Suppr超能文献

卢旺达某地区医院关于超声聚焦评估HIV相关结核病(FASH)的病例系列

Focused assessment with sonography for HIV-associated tuberculosis (FASH) case series from a Rwandan district hospital.

作者信息

Mbanjumucyo Gabin, Henwood Patricia C

机构信息

Masaka District Hospital, P.O. Box 3472, Rwanda.

Division of Emergency Ultrasound, Department of Emergency Medicine, Brigham and Women's Hospital, 75 Francis St., Boston, MA 02115, USA.

出版信息

Afr J Emerg Med. 2016 Dec;6(4):198-201. doi: 10.1016/j.afjem.2016.07.001. Epub 2016 Sep 6.

Abstract

INTRODUCTION

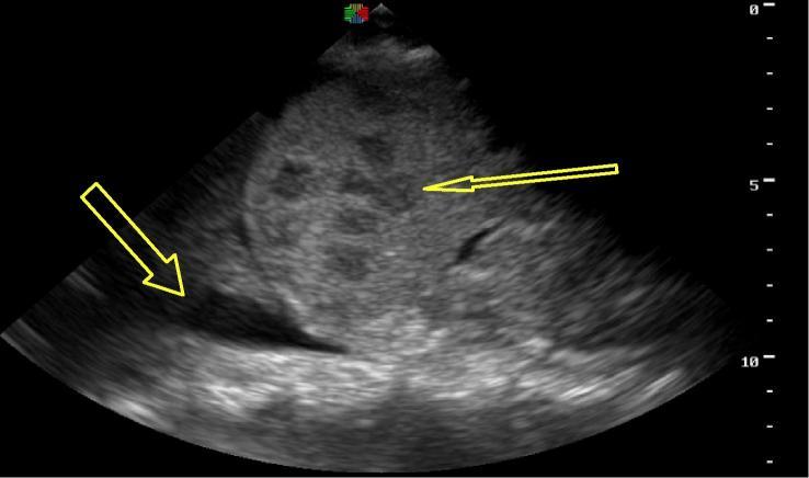
The majority of HIV-TB co-infection worldwide is reported in Africa. The risk of developing extra-pulmonary tuberculosis (EPTB) increases as immune deficiency progresses but is difficult to diagnose. Point-of-care ultrasonography (POCUS) can be an effective adjunct to identify and treat EPTB-associated findings using the focused assessment with sonography for HIV-associated TB (FASH) protocol.

CASE REPORT

Three HIV-infected patients without known history of EPTB presented to a Rwandan district hospital with fever and unclear infection. Initial testing did not reveal a source. Each patient was then evaluated with the FASH protocol by a Rwandan emergency physician with POCUS training. All patients had findings suggestive of EPTB by ultrasound. Anti-TB treatment was initiated, and all subsequently demonstrated symptom improvement.

DISCUSSION

This case series demonstrates the additional clinical information obtained. It describes how management was changed using POCUS and the FASH in a resource-limited setting in Rwanda and calls for further FASH protocol validation studies.

摘要

引言

据报告,全球大多数艾滋病毒与结核病合并感染病例发生在非洲。随着免疫缺陷的进展,发生肺外结核病(EPTB)的风险会增加,但这种疾病很难诊断。即时超声检查(POCUS)可以作为一种有效的辅助手段,使用针对艾滋病毒相关结核病的超声重点评估(FASH)方案来识别和治疗与EPTB相关的病症。

病例报告

三名无EPTB病史的艾滋病毒感染患者因发热和感染情况不明前往卢旺达一家地区医院就诊。初步检查未发现感染源。随后,一名接受过POCUS培训的卢旺达急诊医生采用FASH方案对每名患者进行了评估。所有患者的超声检查结果均提示患有EPTB。于是启动了抗结核治疗,所有患者随后症状均有所改善。

讨论

该病例系列展示了所获得的额外临床信息。它描述了在卢旺达资源有限的环境中如何使用POCUS和FASH改变治疗方式,并呼吁开展进一步的FASH方案验证研究。

https://cdn.ncbi.nlm.nih.gov/pmc/blobs/c8ac/6234193/175901d7dd63/gr1.jpg

文献检索

告别复杂PubMed语法,用中文像聊天一样搜索,搜遍4000万医学文献。AI智能推荐,让科研检索更轻松。

立即免费搜索

文件翻译

保留排版,准确专业,支持PDF/Word/PPT等文件格式,支持 12+语言互译。

免费翻译文档

深度研究

AI帮你快速写综述,25分钟生成高质量综述,智能提取关键信息,辅助科研写作。

立即免费体验