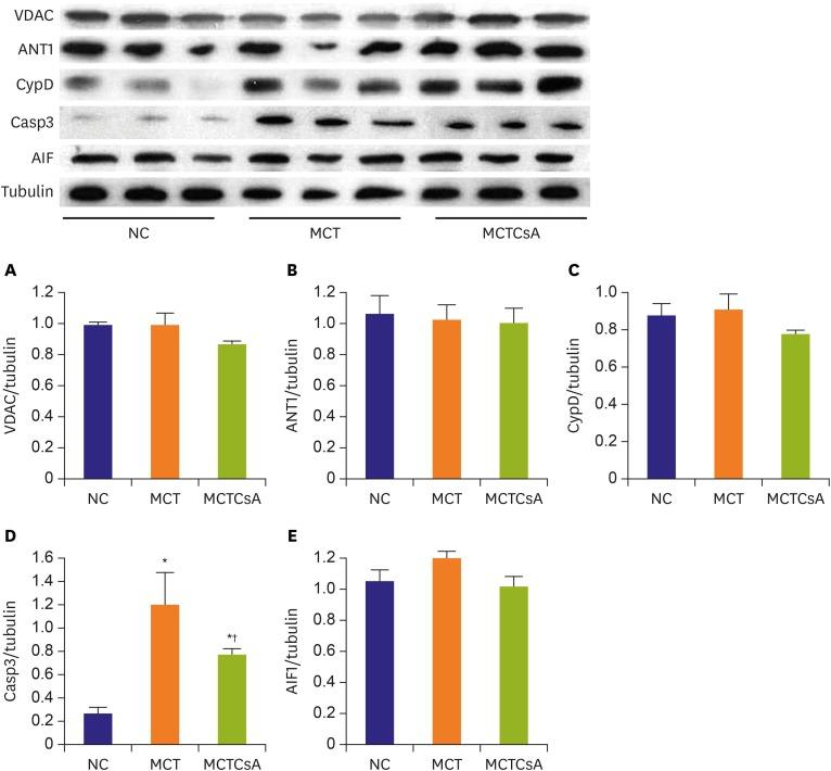
In electron microscopy, CsA treatment prevented MCT-induced mitochondrial disruption of RV. RVH was significantly increased in MCT group compared to that of the controls but RVH was more increased with CsA treatment. Thickened medial wall thickness of pulmonary arteriole in PAH was not changed after CsA treatment. In western blot, caspase-3 was significantly increased in MCT group, and was attenuated in CsA treatment. There were no significant differences in voltage-dependent anion channel, adenine nucleotide translocator 1 and cyclophilin D expression in western blot and RT-PCR between the 3 groups.

CONCLUSIONS

CsA reduces MCT induced RV mitochondrial damage. Although, MPTP blocking does not reverse pulmonary pathology, it may reduce RV dysfunction in PAH. The results suggest that it could serve as an adjunctive therapy to PAH treatment.

摘要

背景与目的

线粒体在心力衰竭的病理生理学中起关键作用,线粒体通透性转换孔(MPTP)在细胞死亡中起关键作用,是心脏保护的关键靶点。本研究旨在评估MPTP阻滞剂之一环孢素A(CsA)的保护作用,以及在野百合碱(MCT)诱导的肺动脉高压(PAH)中线粒体的形态变化和MPTP相关蛋白。

方法

将8周龄的Sprague-Dawley大鼠随机分为对照组、MCT(60mg/kg)组和MCT加CsA(10mg/kg/天)治疗组。4周后,观察右心室肥厚(RVH)及右心室(RV)的形态变化。进行MPTP相关蛋白的蛋白质印迹法和逆转录聚合酶链反应(RT-PCR)。

结果

在电子显微镜下,CsA治疗可防止MCT诱导的RV线粒体破坏。与对照组相比,MCT组的RVH显著增加,但CsA治疗后RVH增加得更多。CsA治疗后,PAH中肺小动脉的中膜厚度增厚未改变。在蛋白质印迹法中,MCT组caspase-3显著增加,而CsA治疗使其减弱。3组之间在蛋白质印迹法和RT-PCR中电压依赖性阴离子通道、腺嘌呤核苷酸转位酶1和亲环素D的表达无显著差异。

结论

CsA可减轻MCT诱导的RV线粒体损伤。虽然,MPTP阻断不能逆转肺部病变,但它可能减轻PAH中的RV功能障碍。结果表明,它可作为PAH治疗的辅助疗法。

https://cdn.ncbi.nlm.nih.gov/pmc/blobs/b760/6221864/64d3e2fa970d/kcj-48-1135-g001.jpg

文献AI研究员

20分钟写一篇综述,助力文献阅读效率提升50倍。

立即体验

用中文搜PubMed

大模型驱动的PubMed中文搜索引擎

马上搜索

文档翻译

学术文献翻译模型,支持多种主流文档格式。

立即体验