Heller Tom, Wallrauch Claudia, Goblirsch Sam, Brunetti Enrico
Department of Internal Medicine, Infectious Diseases, Klinikum Muenchen-Perlach, chmidbauerstr, 44, Munich, 81737, Germany.
Crit Ultrasound J. 2012 Nov 21;4(1):21. doi: 10.1186/2036-7902-4-21.
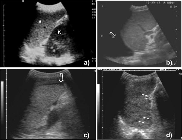
Ultrasound can rapidly identify abnormal signs, which in high prevalence settings, are highly suggestive of extra-pulmonary tuberculosis (EPTB). Unfortunately experienced sonographers are often scarce in these settings.
A protocol for focused assessment with sonography for HIV-associated tuberculosis (FASH) which can be used by physicians who are relatively inexperienced in ultrasound was developed.
The technique as well as normal and pathological findings are described and the diagnostic and possible therapeutic reasoning explained. The protocol is intended for settings where the prevalence of HIV/TB co-infected patients is high.
FASH is suitable for more rapid identification of EPTB even at the peripheral hospital level where other imaging modalities are scarce and most of the HIV and TB care will be delivered in the future.
超声能够快速识别异常体征,在高流行率环境中,这些体征高度提示肺外结核病(EPTB)。遗憾的是,在这些环境中经验丰富的超声检查医师往往稀缺。
制定了一种用于HIV相关结核病的超声重点评估方案(FASH),可供超声经验相对不足的医师使用。
描述了该技术以及正常和病理表现,并解释了诊断及可能的治疗思路。该方案适用于HIV/TB合并感染患者患病率高的环境。
即使在其他成像方式稀缺且未来大部分HIV和结核病护理将在基层医院进行的情况下,FASH也适用于更快速地识别EPTB。