Suppr超能文献

非产气性肝脓肿所致肺气囊肿及脓毒性肺栓塞:一例报告

Pneumocardia and septic pulmonary embolism due to nongas-forming liver abscess: A case report.

作者信息

Yao Zhoujia, Zheng Jun, Si Youguang, Wang Wenhong

机构信息

HBP Department.

Respiratory Medicine Department, Zhuji People's Hospital, No. 9 Jianmin Road, Zhuji, Shaoxin, Zhejiang Province, China.

出版信息

Medicine (Baltimore). 2018 Nov;97(45):e13096. doi: 10.1097/MD.0000000000013096.

Abstract

RATIONALE

Pneumocardia and septic pulmonary embolism are uncommon complications of Klebsiella pneumoniae primary liver abscess (KPLA); however, they may lead to a poor clinical outcome.

PATIENT CONCERNS

A 67-year-old woman was admitted to our hospital with fever, chills, cough, and dyspnea for 4 days. She had a previous history of diabetes mellitus.

DIAGNOSES

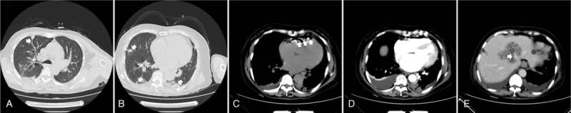
The chest computed tomography (CT) revealed multiple peripheral nodules in both lungs and wedge-shaped peripheral infiltrative lesions abutting the pleura, suggestive of septic pulmonary embolism. An abdominal CT on the following day showed a large liver abscess without gas formation and pneumocardia of the right ventricle.

INTERVENTIONS

After the antibiotic therapy of intravenous imipenem and drainage of the liver abscess, our patient made a complete recovery.

OUTCOMES

The patient was discharged on the 25th hospital day after full recovery and was doing well on follow-up at 10 months.

LESSONS

KPLA is potentially fatal due to the associated serious metastatic complications. Attention must be paid not only to the primary focus of infection but also to infection of other organs. It is important to detect to diagnose the spread of infection accurately, in a timely manner, to improve the prognosis of this condition.

摘要

理论依据

肺炎克雷伯菌原发性肝脓肿(KPLA)合并气胸和脓毒性肺栓塞是罕见的并发症;然而,它们可能导致不良的临床结局。

患者情况

一名67岁女性因发热、寒战、咳嗽和呼吸困难4天入院。她既往有糖尿病病史。

诊断

胸部计算机断层扫描(CT)显示双肺多发外周结节及紧邻胸膜的楔形外周浸润性病变,提示脓毒性肺栓塞。次日腹部CT显示一个巨大肝脓肿,无气体形成,右心室积气。

干预措施

经静脉注射亚胺培南抗生素治疗及肝脓肿引流后,患者完全康复。

结果

患者在完全康复后的第25天出院,10个月随访时情况良好。

经验教训

KPLA因相关严重转移性并发症而具有潜在致命性。不仅要关注感染的原发灶,还要关注其他器官的感染。及时准确地检测诊断感染扩散对于改善本病的预后很重要。

https://cdn.ncbi.nlm.nih.gov/pmc/blobs/a5d9/6250546/916c41d0af06/medi-97-e13096-g001.jpg

文献AI研究员

20分钟写一篇综述,助力文献阅读效率提升50倍。

立即体验

用中文搜PubMed

大模型驱动的PubMed中文搜索引擎

马上搜索

文档翻译

学术文献翻译模型,支持多种主流文档格式。

立即体验