• 文献检索
  • 文档翻译
  • 深度研究
  • 学术资讯
  • Suppr Zotero 插件Zotero 插件
  • 邀请有礼
  • 套餐&价格
  • 历史记录
应用&插件
Suppr Zotero 插件Zotero 插件浏览器插件Mac 客户端Windows 客户端微信小程序
定价
高级版会员购买积分包购买API积分包
服务
文献检索文档翻译深度研究API 文档MCP 服务
关于我们
关于 Suppr公司介绍联系我们用户协议隐私条款
关注我们

Suppr 超能文献

核心技术专利:CN118964589B侵权必究
粤ICP备2023148730 号-1Suppr @ 2026

文献检索

告别复杂PubMed语法,用中文像聊天一样搜索,搜遍4000万医学文献。AI智能推荐,让科研检索更轻松。

立即免费搜索

文件翻译

保留排版,准确专业,支持PDF/Word/PPT等文件格式,支持 12+语言互译。

免费翻译文档

深度研究

AI帮你快速写综述,25分钟生成高质量综述,智能提取关键信息,辅助科研写作。

立即免费体验

使用多种自动化分割管道,在多发性硬化症中使用 3T MRI 进行长达 5 年的全脑和深部灰质萎缩检测。

Whole brain and deep gray matter atrophy detection over 5 years with 3T MRI in multiple sclerosis using a variety of automated segmentation pipelines.

机构信息

Department of Neurology, Brigham and Women's Hospital, Harvard Medical School, Boston, Massachusetts, United States of America.

Departments of Radiology, Brigham and Women's Hospital, Harvard Medical School, Boston, Massachusetts, United States of America.

出版信息

PLoS One. 2018 Nov 8;13(11):e0206939. doi: 10.1371/journal.pone.0206939. eCollection 2018.

DOI:10.1371/journal.pone.0206939
PMID:30408094
原文链接:https://pmc.ncbi.nlm.nih.gov/articles/PMC6224096/
Abstract

BACKGROUND

Cerebral atrophy is common in multiple sclerosis (MS) and selectively involves gray matter (GM). Several fully automated methods are available to measure whole brain and regional deep GM (DGM) atrophy from MRI.

OBJECTIVE

To assess the sensitivity of fully automated MRI segmentation pipelines in detecting brain atrophy in patients with relapsing-remitting (RR) MS and normal controls (NC) over five years.

METHODS

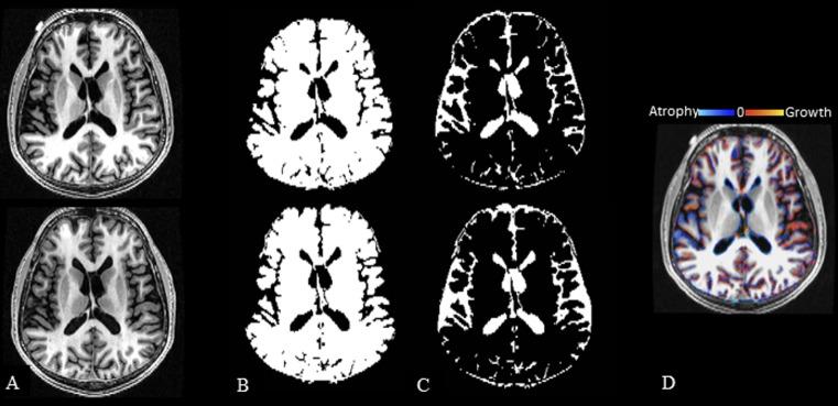
Consistent 3D T1-weighted sequences were performed on a 3T GE unit in 16 mildly disabled patients with RRMS and 16 age-matched NC at baseline and five years. All patients received disease-modifying immunotherapy on-study. Images were applied to two pipelines to assess whole brain atrophy [brain parenchymal fraction (BPF) from SPM12; percentage brain volume change (PBVC) from SIENA] and two other pipelines (FSL-FIRST; FreeSurfer) to assess DGM atrophy (thalamus, caudate, globus pallidus, putamen). MRI change was compared by two sample t-tests. Expanded Disability Status Scale (EDSS) and timed 25-foot walk (T25FW) change was compared by repeated measures proportional odds models.

RESULTS

Using FreeSurfer, the MS group had a ~10-fold acceleration in on-study volume loss than NC in the caudate (mean decrease 0.51 vs. 0.05 ml, p = 0.022). In contrast, caudate atrophy was not detected by FSL-FIRST (mean decrease 0.21 vs. 0.12 ml, p = 0.53). None of the other pipelines showed any difference in volume loss between groups, for whole brain or regional DGM atrophy (all p>0.38). The MS group showed on-study stability on EDSS (p = 0.47) but slight worsening of T25FW (p = 0.054).

CONCLUSIONS

In this real-world cohort of mildly disabled treated patients with RRMS, we identified ongoing atrophy of the caudate nucleus over five years, despite the lack of any significant whole brain atrophy, compared to healthy controls. The detectability of caudate atrophy was dependent on the MRI segmentation pipeline employed. These findings underscore the increased sensitivity gained when assessing DGM atrophy in monitoring MS.

摘要

背景

脑萎缩在多发性硬化症(MS)中很常见,并且选择性地涉及灰质(GM)。有几种完全自动化的方法可从 MRI 测量全脑和区域深部 GM(DGM)萎缩。

目的

评估完全自动化的 MRI 分割管道在五年内检测复发缓解型(RR)MS 患者和正常对照(NC)的脑萎缩的敏感性。

方法

在基线和五年时,在 3T GE 单元上对 16 名轻度残疾 RRMS 患者和 16 名年龄匹配的 NC 进行了一致的 3D T1 加权序列。所有患者均在研究期间接受了疾病修正免疫疗法。将图像应用于两个管道以评估全脑萎缩[来自 SPM12 的脑实质分数(BPF);来自 SIENA 的脑容量变化百分比(PBVC)]和另外两个管道(FSL-FIRST;FreeSurfer)以评估 DGM 萎缩(丘脑,尾状核,苍白球,壳核)。通过双样本 t 检验比较 MRI 变化。通过重复测量比例优势模型比较扩展残疾状况量表(EDSS)和 25 英尺步行计时(T25FW)变化。

结果

使用 FreeSurfer,MS 组在研究过程中的体积损失速度比 NC 快约 10 倍在尾状核中(平均减少 0.51 与 0.05 ml,p = 0.022)。相比之下,FSL-FIRST 未检测到尾状核萎缩(平均减少 0.21 与 0.12 ml,p = 0.53)。在全脑或区域 DGM 萎缩方面,没有其他管道显示组间任何体积损失差异(均 p>0.38)。MS 组在 EDSS 上显示研究期间的稳定性(p = 0.47),但 T25FW 略有恶化(p = 0.054)。

结论

在这项针对接受治疗的轻度残疾 RRMS 患者的真实世界队列研究中,与健康对照相比,我们发现尽管没有明显的全脑萎缩,但在五年内仍存在尾状核持续萎缩。尾状核萎缩的可检测性取决于所使用的 MRI 分割管道。这些发现强调了在监测 MS 时评估 DGM 萎缩所获得的更高敏感性。

https://cdn.ncbi.nlm.nih.gov/pmc/blobs/26cb/6224096/77e6d65d631d/pone.0206939.g006.jpg
https://cdn.ncbi.nlm.nih.gov/pmc/blobs/26cb/6224096/6fbb6618e1ae/pone.0206939.g001.jpg
https://cdn.ncbi.nlm.nih.gov/pmc/blobs/26cb/6224096/2eb0d697325c/pone.0206939.g002.jpg
https://cdn.ncbi.nlm.nih.gov/pmc/blobs/26cb/6224096/b290da1cc497/pone.0206939.g003.jpg
https://cdn.ncbi.nlm.nih.gov/pmc/blobs/26cb/6224096/9447138cdf10/pone.0206939.g004.jpg
https://cdn.ncbi.nlm.nih.gov/pmc/blobs/26cb/6224096/854669213058/pone.0206939.g005.jpg
https://cdn.ncbi.nlm.nih.gov/pmc/blobs/26cb/6224096/77e6d65d631d/pone.0206939.g006.jpg
https://cdn.ncbi.nlm.nih.gov/pmc/blobs/26cb/6224096/6fbb6618e1ae/pone.0206939.g001.jpg
https://cdn.ncbi.nlm.nih.gov/pmc/blobs/26cb/6224096/2eb0d697325c/pone.0206939.g002.jpg
https://cdn.ncbi.nlm.nih.gov/pmc/blobs/26cb/6224096/b290da1cc497/pone.0206939.g003.jpg
https://cdn.ncbi.nlm.nih.gov/pmc/blobs/26cb/6224096/9447138cdf10/pone.0206939.g004.jpg
https://cdn.ncbi.nlm.nih.gov/pmc/blobs/26cb/6224096/854669213058/pone.0206939.g005.jpg
https://cdn.ncbi.nlm.nih.gov/pmc/blobs/26cb/6224096/77e6d65d631d/pone.0206939.g006.jpg

相似文献

1
Whole brain and deep gray matter atrophy detection over 5 years with 3T MRI in multiple sclerosis using a variety of automated segmentation pipelines.使用多种自动化分割管道,在多发性硬化症中使用 3T MRI 进行长达 5 年的全脑和深部灰质萎缩检测。
PLoS One. 2018 Nov 8;13(11):e0206939. doi: 10.1371/journal.pone.0206939. eCollection 2018.
2
Automated segmentation of cerebral deep gray matter from MRI scans: effect of field strength on sensitivity and reliability.基于磁共振成像扫描的脑深部灰质自动分割:场强对敏感性和可靠性的影响
BMC Neurol. 2017 Sep 5;17(1):172. doi: 10.1186/s12883-017-0949-4.
3
Sample size requirements for one-year treatment effects using deep gray matter volume from 3T MRI in progressive forms of multiple sclerosis.利用3T磁共振成像(MRI)的深部灰质体积对进展型多发性硬化症一年治疗效果的样本量要求。
Int J Neurosci. 2017 Nov;127(11):971-980. doi: 10.1080/00207454.2017.1283313. Epub 2017 Feb 2.
4
The role of 7 T MRI to assess atrophy of the subcortical deep gray matter in relapsing-remitting multiple sclerosis.7T MRI 在评估复发缓解型多发性硬化症患者皮质下深灰质萎缩中的作用。
J Neurol. 2024 Oct;271(10):6935-6943. doi: 10.1007/s00415-024-12656-y. Epub 2024 Sep 6.
5
The Effect of Dimethyl Fumarate on Cerebral Gray Matter Atrophy in Multiple Sclerosis.富马酸二甲酯对多发性硬化症脑灰质萎缩的影响。
Neurol Ther. 2016 Dec;5(2):215-229. doi: 10.1007/s40120-016-0054-4. Epub 2016 Oct 15.
6
Deep gray matter volume loss drives disability worsening in multiple sclerosis.深部灰质体积损失导致多发性硬化症残疾恶化。
Ann Neurol. 2018 Feb;83(2):210-222. doi: 10.1002/ana.25145. Epub 2018 Feb 6.
7
Whole Brain Volume Measured from 1.5T versus 3T MRI in Healthy Subjects and Patients with Multiple Sclerosis.在健康受试者和多发性硬化症患者中,通过1.5T与3T磁共振成像测量全脑体积。
J Neuroimaging. 2016 Jan-Feb;26(1):62-7. doi: 10.1111/jon.12271. Epub 2015 Jun 28.
8
A two-year study using cerebral gray matter volume to assess the response to fingolimod therapy in multiple sclerosis.一项为期两年的研究使用大脑灰质体积来评估多发性硬化症中 fingolimod 治疗的反应。
J Neurol Sci. 2017 Dec 15;383:221-229. doi: 10.1016/j.jns.2017.10.019. Epub 2017 Oct 16.
9
Whole-brain atrophy assessed by proportional- versus registration-based pipelines from 3T MRI in multiple sclerosis.3T MRI 基于比例和配准的全脑萎缩评估在多发性硬化中的应用。
Brain Behav. 2018 Aug;8(8):e01068. doi: 10.1002/brb3.1068. Epub 2018 Jul 18.
10
Subcortical brain segmentation of two dimensional T1-weighted data sets with FMRIB's Integrated Registration and Segmentation Tool (FIRST).使用FMRIB综合注册与分割工具(FIRST)对二维T1加权数据集进行皮质下脑部分割。
Neuroimage Clin. 2014 Nov 18;7:43-52. doi: 10.1016/j.nicl.2014.11.010. eCollection 2015.

引用本文的文献

1
A systematic literature review of the association between global brain atrophy and the Expanded Disability Status Scale score in people with multiple sclerosis.一项关于全球脑萎缩与多发性硬化症患者扩展残疾状态量表评分之间关联的系统文献综述。
Ther Adv Neurol Disord. 2025 Jul 18;18:17562864241303681. doi: 10.1177/17562864241303681. eCollection 2025.
2
Percentage brain volume change in multiple sclerosis mainly reflects white matter and cortical volume.多发性硬化症的脑容量变化百分比主要反映了脑白质和皮质体积的变化。
Ann Clin Transl Neurol. 2023 Jan;10(1):130-135. doi: 10.1002/acn3.51700. Epub 2022 Nov 25.
3
Research and Analysis of Brain Glioma Imaging Based on Deep Learning.

本文引用的文献

1
Whole-brain atrophy assessed by proportional- versus registration-based pipelines from 3T MRI in multiple sclerosis.3T MRI 基于比例和配准的全脑萎缩评估在多发性硬化中的应用。
Brain Behav. 2018 Aug;8(8):e01068. doi: 10.1002/brb3.1068. Epub 2018 Jul 18.
2
Deep gray matter volume loss drives disability worsening in multiple sclerosis.深部灰质体积损失导致多发性硬化症残疾恶化。
Ann Neurol. 2018 Feb;83(2):210-222. doi: 10.1002/ana.25145. Epub 2018 Feb 6.
3
Dual-Sensitivity Multiple Sclerosis Lesion and CSF Segmentation for Multichannel 3T Brain MRI.
基于深度学习的脑胶质瘤影像研究与分析。
J Healthc Eng. 2021 Nov 18;2021:3426080. doi: 10.1155/2021/3426080. eCollection 2021.
4
The effect of gadolinium-based contrast-agents on automated brain atrophy measurements by FreeSurfer in patients with multiple sclerosis.钆基对比剂对多发性硬化症患者自动脑萎缩测量的 FreeSurfer 影响。
Eur Radiol. 2022 May;32(5):3576-3587. doi: 10.1007/s00330-021-08405-8. Epub 2022 Jan 3.
5
Quantitative signal properties from standardized MRIs correlate with multiple sclerosis disability.标准化 MRI 的定量信号特征与多发性硬化症的残疾程度相关。
Ann Clin Transl Neurol. 2021 May;8(5):1096-1109. doi: 10.1002/acn3.51354. Epub 2021 May 4.
6
Brain atrophy in multiple sclerosis: mechanisms, clinical relevance and treatment options.多发性硬化症中的脑萎缩:机制、临床相关性及治疗选择。
Auto Immun Highlights. 2019 Aug 10;10(1):7. doi: 10.1186/s13317-019-0117-5. eCollection 2019 Dec.
7
Brain MRI Predicts Worsening Multiple Sclerosis Disability over 5 Years in the SUMMIT Study.脑 MRI 预测 SUMMIT 研究中 5 年内多发性硬化症残疾恶化。
J Neuroimaging. 2020 Mar;30(2):212-218. doi: 10.1111/jon.12688. Epub 2020 Jan 29.
8
Quantitative magnetic resonance assessment of brain atrophy related to selected aspects of disability in patients with multiple sclerosis: preliminary results.多发性硬化症患者脑萎缩与特定残疾方面相关性的定量磁共振评估:初步结果
Pol J Radiol. 2019 Apr 2;84:e171-e178. doi: 10.5114/pjr.2019.84274. eCollection 2019.
用于多通道3T脑MRI的双敏感性多发性硬化病变和脑脊液分割
J Neuroimaging. 2018 Jan;28(1):36-47. doi: 10.1111/jon.12491. Epub 2017 Dec 13.
4
Reproducibility of Deep Gray Matter Atrophy Rate Measurement in a Large Multicenter Dataset.在大型多中心数据集中文献中深度灰质体积衰减率测量的可重复性。
AJNR Am J Neuroradiol. 2018 Jan;39(1):46-53. doi: 10.3174/ajnr.A5459. Epub 2017 Nov 30.
5
Automated segmentation of cerebral deep gray matter from MRI scans: effect of field strength on sensitivity and reliability.基于磁共振成像扫描的脑深部灰质自动分割:场强对敏感性和可靠性的影响
BMC Neurol. 2017 Sep 5;17(1):172. doi: 10.1186/s12883-017-0949-4.
6
Teriflunomide slows BVL in relapsing MS: A reanalysis of the TEMSO MRI data set using SIENA.特立氟胺可减缓复发型多发性硬化症的脑容量损失:使用SIENA对TEMSO MRI数据集进行的重新分析
Neurol Neuroimmunol Neuroinflamm. 2017 Aug 9;4(5):e390. doi: 10.1212/NXI.0000000000000390. eCollection 2017 Sep.
7
Agreement of MSmetrix with established methods for measuring cross-sectional and longitudinal brain atrophy.MSmetrix 与用于测量脑横断面积和纵向萎缩的既定方法的一致性。
Neuroimage Clin. 2017 Jun 30;15:843-853. doi: 10.1016/j.nicl.2017.06.034. eCollection 2017.
8
Volumetric Analysis from a Harmonized Multisite Brain MRI Study of a Single Subject with Multiple Sclerosis.来自对一名多发性硬化症单一受试者的多站点脑磁共振成像(MRI)协调研究的容积分析。
AJNR Am J Neuroradiol. 2017 Aug;38(8):1501-1509. doi: 10.3174/ajnr.A5254. Epub 2017 Jun 22.
9
A Novel Semiautomated Pipeline to Measure Brain Atrophy and Lesion Burden in Multiple Sclerosis: A Long-Term Comparative Study.一种用于测量多发性硬化症脑萎缩和病变负荷的新型半自动流程:一项长期比较研究。
J Neuroimaging. 2017 Nov;27(6):620-629. doi: 10.1111/jon.12445. Epub 2017 May 2.
10
Brain Atrophy in Multiple Sclerosis: Clinical Relevance and Technical Aspects.多发性硬化症中的脑萎缩:临床相关性与技术层面
Neuroimaging Clin N Am. 2017 May;27(2):289-300. doi: 10.1016/j.nic.2017.01.002. Epub 2017 Feb 20.