Suppr超能文献

在健康受试者和多发性硬化症患者中,通过1.5T与3T磁共振成像测量全脑体积。

Whole Brain Volume Measured from 1.5T versus 3T MRI in Healthy Subjects and Patients with Multiple Sclerosis.

作者信息

Chu Renxin, Tauhid Shahamat, Glanz Bonnie I, Healy Brian C, Kim Gloria, Oommen Vinit V, Khalid Fariha, Neema Mohit, Bakshi Rohit

机构信息

Departments of Neurology, Brigham and Women's Hospital, Laboratory for Neuroimaging Research, Partners MS Center, Harvard Medical School, Boston, MA.

Departments of Radiology, Brigham and Women's Hospital, Laboratory for Neuroimaging Research, Partners MS Center, Harvard Medical School, Boston, MA.

出版信息

J Neuroimaging. 2016 Jan-Feb;26(1):62-7. doi: 10.1111/jon.12271. Epub 2015 Jun 28.

Abstract

BACKGROUND

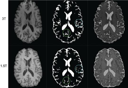
Whole brain atrophy is a putative outcome measure in monitoring relapsing-remitting multiple sclerosis (RRMS). With the ongoing MRI transformation from 1.5T to 3T, there is an unmet need to calibrate this change. We evaluated brain parenchymal volumes (BPVs) from 1.5T versus 3T in MS and normal controls (NC).

METHODS

We studied MS [n = 26, age (mean, range) 43 (21-55), 22 (85%) RRMS, Expanded Disability Status Scale (EDSS) 1.98 (0-6.5), timed 25 foot walk (T25FW) 5.95 (3.2-33.0 seconds)] and NC [n = 9, age 45 (31-53)]. Subjects underwent 1.5T (Phillips) and 3T (GE) 3-dimensional T1-weighted scans to derive normalized BPV from an automated SIENAX pipeline. Neuropsychological testing was according to consensus panel recommendations.

RESULTS

BPV-1.5T was higher than BPV-3T [mean (95% CI) + 45.7 mL (+35.3, +56.1), P < .00001], most likely due to improved tissue-CSF contrast at 3T. BPV-3T showed a larger volume decrease and larger effect size in detecting brain atrophy in MS versus NC [-74.5 mL (-126.5, -22.5), P = .006, d = .92] when compared to BPV-1.5T [-51.3.1 mL (-99.8, -2.8), P = .04, d = .67]. Correlations between BPV-1.5T and EDSS (r = -.43, P = .027) and BPV-3T and EDSS (r = -.49, P = .011) and between BPV-1.5T and T25FW (r = -.46, P = .018) and BPV-3T and T25FW (r = -.56, P = .003) slightly favored 3T. BPV-cognition correlations were significant (P < .05) for 6 of 11 subscales to a similar degree at 1.5T (r range = .44-.58) and 3T (r range = .43-.53).

CONCLUSIONS

Field strength may impact whole brain volume measurements in patients with MS though the differences are not too divergent between 1.5T and 3T.

摘要

背景

全脑萎缩是监测复发缓解型多发性硬化症(RRMS)的一项假定结果指标。随着MRI从1.5T向3T的持续转变,校准这种变化的需求尚未得到满足。我们评估了MS患者和正常对照(NC)在1.5T与3T条件下的脑实质体积(BPV)。

方法

我们研究了MS患者[n = 26,年龄(均值,范围)43(21 - 55)岁,22例(85%)为RRMS,扩展残疾状态量表(EDSS)1.98(0 - 6.5),25英尺步行时间(T25FW)5.95(3.2 - 33.0秒)]和NC组[n = 9,年龄45(31 - 53)岁]。受试者接受了1.5T(飞利浦)和3T(GE)三维T1加权扫描,以通过自动化的SIENAX流程得出标准化的BPV。神经心理学测试遵循共识小组的建议。

结果

BPV - 1.5T高于BPV - 3T[均值(95%CI)+ 45.7 mL(+35.3,+56.1),P <.00001],最可能的原因是3T时组织 - 脑脊液对比度提高。与BPV - 1.5T[-51.31 mL(-99.8,-2.8),P =.04,d =.67]相比,BPV - 3T在检测MS患者脑萎缩方面显示出更大的体积减少和更大的效应量[-74.5 mL(-126.5,-22.5),P =.006,d =.92]。BPV - 1.5T与EDSS(r = -.43,P =.027)、BPV - 3T与EDSS(r = -.49,P =.011)以及BPV - 1.5T与T25FW(r = -.46,P =.018)、BPV - 3T与T25FW(r = -.56,P =.003)之间的相关性略微更支持3T。BPV与认知的相关性在1.5T(r范围 =.44 -.58)和3T(r范围 =.43 -.53)时,11个分量表中有6个具有显著相关性(P <.05),程度相似。

结论

场强可能会影响MS患者的全脑体积测量,尽管1.5T和3T之间的差异并非太大。

https://cdn.ncbi.nlm.nih.gov/pmc/blobs/a46b/4755143/ce089e9992f9/JON-26-62-g001.jpg

文献AI研究员

20分钟写一篇综述,助力文献阅读效率提升50倍。

立即体验

用中文搜PubMed

大模型驱动的PubMed中文搜索引擎

马上搜索

文档翻译

学术文献翻译模型,支持多种主流文档格式。

立即体验