• 文献检索
  • 文档翻译
  • 深度研究
  • 学术资讯
  • Suppr Zotero 插件Zotero 插件
  • 邀请有礼
  • 套餐&价格
  • 历史记录
应用&插件
Suppr Zotero 插件Zotero 插件浏览器插件Mac 客户端Windows 客户端微信小程序
定价
高级版会员购买积分包购买API积分包
服务
文献检索文档翻译深度研究API 文档MCP 服务
关于我们
关于 Suppr公司介绍联系我们用户协议隐私条款
关注我们

Suppr 超能文献

核心技术专利:CN118964589B侵权必究
粤ICP备2023148730 号-1Suppr @ 2026

文献检索

告别复杂PubMed语法,用中文像聊天一样搜索,搜遍4000万医学文献。AI智能推荐,让科研检索更轻松。

立即免费搜索

文件翻译

保留排版,准确专业,支持PDF/Word/PPT等文件格式,支持 12+语言互译。

免费翻译文档

深度研究

AI帮你快速写综述,25分钟生成高质量综述,智能提取关键信息,辅助科研写作。

立即免费体验

Harmaline诱导震颤中细胞表面死亡受体介导的凋亡因子的小脑上调:一项免疫组织化学研究

Cerebellar Upregulation of Cell Surface Death Receptor-Mediated Apoptotic Factors in Harmaline-Induced Tremor: An Immunohistochemistry Study.

作者信息

Erekat Nour S

机构信息

Department of Anatomy, Faculty of Medicine, Jordan University of Science and Technology, Irbid, Jordan.

出版信息

J Cell Death. 2018 Nov 5;11:1179066018809091. doi: 10.1177/1179066018809091. eCollection 2018.

DOI:10.1177/1179066018809091
PMID:30450003
原文链接:https://pmc.ncbi.nlm.nih.gov/articles/PMC6236486/
Abstract

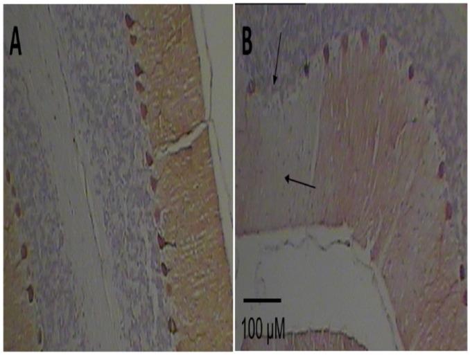
Active caspase-3-mediated apoptosis has been implicated in the pathogenesis of harmaline-induced tremor. The aim of this study is to illustrate the impact of tremor induction on the expression of factors mediating the cell surface death receptor-dependent apoptosis. A total of 20 normal Wistar rats were randomly selected and equally divided into control and experimental groups. Tremor was induced in the experimental group by injecting the rats with a single dose of harmaline (50 mg/kg). After that, cerebellar tissues were evaluated by immunohistochemistry to examine the expression of tumor necrosis factor α (TNF-α) and active caspase-8 in the 2 groups of animals. TNF-α and active caspase-8 expression was significantly higher in cerebella from experimental rats compared with that in those from the control rats ( value < .01). Thus, our present data suggest the association of tremor induction with the cerebellar overexpression of TNF-α and active caspase-8, correlative with Purkinje cell (PC) loss indicated by loss of calbindin immunoreactivity, indicating the induction of the cell surface death receptor-mediated apoptosis.

摘要

活性半胱天冬酶-3介导的细胞凋亡与骆驼蓬碱诱发的震颤的发病机制有关。本研究的目的是阐明震颤诱导对介导细胞表面死亡受体依赖性细胞凋亡的因子表达的影响。总共随机选择20只正常Wistar大鼠,并将其平均分为对照组和实验组。通过给大鼠注射单剂量的骆驼蓬碱(50mg/kg)在实验组中诱发震颤。之后,通过免疫组织化学评估小脑组织,以检查两组动物中肿瘤坏死因子α(TNF-α)和活性半胱天冬酶-8的表达。与对照组大鼠相比,实验组大鼠小脑中TNF-α和活性半胱天冬酶-8的表达明显更高(P值<0.01)。因此,我们目前的数据表明震颤诱导与小脑TNF-α和活性半胱天冬酶-8的过表达相关,这与钙结合蛋白免疫反应性丧失所表明的浦肯野细胞(PC)丢失相关,表明细胞表面死亡受体介导的细胞凋亡被诱导。

https://cdn.ncbi.nlm.nih.gov/pmc/blobs/184d/6236486/cf5e29435084/10.1177_1179066018809091-fig3.jpg
https://cdn.ncbi.nlm.nih.gov/pmc/blobs/184d/6236486/b65e51d16c7b/10.1177_1179066018809091-fig1.jpg
https://cdn.ncbi.nlm.nih.gov/pmc/blobs/184d/6236486/152e7ddb8ec1/10.1177_1179066018809091-fig2.jpg
https://cdn.ncbi.nlm.nih.gov/pmc/blobs/184d/6236486/cf5e29435084/10.1177_1179066018809091-fig3.jpg
https://cdn.ncbi.nlm.nih.gov/pmc/blobs/184d/6236486/b65e51d16c7b/10.1177_1179066018809091-fig1.jpg
https://cdn.ncbi.nlm.nih.gov/pmc/blobs/184d/6236486/152e7ddb8ec1/10.1177_1179066018809091-fig2.jpg
https://cdn.ncbi.nlm.nih.gov/pmc/blobs/184d/6236486/cf5e29435084/10.1177_1179066018809091-fig3.jpg

相似文献

1
Cerebellar Upregulation of Cell Surface Death Receptor-Mediated Apoptotic Factors in Harmaline-Induced Tremor: An Immunohistochemistry Study.Harmaline诱导震颤中细胞表面死亡受体介导的凋亡因子的小脑上调:一项免疫组织化学研究
J Cell Death. 2018 Nov 5;11:1179066018809091. doi: 10.1177/1179066018809091. eCollection 2018.
2
The effect of memantine in harmaline-induced tremor and neurodegeneration.美金刚对苦杏仁碱诱导的震颤和神经退行性变的影响。
Neuropharmacology. 2011 Sep;61(4):715-23. doi: 10.1016/j.neuropharm.2011.05.015. Epub 2011 May 27.
3
Functional Antagonism of Sphingosine-1-Phosphate Receptor 1 Prevents Harmaline-Induced Ultrastructural Alterations and Caspase-3 Mediated Apoptosis.鞘氨醇-1-磷酸受体1的功能性拮抗作用可预防harmaline诱导的超微结构改变和半胱天冬酶-3介导的细胞凋亡。
Malays J Med Sci. 2019 Jul;26(4):28-38. doi: 10.21315/mjms2019.26.4.4. Epub 2019 Aug 29.
4
EMG analysis of harmaline-induced tremor in normal and three strains of mutant mice with Purkinje cell degeneration and the role of the inferior olive.正常小鼠和三种浦肯野细胞变性突变小鼠中harmaline诱导震颤的肌电图分析及下橄榄核的作用
J Neurophysiol. 1995 Jun;73(6):2568-77. doi: 10.1152/jn.1995.73.6.2568.
5
Effects of riluzole on harmaline induced tremor and ataxia in rats: biochemical, histological and behavioral studies.利鲁唑对苦杏仁碱诱导的大鼠震颤和共济失调的影响:生化、组织学和行为研究。
Eur J Pharmacol. 2012 Nov 15;695(1-3):40-7. doi: 10.1016/j.ejphar.2012.08.014. Epub 2012 Sep 5.
6
Lu AF21934, a positive allosteric modulator of mGlu4 receptors, reduces the harmaline-induced hyperactivity but not tremor in rats.Lu AF21934,一种代谢型谷氨酸受体4(mGlu4)的正向变构调节剂,可减轻大鼠中槟榔碱诱导的多动,但不能减轻震颤。
Neuropharmacology. 2014 Aug;83:28-35. doi: 10.1016/j.neuropharm.2014.03.018. Epub 2014 Apr 12.
7
Ethanol effects on harmaline-induced tremor and increase of cerebellar cyclic GMP.乙醇对 harmaline 诱导的震颤及小脑环磷酸鸟苷增加的影响。
Life Sci. 1984 Jan 2;34(1):49-56. doi: 10.1016/0024-3205(84)90329-1.
8
Allele-dependent changes of olivocerebellar circuit properties in the absence of the voltage-gated potassium channels Kv3.1 and Kv3.3.在缺乏电压门控钾通道Kv3.1和Kv3.3的情况下,橄榄小脑回路特性的等位基因依赖性变化。
Eur J Neurosci. 2004 Jun;19(12):3317-27. doi: 10.1111/j.0953-816X.2004.03385.x.
9
A partial lesion of the substantia nigra pars compacta and retrorubral field decreases the harmaline-induced glutamate release in the rat cerebellum.黑质致密部和红核后部区域的部分损伤可减少荷包牡丹碱诱导的大鼠小脑谷氨酸释放。
Brain Res. 2013 Nov 6;1537:303-11. doi: 10.1016/j.brainres.2013.08.059. Epub 2013 Sep 5.
10
Minocycline Mitigation of Tremor Syndrome and Defect of Cognitive and Balance Induced by Harmaline.米诺环素减轻骆驼蓬碱诱导的震颤综合征以及认知和平衡缺陷。
Basic Clin Neurosci. 2021 Mar-Apr;12(2):255-268. doi: 10.32598/bcn.12.2.1980.1. Epub 2021 Mar 1.

引用本文的文献

1
Programmed Cell Death in Diabetic Nephropathy: A Review of Apoptosis, Autophagy, and Necroptosis.糖尿病肾病中的细胞程序性死亡:细胞凋亡、自噬和坏死性凋亡的综述。
Med Sci Monit. 2022 Aug 22;28:e937766. doi: 10.12659/MSM.937766.
2
Role of Induced Programmed Cell Death in the Chemopreventive Potential of Apigenin.诱导细胞程序性死亡在芹菜素化学预防潜力中的作用。
Int J Mol Sci. 2022 Mar 29;23(7):3757. doi: 10.3390/ijms23073757.
3
Endurance exercise training suppresses myostatin upregulation and nuclear factor-kappa B activation in a mouse model of Parkinson's disease.

本文引用的文献

1
Interleukin-1 Beta and Tumor Necrosis Factor Alpha Upregulation and Nuclear Factor Kappa B Activation in Skeletal Muscle from a Mouse Model of Chronic/Progressive Parkinson Disease.白细胞介素-1β和肿瘤坏死因子-α在慢性/进行性帕金森病小鼠模型骨骼肌中的上调和核因子κB 的激活。
Med Sci Monit. 2018 Oct 22;24:7524-7531. doi: 10.12659/MSM.909032.
2
STN vs. GPi deep brain stimulation for tremor suppression in Parkinson disease: A systematic review and meta-analysis.STN 与 GPi 脑深部电刺激治疗帕金森病震颤的疗效比较:系统评价和荟萃分析。
Parkinsonism Relat Disord. 2019 Jan;58:56-62. doi: 10.1016/j.parkreldis.2018.08.017. Epub 2018 Aug 28.
3
耐力运动训练可抑制帕金森病小鼠模型中肌肉生长抑制素的上调和核因子-κB的激活。
Vet World. 2022 Feb;15(2):383-389. doi: 10.14202/vetworld.2022.383-389. Epub 2022 Feb 18.
Association of Parkinson Disease Induction with Cardiac Upregulation of Apoptotic Mediators P53 and Active Caspase-3: An Immunohistochemistry Study.
帕金森病诱发与凋亡介质P53和活性半胱天冬酶-3的心脏上调之间的关联:一项免疫组织化学研究
Med Sci Monit Basic Res. 2018 Aug 23;24:120-126. doi: 10.12659/MSMBR.910307.
4
Levodopa-responsive truncal tremor in a patient with spinocerebellar ataxia type 3.一名患有3型脊髓小脑共济失调的患者出现左旋多巴反应性躯干震颤。
J Neurol Sci. 2018 Sep 15;392:32-33. doi: 10.1016/j.jns.2018.06.023. Epub 2018 Jun 28.
5
Autophagy precedes apoptosis among at risk cerebellar Purkinje cells in the shaker mutant rat: an ultrastructural study.摇晃突变型大鼠中,处于危险状态的小脑浦肯野细胞自噬先于凋亡:一项超微结构研究。
Ultrastruct Pathol. 2018 Mar-Apr;42(2):162-169. doi: 10.1080/01913123.2018.1424744. Epub 2018 Feb 8.
6
Parkinson disease-induced upregulation of apoptotic mediators could be attenuated in the skeletal muscle following chronic exercise training.帕金森病引起的凋亡介质上调可在长期运动训练后的骨骼肌中得到缓解。
NeuroRehabilitation. 2017;41(4):823-830. doi: 10.3233/NRE-172196.
7
Ginkgetin inhibits proliferation of human leukemia cells via the TNF-α signaling pathway.银杏黄素通过肿瘤坏死因子-α信号通路抑制人白血病细胞的增殖。
Z Naturforsch C J Biosci. 2017 Oct 26;72(11-12):441-447. doi: 10.1515/znc-2016-0210.
8
Reduced internalization of TNF-ɑ/TNFR1 down-regulates caspase dependent phagocytosis induced cell death (PICD) in neonatal monocytes.肿瘤坏死因子-α/肿瘤坏死因子受体1(TNF-ɑ/TNFR1)内化减少会下调新生儿单核细胞中半胱天冬酶依赖性吞噬诱导的细胞死亡(PICD)。
PLoS One. 2017 Aug 9;12(8):e0182415. doi: 10.1371/journal.pone.0182415. eCollection 2017.
9
Treadmill Exercise Training Improves Vascular Endothelial Growth Factor Expression in the Cardiac Muscle of Type I Diabetic Rats.跑步机运动训练可改善Ⅰ型糖尿病大鼠心肌中血管内皮生长因子的表达。
Cardiol Res. 2014 Feb;5(1):23-29. doi: 10.14740/cr314w. Epub 2014 Feb 27.
10
Cerebellar Purkinje cells die by apoptosis in the shaker mutant rat.在摇晃突变型大鼠中,小脑浦肯野细胞通过凋亡死亡。
Brain Res. 2017 Feb 15;1657:323-332. doi: 10.1016/j.brainres.2016.12.025. Epub 2016 Dec 28.