Suppr超能文献

人出生牙牙髓干细胞及分化标志物的免疫组织化学特征

Immunohistochemical characterization of stem cell and differentiation markers of the dental pulp of human natal teeth.

作者信息

Shetty Heeresh, Kakade Adesh, Shetty Shishir, Neelakantan Prasanna, Nagar Saurabh, Desai Rajiv S, Beri Kavita

机构信息

Department of Conservative Dentistry & Endodontics Nair Hospital Dental College, Mumbai, India.

Department of Pediatric Dentistry, Nair Hospital Dental College, Mumbai, India.

出版信息

Future Sci OA. 2018 Oct 4;4(10):FSO342. doi: 10.4155/fsoa-2018-0062. eCollection 2018 Dec.

Abstract

AIM

Dental pulp stem cells, which are primarily derived from the pulp tissues of human teeth, have rarely been obtained from natal teeth. This study investigated the stem cell and differentiation markers of the dental pulp of natal teeth using immunohistochemistry.

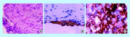
MATERIALS & METHODS: The pulp tissue from extracted natal teeth (n = 2) of a 20-day-old healthy male was examined for immunohistochemical expression of stem cell (Oct-4 and SOX 2) and differentiation markers (Nestin, CD 44, desmin, osteopontin and Ki- 67).

RESULTS

The pulp tissue of the natal teeth expressed immunopositivity for nestin, CD 44 and SOX2.

CONCLUSION

Natal teeth, if preserved properly, could serve as sources of dental pulp stem cells that are an improvement on deciduous teeth.

摘要

目的

牙髓干细胞主要来源于人类牙齿的牙髓组织,而从新生牙中获取的情况较为罕见。本研究采用免疫组织化学方法,对新生牙牙髓的干细胞及分化标志物进行研究。

材料与方法

对一名20日龄健康男性拔除的两颗新生牙的牙髓组织进行检查,以检测干细胞(Oct-4和SOX 2)和分化标志物(巢蛋白、CD 44、结蛋白、骨桥蛋白和Ki-67)的免疫组化表达。

结果

新生牙的牙髓组织对巢蛋白、CD 44和SOX2呈免疫阳性表达。

结论

如果保存得当,新生牙可作为牙髓干细胞的来源,相较于乳牙有一定优势。

https://cdn.ncbi.nlm.nih.gov/pmc/blobs/3d6e/6234461/20109bf7e87a/fsoa-04-342-g1.jpg

文献AI研究员

20分钟写一篇综述,助力文献阅读效率提升50倍。

立即体验

用中文搜PubMed

大模型驱动的PubMed中文搜索引擎

马上搜索

文档翻译

学术文献翻译模型,支持多种主流文档格式。

立即体验