Suppr超能文献

经皮全内镜关节突部分切除术治疗侧隐窝狭窄和腰椎管狭窄症:技术报告和疗效分析。

Percutaneous Total Endoscopic Resection of Partial Articular Processes for Treatment of Lateral Crypt Stenosis and Lumbar Spinal Stenosis: Technical Report and Efficacy Analysis.

机构信息

Department of Spinal Surgery, The First Affiliated Hospital of Zunyi Medical College, Zunyi 563000, China.

出版信息

Biomed Res Int. 2018 Oct 18;2018:9130182. doi: 10.1155/2018/9130182. eCollection 2018.

Abstract

OBJECTIVE

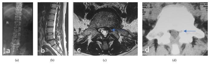
To observe the clinical curative effect of posterior total endoscopic precision decompression for the treatment of single-segment lateral crypt lumbar spinal stenosis (LSS).

METHOD

A total of 27 patients with single-segment LSS satisfying the inclusion criteria were recruited from July 2013 to September 2015. There were 18 cases of unilateral stenosis of the L segments and 9 cases of unilateral stenosis of the L-S segment. All patients were treated via the posterior approach with the precise lateral crypt decompression technique. Precise decompression was performed on the narrow areas causing clinical symptoms. Clinical efficacy was assessed at 3 days, 3 months, 6 months, and 2 years after surgery. Low-back pain and sciatic nerve pain assessed by visual analog scale (VAS) score and the functional Oswestry Disability Index (ODI) were used to evaluate lumbar function, and modified MacNab score criteria were used to investigate long-term efficacy.

RESULT

All patients completed the operation successfully, and the follow-up time was 2 years. The VAS score of lumbago was lower after than before surgery (preoperative: 6.96±0.90; postoperative: 2.04±1.02, P<0.05). The VAS score of sciatica was also lower after than before surgery (preoperative: 7.19±0.88, postoperative: 1.93±0.92, P<0.05), and the ODI was improved at the last follow-up (29.62±4.26) % compared with before surgery (80.07±3.98) %. The MacNab efficacy evaluation showed improvement at the end of the follow-up period: 20 cases were excellent, 6 cases were good, and 1 case was satisfactory, with a good/excellent rate of 96%. No surgical site infections, iatrogenic nerve root injuries, epidural hematomas, or other complications occurred.

CONCLUSION

Total endoscopic decompression of posterior facet arthrodesis for the treatment of single-segment lateral crypt LSS has the advantages of safety, reduced recurrence and trauma, and a satisfactory curative effect. This trial is registered with ChiCTR1800015628.

摘要

目的

观察后路全内镜精准减压治疗单节段侧隐窝腰椎管狭窄症(LSS)的临床疗效。

方法

回顾性分析 2013 年 7 月至 2015 年 9 月符合纳入标准的 27 例单节段 LSS 患者,其中单侧 L 节段狭窄 18 例,单侧 L-S 节段狭窄 9 例。均采用后路精准侧隐窝减压技术治疗,对引起临床症状的狭窄区域进行精准减压。术后 3d、3 个月、6 个月及 2 年分别评估临床疗效。采用视觉模拟评分(VAS)评分和功能 Oswestry 残疾指数(ODI)评估腰痛和坐骨神经痛,评价腰椎功能;采用改良 MacNab 评分标准评价长期疗效。

结果

所有患者均顺利完成手术,随访时间 2 年。术后腰痛 VAS 评分较术前降低(术前 6.96±0.90,术后 2.04±1.02,P<0.05);术后坐骨神经痛 VAS 评分较术前降低(术前 7.19±0.88,术后 1.93±0.92,P<0.05),末次随访 ODI 较术前改善(29.62±4.26)%。末次随访 MacNab 疗效评估结果为优 20 例、良 6 例、可 1 例,优良率 96%。无手术部位感染、医源性神经根损伤、硬膜外血肿等并发症发生。

结论

后路全内镜下关节突融合术治疗单节段侧隐窝 LSS 安全有效,复发率和创伤小,疗效满意。本研究经过 ChiCTR1800015628 号注册。

https://cdn.ncbi.nlm.nih.gov/pmc/blobs/a097/6211200/3692956bbd54/BMRI2018-9130182.001.jpg

文献AI研究员

20分钟写一篇综述,助力文献阅读效率提升50倍。

立即体验

用中文搜PubMed

大模型驱动的PubMed中文搜索引擎

马上搜索

文档翻译

学术文献翻译模型,支持多种主流文档格式。

立即体验