Suppr超能文献

儿童造血干细胞移植后急性胃肠道移植物抗宿主病的计算机断层扫描成像

Computed tomography imaging of acute gastrointestinal graft-versus-host disease after haematopoietic stem cell transplantation in children.

作者信息

Arpaci Taner

机构信息

Department of Radiology, Acibadem Adana Hospital, Acibadem University, Adana, Turkey.

出版信息

Contemp Oncol (Pozn). 2018;22(3):178-183. doi: 10.5114/wo.2018.78932. Epub 2018 Sep 30.

Abstract

AIM OF THE STUDY

To evaluate computed tomography (CT) findings of gastrointestinal graft-versus-host disease (GI-GVHD) occurring in children after haematopoietic stem-cell transplantation (HSCT).

MATERIAL AND METHODS

From February 2013 to May 2018, 225 paediatric patients underwent HSCT. Sixty-eight patients (30%) presented with clinical diagnosis of acute GI-GVHD in the first 100 days after HSCT. Thirty-five (18 girls, 17 boys; age range, 2-18 years; mean age, 10.3 years) of 68 patients had abdominopelvic CT and included in study.

RESULTS

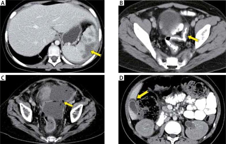
Intestinal CT abnormalities were present in 33 (94%) and extra-intestinal CT findings were in 30 (86%) patients. Thickening of the bowel wall was the most common finding (31 patients, 89%), which involved the small bowel in 29 patients (83%), colon in 16 patients (46%), and both in 15 patients (43%). Oesophageal wall thickening was present in three patients (9%), and gastric wall thickening was in eight patients (23%). Bowel dilatation was detected in 13 patients (37%). Mucosal enhancement of the bowel wall was observed in 28 patients (80%). The prevalence of the extra-intestinal CT findings were: periportal oedema in nine (26%), ascites in 15 (43%), wall thickening and enhancement of gall bladder in 13 (37%), pericholecystic fluid in six (17%), hepatomegaly in 13 (37%), and splenomegaly in nine (26%) patients. One patient (3%) demonstrated free intraperitoneal air due to intestinal perforation.

CONCLUSIONS

CT is useful to support the clinical diagnosis of acute GVHD in children with GI symptoms after HSCT. Radiological evaluation is important because early diagnosis and treatment affect the prognosis of GI-GVHD.

摘要

研究目的

评估造血干细胞移植(HSCT)后儿童发生的胃肠道移植物抗宿主病(GI-GVHD)的计算机断层扫描(CT)表现。

材料与方法

2013年2月至2018年5月,225例儿科患者接受了HSCT。68例患者(30%)在HSCT后的前100天出现急性GI-GVHD的临床诊断。68例患者中的35例(18名女孩,17名男孩;年龄范围2至18岁;平均年龄10.3岁)进行了腹部盆腔CT检查并纳入研究。

结果

33例(94%)患者存在肠道CT异常,30例(86%)患者存在肠道外CT表现。肠壁增厚是最常见的表现(31例患者,89%),其中29例(83%)累及小肠,16例(46%)累及结肠,15例(43%)两者均累及。3例患者(9%)出现食管壁增厚,8例患者(23%)出现胃壁增厚。13例患者(37%)检测到肠扩张。28例患者(80%)观察到肠壁黏膜强化。肠道外CT表现的发生率为:门静脉周围水肿9例(26%),腹水15例(43%),胆囊壁增厚及强化13例(37%),胆囊周围积液6例(17%),肝肿大13例(37%),脾肿大9例(26%)。1例患者(3%)因肠穿孔出现腹腔内游离气体。

结论

CT有助于支持HSCT后出现胃肠道症状的儿童急性GVHD的临床诊断。影像学评估很重要,因为早期诊断和治疗会影响GI-GVHD的预后。

https://cdn.ncbi.nlm.nih.gov/pmc/blobs/817c/6238089/049106bc2fad/WO-22-78932-g001.jpg

文献检索

告别复杂PubMed语法,用中文像聊天一样搜索,搜遍4000万医学文献。AI智能推荐,让科研检索更轻松。

立即免费搜索

文件翻译

保留排版,准确专业,支持PDF/Word/PPT等文件格式,支持 12+语言互译。

免费翻译文档

深度研究

AI帮你快速写综述,25分钟生成高质量综述,智能提取关键信息,辅助科研写作。

立即免费体验