Suppr超能文献

经血管内治疗颈内静脉中心静脉置管尝试所致胸锁乳突肌动脉难治性假性动脉瘤并长期随访:病例报告及文献复习

Endovascular Management of a Refractory Pseudoaneurysm of the Sternocleidomastoid Artery Caused by Attempted Internal Jugular Central Line Placement with Long-Term Follow-Up: A Case Report and Review.

作者信息

Abdel-Aty Yassmeen, Bellew Michael P

机构信息

Mayo Clinic Arizona, Department of Otolaryngology Head and Neck Surgery, 5777 E Mayo Blvd, Phoenix, AZ 85054, USA.

Department of Medical Education, Assistant Professor of Neurosurgery, UCF College of Medicine, 6850 Lake Nona Blvd, Orlando, FL 32827, USA.

出版信息

Case Rep Otolaryngol. 2018 Oct 10;2018:8324908. doi: 10.1155/2018/8324908. eCollection 2018.

Abstract

INTRODUCTION

This case report shows successful treatment of a refractory sternocleidomastoid branch of the superior thyroid artery (SBSTA) pseudoaneurysm using endovascular glue embolization in a patient who refused surgery.

CASE PRESENTATION

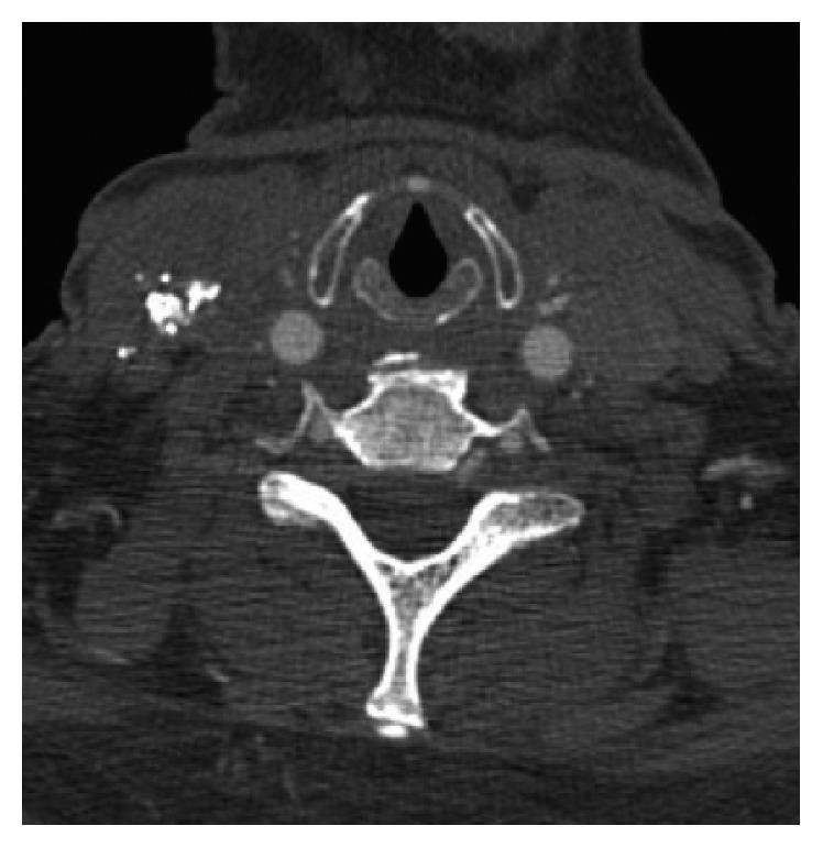
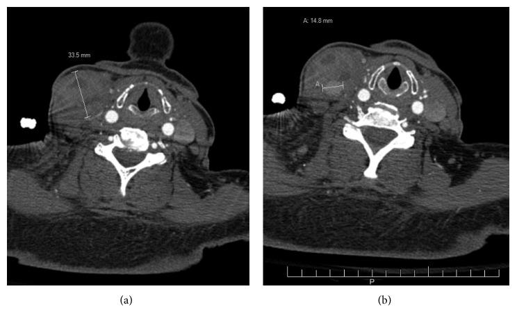
A 63-year-old female with multiple comorbidities presented with a firm 7 cm tender mass located in the right neck. Ultrasound showed pseudoaneurysm and a 7 × 3.3 × 4 cm multilobular hematoma in the location of the previous central line. CTA showed a corresponding heterogeneous mass. Serial imaging demonstrated enlargement over 2 weeks. Angiogram showed contrast blush off of the SBSTA.

MANAGEMENT AND OUTCOME

SBSTA was embolized using glue. Repeat angiogram showed embolization and no contrast blush. One month later, the mass was no longer pulsatile but present on physical exam. CTA showed decreased size. 8 months later, her neck was soft without mass.

DISCUSSION

Pseudoaneurysms of the external carotid artery are rare and usually due to trauma. Pseudoaneurysms after central line placement are documented, but most are complications of femoral central lines. A handful of cases of superior thyroid artery pseudoaneurysms due to several etiologies are reported, but none involving the SBSTA. Therapeutic options include surveillance, compression, thrombin injection, embolization, and surgery. Endovascular management offers an alternative for patients unwilling or unable to undergo open surgery.

摘要

引言

本病例报告展示了在一名拒绝手术的患者中,使用血管内胶水栓塞术成功治疗难治性甲状腺上动脉胸锁乳突肌支假性动脉瘤(SBSTA)的过程。

病例介绍

一名患有多种合并症的63岁女性,右颈部出现一个质地坚硬、压痛的7厘米肿块。超声显示假性动脉瘤以及位于先前中线位置的一个7×3.3×4厘米的多叶血肿。CT血管造影(CTA)显示有一个相应的不均匀肿块。连续成像显示该肿块在2周内增大。血管造影显示SBSTA有造影剂外溢。

治疗与结果

使用胶水对SBSTA进行栓塞。重复血管造影显示栓塞成功且无造影剂外溢。1个月后,肿块不再有搏动,但体格检查时仍存在。CTA显示肿块尺寸减小。8个月后,她的颈部变软,无肿块。

讨论

颈外动脉假性动脉瘤罕见,通常由外伤引起。有文献记载中心静脉置管后出现假性动脉瘤,但大多数是股静脉中心静脉置管的并发症。报道了几例因多种病因导致的甲状腺上动脉假性动脉瘤病例,但均未涉及SBSTA。治疗选择包括观察、压迫、注射凝血酶、栓塞和手术。血管内治疗为不愿或无法接受开放手术的患者提供了一种替代方案。

https://cdn.ncbi.nlm.nih.gov/pmc/blobs/fbb7/6199854/7915672fd557/CRIOT2018-8324908.001.jpg

文献AI研究员

20分钟写一篇综述,助力文献阅读效率提升50倍。

立即体验

用中文搜PubMed

大模型驱动的PubMed中文搜索引擎

马上搜索

文档翻译

学术文献翻译模型,支持多种主流文档格式。

立即体验