Suppr超能文献

Multiple Pulmonary Metastases of Cutaneous Squamous Cell Carcinoma.

作者信息

Kushima Hisako, Ishii Hiroshi, Shima Rikako, Kinoshita Yoshiaki, Watanabe Kentaro, Fujita Masaki

机构信息

Department of Respiratory Medicine, Fukuoka University Hospital, Japan.

出版信息

Intern Med. 2019 Mar 15;58(6):833-835. doi: 10.2169/internalmedicine.1889-18. Epub 2018 Nov 19.

Abstract

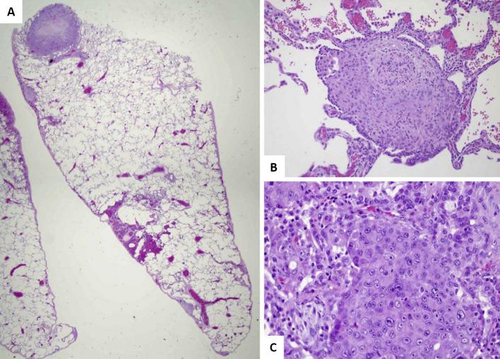
We herein report a rare case of diffuse pulmonary metastasis occurring approximately one year after surgical excision of cutaneous squamous cell carcinoma that had been thought to be stage I with a free margin of healthy tissue. In addition, this case had chest imaging findings unusual for a skin cancer patient, showing a miliary pattern on computed tomography (CT). Distant metastases may develop even if early-stage cutaneous squamous cell carcinoma is completely resected. When observing a miliary shadow on chest CT, metastatic lung tumor from skin cancer should be considered as a differential diagnosis.

摘要
https://cdn.ncbi.nlm.nih.gov/pmc/blobs/56be/6465019/8e744dfa0ba1/1349-7235-58-0833-g001.jpg

文献AI研究员

20分钟写一篇综述,助力文献阅读效率提升50倍。

立即体验

用中文搜PubMed

大模型驱动的PubMed中文搜索引擎

马上搜索

文档翻译

学术文献翻译模型,支持多种主流文档格式。

立即体验